Suppr超能文献

定制透明矫治器关闭磨牙无牙间隙的作用:一项范围综述和病例报告中的临床及法医学考量

The Power of Customized Clear Aligners in Closing Molar Edentulous Spaces: Clinical and Medico-Legal Considerations in a Scoping Review and Case Report.

作者信息

Putrino Alessandra, Marinelli Enrico, Zaami Simona

机构信息

Department of Anatomical, Histological, Forensic and Orthopedic Sciences, Sapienza University of Rome, 00161 Rome, Italy.

Department of Medico-Surgical Sciences and Biotechnologies, Sapienza University of Rome, 04100 Latina, Italy.

出版信息

J Pers Med. 2023 Sep 16;13(9):1389. doi: 10.3390/jpm13091389.

Abstract

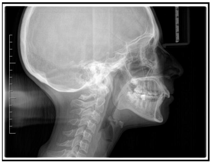
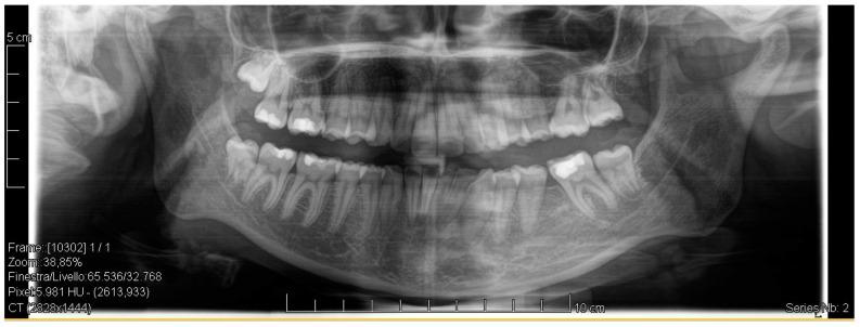
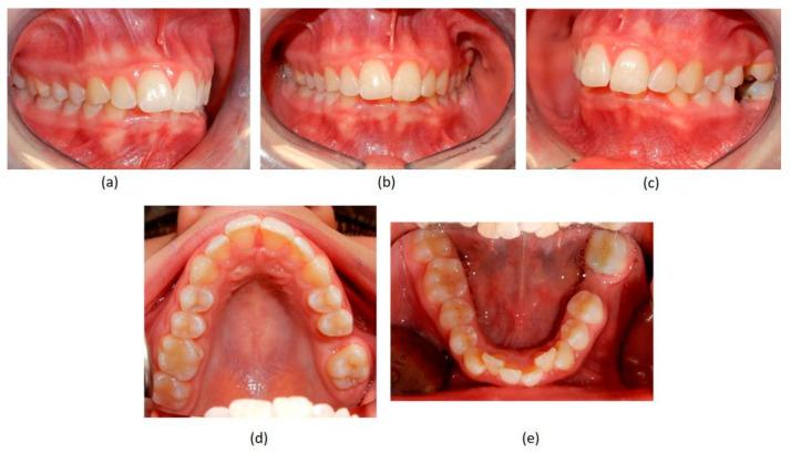
Successful closure of edentulous spaces with clear aligners (CAs) is influenced by many factors. CAs are tailored orthodontic devices whose predictability may have relevant medico-legal implications. This study presents a scoping review about missing molar space closure (MMSC) with CAs and a clinical case. This study aims to highlight the feasibility of molar space closure by mesialization with CAs without hybrid supports. Following PRISMA Sc-review guidelines, English-written randomized/non-randomized/observational clinical studies on PubMed, Scopus, Cochrane and Lilacs were searched. An 18-year-old patient, with upper and lower edentulous spaces due to the loss of two first molars, was rehabilitated with CAs (Sorridi, Sorridi srl, Latina, Italy) without hybrid supports and attachments. The therapy was carried out over 10 months. Currently, there are no studies documenting MMSC by mesialization with only CAs. Existing articles document the closure of premolar or incisor spaces. The upper and lower left second molars replaced the missing first molars, and erupting third molars replaced adjacent teeth. The biomechanical effects in space closure with CAs related to extraction cases appear as priorities of clinical/medico-legal interest. Our case turns attention to this movement of CAs without attachments/hybrid supports, indicating that even such a complex treatment can be comfortable for patients and safely predictable for specialists.

摘要

使用透明矫治器(CA)成功关闭无牙间隙受多种因素影响。CA是定制的正畸装置,其可预测性可能具有相关的医疗法律意义。本研究呈现了一项关于使用CA关闭缺失磨牙间隙(MMSC)的范围综述及一个临床病例。本研究旨在强调在无混合支持的情况下通过CA近中移动关闭磨牙间隙的可行性。遵循PRISMA范围综述指南,检索了PubMed、Scopus、Cochrane和Lilacs上英文撰写的随机/非随机/观察性临床研究。一名18岁患者因两颗第一磨牙缺失导致上下无牙间隙,使用CA(Sorridi,Sorridi srl,拉蒂纳,意大利)进行修复,无混合支持和附件。治疗持续了10个月。目前,尚无研究记录仅通过CA近中移动关闭MMSC的情况。现有文章记录了前磨牙或切牙间隙的关闭。上下颌左侧第二磨牙替代了缺失的第一磨牙,萌出的第三磨牙替代了相邻牙齿。与拔牙病例相关的CA关闭间隙的生物力学效应似乎是临床/医疗法律关注的重点。我们的病例将注意力转向了无附件/混合支持的CA这种移动方式,表明即使是如此复杂的治疗对患者来说也可以是舒适的,对专家来说也可以是安全可预测的。

https://cdn.ncbi.nlm.nih.gov/pmc/blobs/e410/10532605/6416240e4390/jpm-13-01389-g001.jpg

文献AI研究员

20分钟写一篇综述,助力文献阅读效率提升50倍。

立即体验

用中文搜PubMed

大模型驱动的PubMed中文搜索引擎

马上搜索

文档翻译

学术文献翻译模型,支持多种主流文档格式。

立即体验