• 文献检索
  • 文档翻译
  • 深度研究
  • 学术资讯
  • Suppr Zotero 插件Zotero 插件
  • 邀请有礼
  • 套餐&价格
  • 历史记录
应用&插件
Suppr Zotero 插件Zotero 插件浏览器插件Mac 客户端Windows 客户端微信小程序
定价
高级版会员购买积分包购买API积分包
服务
文献检索文档翻译深度研究API 文档MCP 服务
关于我们
关于 Suppr公司介绍联系我们用户协议隐私条款
关注我们

Suppr 超能文献

核心技术专利:CN118964589B侵权必究
粤ICP备2023148730 号-1Suppr @ 2026

文献检索

告别复杂PubMed语法,用中文像聊天一样搜索,搜遍4000万医学文献。AI智能推荐,让科研检索更轻松。

立即免费搜索

文件翻译

保留排版,准确专业,支持PDF/Word/PPT等文件格式,支持 12+语言互译。

免费翻译文档

深度研究

AI帮你快速写综述,25分钟生成高质量综述,智能提取关键信息,辅助科研写作。

立即免费体验

术中光学相干断层扫描在实际玻璃体视网膜手术中的作用

The Role of the Intraoperative Optical Coherence Tomography for Vitreoretinal Surgery in a Real-Life Setting.

作者信息

Parolini Barbara, Ripa Matteo, Frisina Rino, Matello Veronika, Motta Lorenzo

机构信息

Department of Ophthalmology, Eyecare Clinic, 25124 Brescia, Italy.

Department of Ophthalmology, William Harvey Hospital, East Kent Hospitals University NHS Foundation Trust, Ashford TN24 0LZ, UK.

出版信息

Life (Basel). 2023 Aug 27;13(9):1813. doi: 10.3390/life13091813.

DOI:10.3390/life13091813
PMID:37763217
原文链接:https://pmc.ncbi.nlm.nih.gov/articles/PMC10533019/
Abstract

BACKGROUND

To descriptively report the advantages and the feasibility of microscope-integrated intraoperative optical coherence tomography (i-OCT) in managing different vitreoretinal diseases in a real-life setting.

METHODS

We conducted an observational retrospective study involving 265 eyes that underwent elective retinal surgery and intraoperative OCT between 1 September 2018 and 1 October 2022 at Eyecare Clinic (Brescia, Italy).

