Suppr超能文献

基于深度学习的颅内体积评估自动分割模型的开发与验证:与NeuroQuant、FreeSurfer和SynthSeg的比较

Development and validation of a deep learning-based automatic segmentation model for assessing intracranial volume: comparison with NeuroQuant, FreeSurfer, and SynthSeg.

作者信息

Suh Pae Sun, Jung Wooseok, Suh Chong Hyun, Kim Jinyoung, Oh Jio, Heo Hwon, Shim Woo Hyun, Lim Jae-Sung, Lee Jae-Hong, Kim Ho Sung, Kim Sang Joon

机构信息

Department of Radiology and Research Institute of Radiology, Asan Medical Center, University of Ulsan College of Medicine, Seoul, Republic of Korea.

R&D Center, VUNO, Seoul, Republic of Korea.

出版信息

Front Neurol. 2023 Sep 1;14:1221892. doi: 10.3389/fneur.2023.1221892. eCollection 2023.

Abstract

BACKGROUND AND PURPOSE

To develop and validate a deep learning-based automatic segmentation model for assessing intracranial volume (ICV) and to compare the accuracy determined by NeuroQuant (NQ), FreeSurfer (FS), and SynthSeg.

MATERIALS AND METHODS

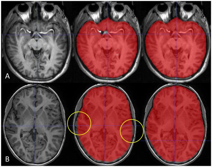
This retrospective study included 60 subjects [30 Alzheimer's disease (AD), 21 mild cognitive impairment (MCI), 9 cognitively normal (CN)] from a single tertiary hospital for the training and validation group (50:10). The test group included 40 subjects (20 AD, 10 MCI, 10 CN) from the ADNI dataset. We propose a robust ICV segmentation model based on the foundational 2D UNet architecture trained with four types of input images (both single and multimodality using scaled or unscaled T1-weighted and T2-FLAIR MR images). To compare with our model, NQ, FS, and SynthSeg were also utilized in the test group. We evaluated the model performance by measuring the Dice similarity coefficient (DSC) and average volume difference.

RESULTS

The single-modality model trained with scaled T1-weighted images showed excellent performance with a DSC of 0.989 ± 0.002 and an average volume difference of 0.46% ± 0.38%. Our multimodality model trained with both unscaled T1-weighted and T2-FLAIR images showed similar performance with a DSC of 0.988 ± 0.002 and an average volume difference of 0.47% ± 0.35%. The overall average volume difference with our model showed relatively higher accuracy than NQ (2.15% ± 1.72%), FS (3.69% ± 2.93%), and SynthSeg (1.88% ± 1.18%). Furthermore, our model outperformed the three others in each subgroup of patients with AD, MCI, and CN subjects.

CONCLUSION

Our deep learning-based automatic ICV segmentation model showed excellent performance for the automatic evaluation of ICV.

摘要

背景与目的

开发并验证一种基于深度学习的自动分割模型,用于评估颅内体积(ICV),并比较由NeuroQuant(NQ)、FreeSurfer(FS)和SynthSeg确定的准确性。

材料与方法

这项回顾性研究纳入了来自一家三级医院的60名受试者[30例阿尔茨海默病(AD)、21例轻度认知障碍(MCI)、9例认知正常(CN)],分为训练组和验证组(50:10)。测试组包括来自阿尔茨海默病神经影像学计划(ADNI)数据集的40名受试者(20例AD、10例MCI、10例CN)。我们提出了一种基于基础二维U-Net架构的强大ICV分割模型,该模型使用四种类型的输入图像(使用缩放或未缩放的T1加权和T2液体衰减反转恢复序列(T2-FLAIR)磁共振成像(MR)图像的单模态和多模态图像)进行训练。为了与我们的模型进行比较,测试组中也使用了NQ、FS和SynthSeg。我们通过测量骰子相似系数(DSC)和平均体积差异来评估模型性能。

结果

使用缩放后的T1加权图像训练的单模态模型表现出色,DSC为0.989±0.002,平均体积差异为0.46%±0.38%。使用未缩放的T1加权和T2-FLAIR图像训练的多模态模型表现相似,DSC为0.988±0.002,平均体积差异为0.47%±0.35%。与我们的模型相比,总体平均体积差异显示出比NQ(2.15%±1.72%)、FS(3.69%±2.93%)和SynthSeg(1.88%±1.18%)更高的准确性。此外,在AD、MCI和CN患者的每个亚组中,我们的模型均优于其他三者。

结论

我们基于深度学习的自动ICV分割模型在ICV的自动评估中表现出色。

https://cdn.ncbi.nlm.nih.gov/pmc/blobs/9bd8/10503131/aa137e408297/fneur-14-1221892-g001.jpg

文献AI研究员

20分钟写一篇综述,助力文献阅读效率提升50倍。

立即体验

用中文搜PubMed

大模型驱动的PubMed中文搜索引擎

马上搜索

文档翻译

学术文献翻译模型,支持多种主流文档格式。

立即体验