Suppr超能文献

使用SJP1602靶向粘着斑激酶/脯氨酸富酪氨酸激酶2在三阴性乳腺癌中的抗肿瘤活性

Targeting FAK/PYK2 with SJP1602 for Anti-Tumor Activity in Triple-Negative Breast Cancer.

作者信息

Jeon Myeongjin, Hong Sungpyo, Cho Hyoungmin, Park Hanbyeol, Lee Soo-Min, Ahn Soonkil

机构信息

Research Center, Samjin Pharm. Co., Ltd., Seoul 07794, Republic of Korea.

Institute for New Drug Development, Division of Life Sciences, Incheon National University, Incheon 22012, Republic of Korea.

出版信息

Curr Issues Mol Biol. 2023 Aug 24;45(9):7058-7074. doi: 10.3390/cimb45090446.

Abstract

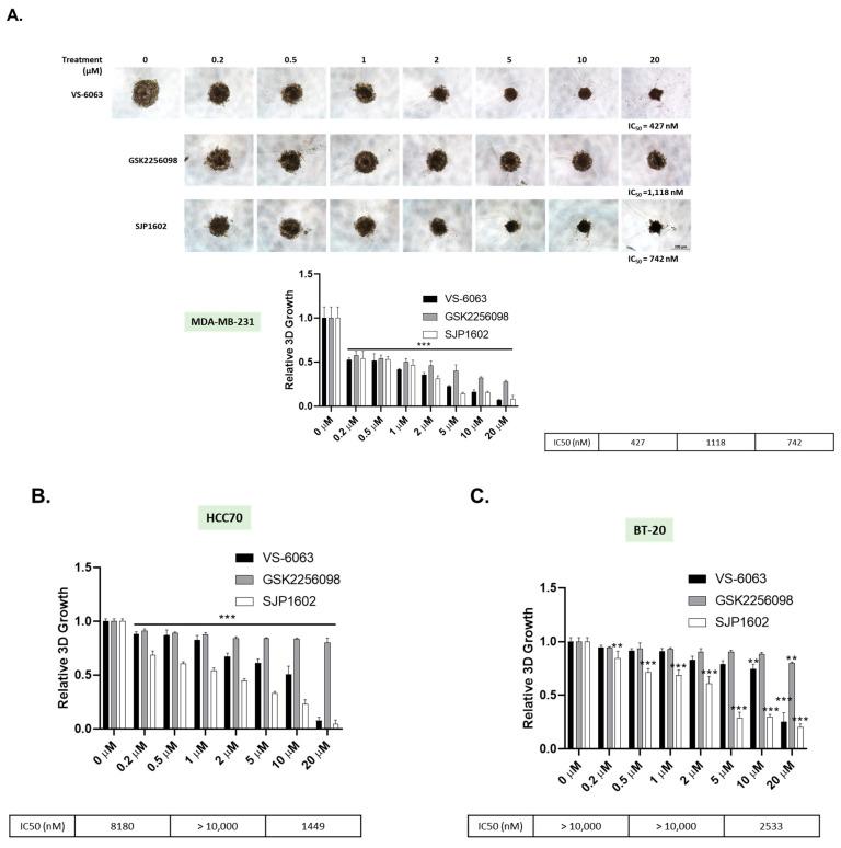
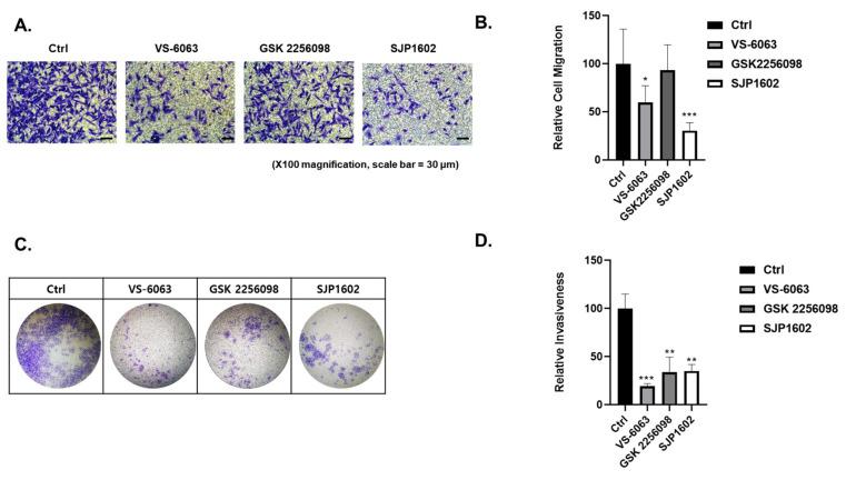
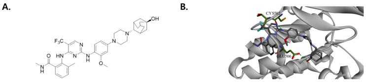
Triple-negative breast cancer (TNBC) presents significant challenges due to its aggressive nature and limited treatment options. Focal adhesion kinase (FAK) has emerged as a critical factor promoting tumor growth and metastasis in TNBC. Despite encouraging results from preclinical and early clinical trials with various FAK inhibitors, none have yet achieved clinical success in TNBC treatment. This study investigates the therapeutic potential of a novel dual inhibitor of FAK and PYK2, named SJP1602, for TNBC. In vitro experiments demonstrate that SJP1602 effectively inhibits FAK and PYK2 activities, showing potent effects on both kinases. SJP1602 shows concentration-dependent inhibition of cell growth, migration, invasion, and 3D spheroid formation in TNBC cell lines, surpassing the efficacy of other FAK inhibitors. Pharmacokinetic studies in rats indicate favorable bioavailability and sustained plasma concentrations of SJP1602, supporting its potential as a therapeutic agent. Furthermore, in TNBC xenograft models, SJP1602 exhibits significant dose-dependent inhibition of tumor growth. These promising results emphasize the potential of SJP1602 as a potent dual inhibitor of FAK and PYK2, deserving further investigation in clinical trials for TNBC treatment.

摘要

三阴性乳腺癌(TNBC)因其侵袭性和有限的治疗选择而带来重大挑战。粘着斑激酶(FAK)已成为促进TNBC肿瘤生长和转移的关键因素。尽管各种FAK抑制剂在临床前和早期临床试验中取得了令人鼓舞的结果,但尚无一种在TNBC治疗中取得临床成功。本研究调查了一种名为SJP1602的新型FAK和PYK2双重抑制剂对TNBC的治疗潜力。体外实验表明,SJP1602有效抑制FAK和PYK2活性,对这两种激酶均显示出强效作用。SJP1602在TNBC细胞系中显示出浓度依赖性的细胞生长、迁移、侵袭和三维球体形成抑制作用,超过了其他FAK抑制剂的疗效。大鼠体内药代动力学研究表明SJP1602具有良好的生物利用度和持续的血浆浓度,支持其作为治疗药物的潜力。此外,在TNBC异种移植模型中,SJP1602表现出显著的剂量依赖性肿瘤生长抑制作用。这些有前景的结果强调了SJP1602作为FAK和PYK2强效双重抑制剂的潜力,值得在TNBC治疗的临床试验中进一步研究。

https://cdn.ncbi.nlm.nih.gov/pmc/blobs/37ce/10528299/3c40b5573ad5/cimb-45-00446-g001.jpg

文献AI研究员

20分钟写一篇综述,助力文献阅读效率提升50倍。

立即体验

用中文搜PubMed

大模型驱动的PubMed中文搜索引擎

马上搜索

文档翻译

学术文献翻译模型,支持多种主流文档格式。

立即体验