RESULTS

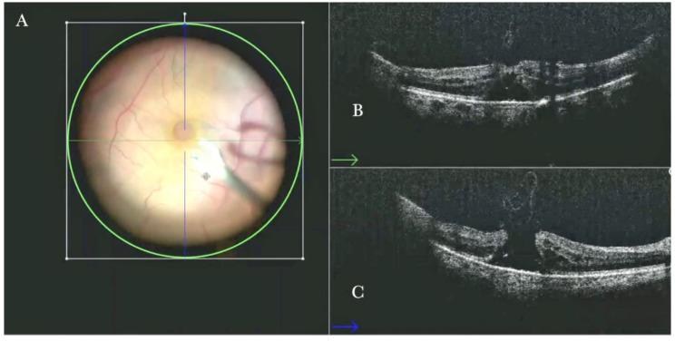
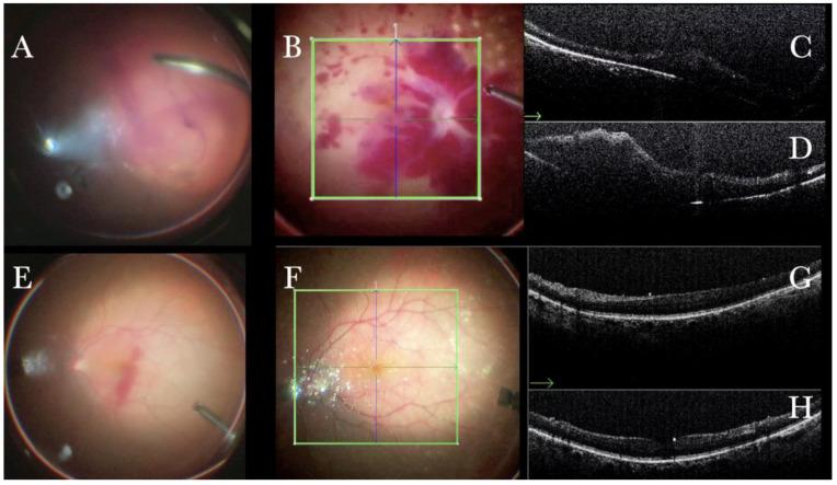
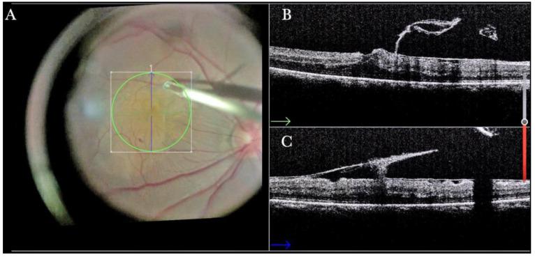
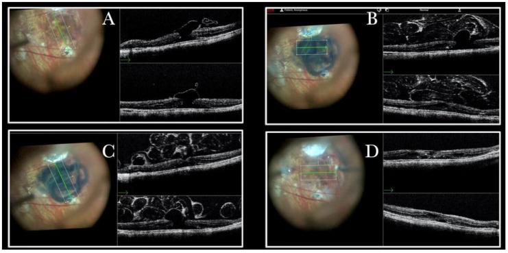
52 epiretinal membranes, 30 retinal detachments, 60 high myopic eyes, 30 choroidal transplants, 40 macular holes, and 32 vitreo-proliferative retinopathies underwent vitreoretinal surgery and intraoperative OCT scans. The i-OCT was a useful diagnostic exam for all cases and significantly influenced our surgical management.

CONCLUSIONS

i-OCT is a helpful surgical tool in ophthalmic surgery as it provides real-time feedback of tissue anatomy to surgeons, thereby guiding decision-making. Moreover, it provides additional information on the microarchitectural changes after instrument-tissue interactions, further guiding procedures when necessary and possibly reducing unessential surgical maneuvers.

摘要

背景

描述性报告显微镜集成术中光学相干断层扫描(i-OCT)在实际临床环境中处理不同玻璃体视网膜疾病的优势和可行性。

方法

我们进行了一项观察性回顾性研究,纳入了2018年9月1日至2022年10月1日期间在意大利布雷西亚眼科诊所接受选择性视网膜手术和术中OCT检查的265只眼。

结果

52例视网膜前膜、30例视网膜脱离、60例高度近视眼、30例脉络膜移植、40例黄斑裂孔和32例玻璃体增殖性视网膜病变接受了玻璃体视网膜手术和术中OCT扫描。i-OCT对所有病例都是一种有用的诊断检查,并显著影响了我们的手术管理。

结论

i-OCT是眼科手术中一种有用的手术工具,因为它能为外科医生提供组织解剖结构的实时反馈,从而指导决策。此外,它还能提供器械与组织相互作用后微观结构变化的额外信息,在必要时进一步指导手术操作,并可能减少不必要的手术操作。

