Suppr超能文献

病因不明的非创伤性自发性脾破裂

Atraumatic Spontaneous Splenic Rupture With Unknown Etiology.

作者信息

Perez Humberto, Jeong Han Sol, Smith DO Jason

机构信息

General Surgery, Lincoln Memorial University DeBusk College of Osteopathic Medicine, Miami, USA.

General Surgery, Lincoln Memorial University DeBusk College of Osteopathic Medicine, Centreville, USA.

出版信息

Cureus. 2023 Sep 16;15(9):e45364. doi: 10.7759/cureus.45364. eCollection 2023 Sep.

Abstract

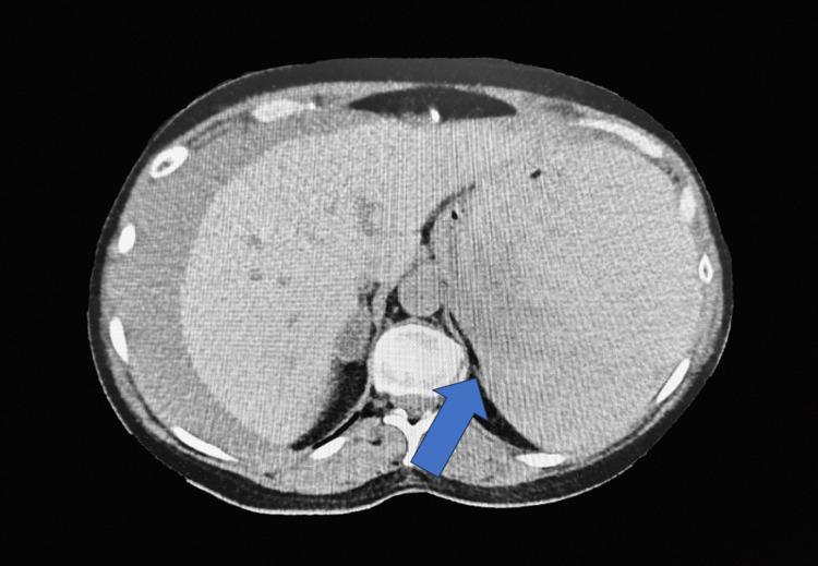
Splenic rupture of all causes is a potentially life-threatening event for patients. The infrequency of atraumatic splenic rupture (ASR) poses a significant diagnostic challenge due to atypical findings. ASR is commonly due to a spleen with an underlying disease process such as malignancy, infection, coagulopathies, or neoplasms. However, ASR without an identifiable cause is rare and poses further complexity. In this case, a 57-year-old woman with a history of hypertension presented to the emergency department complaining of chest pain and was found to have a splenic hematoma. She underwent splenic artery embolization due to her continued hemodynamic instability. The patient was ultimately treated with a splenectomy, as embolization was unsuccessful. Gross pathology revealed no underlying disease processes, nodules, or masses. Splenic hemorrhage due to atraumatic rupture of the spleen is rare and without known pathology. The case illustrates the need for providers to have high clinical suspicion of such a diagnosis to stabilize and surgically manage these patients. Few instances of ASR without an identifiable cause are found in medical literature, and further knowledge of the subject is needed.

摘要

各种原因导致的脾破裂对患者来说都是潜在的危及生命的事件。非创伤性脾破裂(ASR)发生率低,因其表现不典型,给诊断带来了重大挑战。ASR通常是由于脾脏存在潜在疾病过程,如恶性肿瘤、感染、凝血功能障碍或肿瘤。然而,无明确病因的ASR很少见,且会带来更多复杂性。在本病例中,一名有高血压病史的57岁女性因胸痛就诊于急诊科,被发现有脾血肿。由于她持续存在血流动力学不稳定,接受了脾动脉栓塞术。最终患者接受了脾切除术,因为栓塞术未成功。大体病理检查未发现潜在疾病过程、结节或肿块。无创伤性脾破裂导致的脾出血很少见,且无已知病理情况。该病例表明,医疗人员需要对此类诊断保持高度临床怀疑,以便稳定病情并对这些患者进行手术治疗。医学文献中很少有无明确病因的ASR病例,对此主题还需要进一步了解。

https://cdn.ncbi.nlm.nih.gov/pmc/blobs/f126/10505043/69bda1e353fd/cureus-0015-00000045364-i01.jpg

文献AI研究员

20分钟写一篇综述,助力文献阅读效率提升50倍。

立即体验

用中文搜PubMed

大模型驱动的PubMed中文搜索引擎

马上搜索

文档翻译

学术文献翻译模型,支持多种主流文档格式。

立即体验