Suppr超能文献

类鼻疽作为一种神秘感染:来自印度中部的一项研究。

Melioidosis as a Mystique Infection: A Study From Central India.

作者信息

Yadav Vaibhav, Pawar Akash, Meena Mahadev, Khadanga Sagar, Gupta Ayush, Dandasena Tarini Prasad, Singhai Abhishek, Joshi Rajnish, Saigal Saurabh, Atlani Mahendra

机构信息

General Internal Medicine, Mahatama Gandhi Memorial Medical College, Indore, Indore, IND.

General Medicine, All India Institute of Medical Sciences, Bhopal, Bhopal, IND.

出版信息

Cureus. 2023 Aug 13;15(8):e43439. doi: 10.7759/cureus.43439. eCollection 2023 Aug.

Abstract

INTRODUCTION

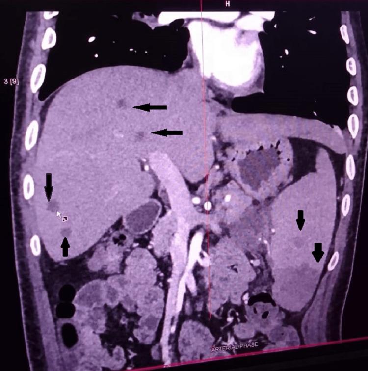
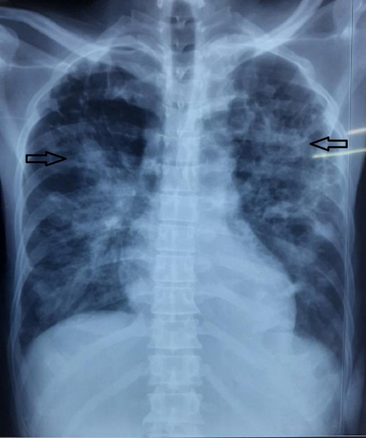
Melioidosis is caused by the Gram-negative bacilli Burkholderia pseudomallei, which is found in contaminated water and soil and spreads via inhalation, inoculation, and ingestion. Melioidosis manifests diversely in immunocompetent and immunocompromised patients, ranging from asymptomatic to life-threatening respiratory distress, septic shock, localized tissue infection, necrotizing pneumonia, and soft organ abscesses.  Methods: An 18-month observational study was conducted at a tertiary center in central India among various confirmed melioidosis cases, with data gathered and analyzed. Aerobic culture and sensitivity were performed in all studied cases, either in blood/body fluid/localized collection - using blood agar media for the culture and disc diffusion method on Mueller Hinton agar for sensitivity. Other tests, such as radiological imaging, were conducted according to symptoms and signs of localized infection.

RESULTS

The melioidosis cases under study were compared on various clinical/presenting parameters. Melioidosis has a variety of risk factors, but we found that, in India, diabetic patients are at a higher risk of this infection, particularly fatal forms, as all of the patients in our study were diabetic. Melioidosis is known to have joint involvement, either as a source of infection or later in the course of the disease. All cases were successfully treated with antibiotics and surgical procedures, demonstrating the significance of determining disease etiology, early diagnosis, and rapid early management.

CONCLUSION

Melioidosis is a potentially fatal disease, particularly in diabetics, with a wide range of symptoms and complications. Physicians face a variety of challenges, including clinical symptoms resembling other chronic illnesses, such as tuberculosis, delays in laboratory confirmation, underdiagnosis, reduced reporting, and a lack of suspicion. Because there are very little data and it is a seldom reported infection from central India, we are publishing a study on seven melioidosis patients.

摘要

引言

类鼻疽由革兰氏阴性杆菌伯克霍尔德菌属假鼻疽杆菌引起,该菌存在于受污染的水和土壤中,可通过吸入、接种和摄入传播。类鼻疽在免疫功能正常和免疫功能低下的患者中表现多样,从无症状到危及生命的呼吸窘迫、感染性休克、局部组织感染、坏死性肺炎和软组织脓肿。

方法

在印度中部的一家三级中心对各种确诊的类鼻疽病例进行了为期18个月的观察性研究,收集并分析了数据。对所有研究病例进行需氧培养和药敏试验,在血液/体液/局部采集样本中进行——使用血琼脂培养基进行培养,在穆勒-欣顿琼脂上采用纸片扩散法进行药敏试验。其他检查,如影像学检查,根据局部感染的症状和体征进行。

结果

对所研究的类鼻疽病例在各种临床/表现参数方面进行了比较。类鼻疽有多种危险因素,但我们发现,在印度,糖尿病患者感染这种疾病的风险更高,尤其是致命形式,因为我们研究中的所有患者都是糖尿病患者。已知类鼻疽会累及关节,要么作为感染源,要么在疾病过程后期出现。所有病例均通过抗生素和外科手术成功治疗,这表明确定疾病病因、早期诊断和快速早期治疗的重要性。

结论

类鼻疽是一种潜在的致命疾病,尤其是在糖尿病患者中,症状和并发症范围广泛。医生面临各种挑战,包括临床症状类似于其他慢性疾病,如结核病、实验室确诊延迟、诊断不足、报告减少以及缺乏怀疑。由于数据非常少,而且这是印度中部一种很少报告的感染,我们正在发表一项关于7例类鼻疽患者的研究。

https://cdn.ncbi.nlm.nih.gov/pmc/blobs/8df3/10499062/004964cf8731/cureus-0015-00000043439-i01.jpg

文献检索

告别复杂PubMed语法,用中文像聊天一样搜索,搜遍4000万医学文献。AI智能推荐,让科研检索更轻松。

立即免费搜索

文件翻译

保留排版,准确专业,支持PDF/Word/PPT等文件格式,支持 12+语言互译。

免费翻译文档

深度研究

AI帮你快速写综述,25分钟生成高质量综述,智能提取关键信息,辅助科研写作。

立即免费体验