https://cdn.ncbi.nlm.nih.gov/pmc/blobs/c36e/10533019/8b8d1536148e/life-13-01813-g027.jpg
https://cdn.ncbi.nlm.nih.gov/pmc/blobs/c36e/10533019/3497899a8c52/life-13-01813-g001.jpg
https://cdn.ncbi.nlm.nih.gov/pmc/blobs/c36e/10533019/79248e68efcf/life-13-01813-g002.jpg
https://cdn.ncbi.nlm.nih.gov/pmc/blobs/c36e/10533019/066e16deb770/life-13-01813-g003.jpg
https://cdn.ncbi.nlm.nih.gov/pmc/blobs/c36e/10533019/3097924bed0a/life-13-01813-g004.jpg
https://cdn.ncbi.nlm.nih.gov/pmc/blobs/c36e/10533019/f5e98298a507/life-13-01813-g005.jpg
https://cdn.ncbi.nlm.nih.gov/pmc/blobs/c36e/10533019/9cf54bd7c34f/life-13-01813-g006.jpg
https://cdn.ncbi.nlm.nih.gov/pmc/blobs/c36e/10533019/3bb310b6f584/life-13-01813-g007.jpg
https://cdn.ncbi.nlm.nih.gov/pmc/blobs/c36e/10533019/4f9927bd6005/life-13-01813-g008.jpg
https://cdn.ncbi.nlm.nih.gov/pmc/blobs/c36e/10533019/2735105ac4cb/life-13-01813-g009.jpg
https://cdn.ncbi.nlm.nih.gov/pmc/blobs/c36e/10533019/90988ee31172/life-13-01813-g010.jpg
https://cdn.ncbi.nlm.nih.gov/pmc/blobs/c36e/10533019/cfde09809f52/life-13-01813-g011.jpg
https://cdn.ncbi.nlm.nih.gov/pmc/blobs/c36e/10533019/c4ea7595371c/life-13-01813-g012.jpg
https://cdn.ncbi.nlm.nih.gov/pmc/blobs/c36e/10533019/8e65d63309fe/life-13-01813-g013.jpg
https://cdn.ncbi.nlm.nih.gov/pmc/blobs/c36e/10533019/ccab821c1362/life-13-01813-g014.jpg
https://cdn.ncbi.nlm.nih.gov/pmc/blobs/c36e/10533019/b5e90c50fada/life-13-01813-g015.jpg
https://cdn.ncbi.nlm.nih.gov/pmc/blobs/c36e/10533019/9f00b289347a/life-13-01813-g016.jpg
https://cdn.ncbi.nlm.nih.gov/pmc/blobs/c36e/10533019/5dd1c689b564/life-13-01813-g017.jpg
https://cdn.ncbi.nlm.nih.gov/pmc/blobs/c36e/10533019/0a5b119b3c62/life-13-01813-g018.jpg
https://cdn.ncbi.nlm.nih.gov/pmc/blobs/c36e/10533019/0311cde1a2b4/life-13-01813-g019.jpg
https://cdn.ncbi.nlm.nih.gov/pmc/blobs/c36e/10533019/15982769296a/life-13-01813-g020.jpg
https://cdn.ncbi.nlm.nih.gov/pmc/blobs/c36e/10533019/6d16e39d77ad/life-13-01813-g021.jpg
https://cdn.ncbi.nlm.nih.gov/pmc/blobs/c36e/10533019/9f479f760ccf/life-13-01813-g022.jpg
https://cdn.ncbi.nlm.nih.gov/pmc/blobs/c36e/10533019/0787d1472c9b/life-13-01813-g023.jpg
https://cdn.ncbi.nlm.nih.gov/pmc/blobs/c36e/10533019/16a20d030cff/life-13-01813-g024.jpg
https://cdn.ncbi.nlm.nih.gov/pmc/blobs/c36e/10533019/73eb45dc12c3/life-13-01813-g025.jpg
https://cdn.ncbi.nlm.nih.gov/pmc/blobs/c36e/10533019/6709c2cca595/life-13-01813-g026.jpg
https://cdn.ncbi.nlm.nih.gov/pmc/blobs/c36e/10533019/8b8d1536148e/life-13-01813-g027.jpg
https://cdn.ncbi.nlm.nih.gov/pmc/blobs/c36e/10533019/3497899a8c52/life-13-01813-g001.jpg
https://cdn.ncbi.nlm.nih.gov/pmc/blobs/c36e/10533019/79248e68efcf/life-13-01813-g002.jpg
https://cdn.ncbi.nlm.nih.gov/pmc/blobs/c36e/10533019/066e16deb770/life-13-01813-g003.jpg
https://cdn.ncbi.nlm.nih.gov/pmc/blobs/c36e/10533019/3097924bed0a/life-13-01813-g004.jpg
https://cdn.ncbi.nlm.nih.gov/pmc/blobs/c36e/10533019/f5e98298a507/life-13-01813-g005.jpg
https://cdn.ncbi.nlm.nih.gov/pmc/blobs/c36e/10533019/9cf54bd7c34f/life-13-01813-g006.jpg
https://cdn.ncbi.nlm.nih.gov/pmc/blobs/c36e/10533019/3bb310b6f584/life-13-01813-g007.jpg
https://cdn.ncbi.nlm.nih.gov/pmc/blobs/c36e/10533019/4f9927bd6005/life-13-01813-g008.jpg
https://cdn.ncbi.nlm.nih.gov/pmc/blobs/c36e/10533019/2735105ac4cb/life-13-01813-g009.jpg
https://cdn.ncbi.nlm.nih.gov/pmc/blobs/c36e/10533019/90988ee31172/life-13-01813-g010.jpg
https://cdn.ncbi.nlm.nih.gov/pmc/blobs/c36e/10533019/cfde09809f52/life-13-01813-g011.jpg
https://cdn.ncbi.nlm.nih.gov/pmc/blobs/c36e/10533019/c4ea7595371c/life-13-01813-g012.jpg
https://cdn.ncbi.nlm.nih.gov/pmc/blobs/c36e/10533019/8e65d63309fe/life-13-01813-g013.jpg
https://cdn.ncbi.nlm.nih.gov/pmc/blobs/c36e/10533019/ccab821c1362/life-13-01813-g014.jpg
https://cdn.ncbi.nlm.nih.gov/pmc/blobs/c36e/10533019/b5e90c50fada/life-13-01813-g015.jpg
https://cdn.ncbi.nlm.nih.gov/pmc/blobs/c36e/10533019/9f00b289347a/life-13-01813-g016.jpg
https://cdn.ncbi.nlm.nih.gov/pmc/blobs/c36e/10533019/5dd1c689b564/life-13-01813-g017.jpg
https://cdn.ncbi.nlm.nih.gov/pmc/blobs/c36e/10533019/0a5b119b3c62/life-13-01813-g018.jpg
https://cdn.ncbi.nlm.nih.gov/pmc/blobs/c36e/10533019/0311cde1a2b4/life-13-01813-g019.jpg
https://cdn.ncbi.nlm.nih.gov/pmc/blobs/c36e/10533019/15982769296a/life-13-01813-g020.jpg
https://cdn.ncbi.nlm.nih.gov/pmc/blobs/c36e/10533019/6d16e39d77ad/life-13-01813-g021.jpg
https://cdn.ncbi.nlm.nih.gov/pmc/blobs/c36e/10533019/9f479f760ccf/life-13-01813-g022.jpg
https://cdn.ncbi.nlm.nih.gov/pmc/blobs/c36e/10533019/0787d1472c9b/life-13-01813-g023.jpg
https://cdn.ncbi.nlm.nih.gov/pmc/blobs/c36e/10533019/16a20d030cff/life-13-01813-g024.jpg
https://cdn.ncbi.nlm.nih.gov/pmc/blobs/c36e/10533019/73eb45dc12c3/life-13-01813-g025.jpg
https://cdn.ncbi.nlm.nih.gov/pmc/blobs/c36e/10533019/6709c2cca595/life-13-01813-g026.jpg
https://cdn.ncbi.nlm.nih.gov/pmc/blobs/c36e/10533019/8b8d1536148e/life-13-01813-g027.jpg

相似文献

1
The Role of the Intraoperative Optical Coherence Tomography for Vitreoretinal Surgery in a Real-Life Setting.术中光学相干断层扫描在实际玻璃体视网膜手术中的作用
Life (Basel). 2023 Aug 27;13(9):1813. doi: 10.3390/life13091813.
2
The Role of Widefield and Ultra Widefield Optical Coherence Tomography in the Diagnosis and Management of Vitreoretinal Diseases.广角和超广角光学相干断层扫描在玻璃体视网膜疾病诊断与治疗中的作用
Diagnostics (Basel). 2022 Sep 17;12(9):2247. doi: 10.3390/diagnostics12092247.
3
Intraoperative microscope-mounted spectral domain optical coherence tomography for evaluation of retinal anatomy during macular surgery.术中显微镜-mounted 谱域光相干断层扫描评估黄斑手术期间视网膜解剖。
Ophthalmology. 2011 Nov;118(11):2212-7. doi: 10.1016/j.ophtha.2011.04.012. Epub 2011 Sep 9.
4
THE INTEGRATIVE SURGICAL THEATER: Combining Intraoperative Optical Coherence Tomography and 3D Digital Visualization for Vitreoretinal Surgery in the DISCOVER Study.一体化手术间:在 DISCOVER 研究中结合术中光学相干断层扫描和 3D 数字可视化用于玻璃体视网膜手术
Retina. 2018 Sep;38 Suppl 1(Suppl 1):S88-S96. doi: 10.1097/IAE.0000000000001999.
5
[Intraoperative real-time OCT in macular surgery].[黄斑手术中的术中实时光学相干断层扫描]
Ophthalmologe. 2016 Aug;113(8):656-62. doi: 10.1007/s00347-016-0297-6.
6
Pediatric Vitreoretinal Surgery and Integrated Intraoperative Optical Coherence Tomography.小儿玻璃体视网膜手术与术中集成光学相干断层扫描
Dev Ophthalmol. 2021;61:15-25. doi: 10.1159/000511818. Epub 2021 Mar 1.
7
INTRAOPERATIVE OPTICAL COHERENCE TOMOGRAPHY DURING VITREORETINAL SURGERY FOR DENSE VITREOUS HEMORRHAGE IN THE PIONEER STUDY.先锋研究中玻璃体视网膜手术治疗致密玻璃体出血时的术中光学相干断层扫描
Retina. 2015 Dec;35(12):2537-42. doi: 10.1097/IAE.0000000000000660.
8
Determination of feasibility and utility of microscope-integrated optical coherence tomography during ophthalmic surgery: the DISCOVER Study RESCAN Results.眼科手术中显微镜集成光学相干断层扫描的可行性和实用性评估:DISCOVER研究RESCAN结果
JAMA Ophthalmol. 2015 Oct;133(10):1124-32. doi: 10.1001/jamaophthalmol.2015.2376.
9
The value of intraoperative optical coherence tomography imaging in vitreoretinal surgery.术中光学相干断层扫描成像在玻璃体视网膜手术中的价值。
Curr Opin Ophthalmol. 2014 May;25(3):221-7. doi: 10.1097/ICU.0000000000000044.
10
[Real-time optical coherence tomography-assisted high-precision vitreoretinal surgery in the clinical routine].[临床常规中实时光学相干断层扫描辅助的高精度玻璃体视网膜手术]
Ophthalmologe. 2020 Feb;117(2):158-165. doi: 10.1007/s00347-019-01007-2.

引用本文的文献

1
The Perspective of Using Optical Coherence Tomography in Ophthalmology: Present and Future Applications.光学相干断层扫描技术在眼科的应用前景:现状与未来应用
Diagnostics (Basel). 2025 Feb 7;15(4):402. doi: 10.3390/diagnostics15040402.
2
Advances in intraoperative imaging in retinal diseases: A narrative review.视网膜疾病术中成像的进展:一篇综述
Taiwan J Ophthalmol. 2024 Dec 20;14(4):497-501. doi: 10.4103/tjo.TJO-D-24-00078. eCollection 2024 Oct-Dec.
3
Fluorescein angiography patterns and subretinal hyperreflective material predict subthreshold micropulse laser response in chronic central serous chorioretinopathy.

本文引用的文献

1
Postoperative complications after successful primary rhegmatogenous retinal detachment repair.原发性孔源性视网膜脱离修复成功后的术后并发症。
BMC Ophthalmol. 2023 Feb 24;23(1):77. doi: 10.1186/s12886-023-02824-5.
2
The Role of Widefield and Ultra Widefield Optical Coherence Tomography in the Diagnosis and Management of Vitreoretinal Diseases.广角和超广角光学相干断层扫描在玻璃体视网膜疾病诊断与治疗中的作用
Diagnostics (Basel). 2022 Sep 17;12(9):2247. doi: 10.3390/diagnostics12092247.
3
COMPARISON OF PAIN EXPERIENCE IN PATIENTS UNDERGOING SUB-TENON'S ANESTHESIA VERSUS PERIBULBAR ANESTHESIA DURING ELECTIVE VITREORETINAL SURGERY.
荧光素血管造影模式和视网膜下高反射物质预测慢性中心性浆液性脉络膜视网膜病变中阈下微脉冲激光的反应。
BMC Ophthalmol. 2024 Nov 4;24(1):478. doi: 10.1186/s12886-024-03711-3.
比较在接受择期玻璃体手术时行眼周麻醉与行球后麻醉的患者的疼痛体验。
Retina. 2022 Oct 1;42(10):1852-1858. doi: 10.1097/IAE.0000000000003566.
4
Optical Coherence Tomography Angiography to Estimate Early Retinal Blood Flow Changes after Uncomplicated Cataract Surgery.光学相干断层扫描血管造影术评估单纯性白内障手术后早期视网膜血流变化
Vision (Basel). 2022 Jun 24;6(3):38. doi: 10.3390/vision6030038.
5
Retromode Imaging Modality of Epiretinal Membranes.视网膜前膜的后向模式成像方式
J Clin Med. 2022 Jul 6;11(14):3936. doi: 10.3390/jcm11143936.
6
Inverted multi-layer internal limiting membrane flap for macular hole retinal detachment in high myopia.高度近视黄斑裂孔视网膜脱离的多层内界膜瓣翻转术。
Sci Rep. 2022 Jun 22;12(1):10593. doi: 10.1038/s41598-022-14716-7.
7
Optical coherence tomography's current clinical medical and dental applications: a review.光学相干断层扫描的当前临床医疗和牙科应用:综述。
F1000Res. 2021 Apr 22;10:310. doi: 10.12688/f1000research.52031.1. eCollection 2021.
8
Hints for Gentle Submacular Injection in Non-Human Primates Based on Intraoperative OCT Guidance.基于术中 OCT 引导的非人类灵长类动物眼后极部轻柔注射提示。
Transl Vis Sci Technol. 2021 Jan 7;10(1):10. doi: 10.1167/tvst.10.1.10. eCollection 2021 Jan.
9
Autologous Retinal Transplantation for Primary and Refractory Macular Holes and Macular Hole Retinal Detachments: The Global Consortium.自体视网膜移植治疗原发性和难治性黄斑裂孔及黄斑裂孔性视网膜脱离:全球联盟。
Ophthalmology. 2021 May;128(5):672-685. doi: 10.1016/j.ophtha.2020.10.007. Epub 2020 Oct 10.
10
The new Myopic Traction Maculopathy Staging System.新的近视牵引性黄斑病变分期系统。
Eur J Ophthalmol. 2021 May;31(3):1299-1312. doi: 10.1177/1120672120930590. Epub 2020 Jun 8.