Suppr超能文献

免疫功能正常患者接种蛋白质亚单位和mRNA新冠疫苗后发生播散性带状疱疹:两例报告及文献综述

Disseminated Herpes Zoster Following Protein Subunit and mRNA COVID-19 Vaccination in Immunocompetent Patients: Report of Two Cases and Literature Review.

作者信息

Lin Chia-Shuen, Chang Chung-Hsing

机构信息

Department of Dermatology, Hualien Tzu Chi Hospital, Buddhist Tzu Chi Medical Foundation, Hualien 97002, Taiwan.

Doctoral Degree Program in Translational Medicine, Tzu Chi University and Academia Sinica, College of Medicine, Tzu Chi University, Hualien 97004, Taiwan.

出版信息

Medicina (Kaunas). 2023 Aug 25;59(9):1542. doi: 10.3390/medicina59091542.

Abstract

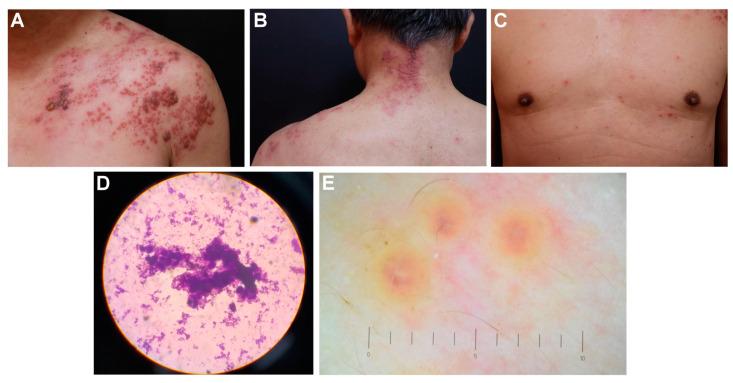
Disseminated herpes zoster (DHZ), resulting from the reactivation of the varicella-zoster virus (VZV), typically occurs in immunocompromised persons. To date, only four cases of DHZ following mRNA, viral vector, or inactivated COVID-19 vaccinations have been reported in immunocompetent patients. Herein, we present the first case of DHZ following the protein subunit COVID-19 vaccination (case 1, 64 years old) and a case of DHZ following mRNA COVID-19 vaccination (case 2, 67 years old) in elderly, immunocompetent male patients. Both cases were generally healthy, without a remarkable underlying disease and without a history of immunosuppressant use. Case 1 developed DHZ (left C3-5 predominant) 1 month after receiving the third dose of the SARS-CoV-2 spike protein vaccine (MVC-COV1901). Case 2 developed DHZ (right V1-3 predominant) 7 days after receiving the second dose of the mRNA-1273 SARS-CoV-2 vaccine. Through skin examination, Tzanck smears, and dermoscopy, the diagnosis of COVID-19 vaccination-related DHZ was established in both cases. Oral famciclovir (250 mg, three times/day for 7 days) was administered, and both cases achieved total remission of skin lesions without visceral involvement or severe post-herpetic neuralgia. Our cases demonstrate that DHZ, as a rare cutaneous adverse event in immunocompetent patients, can be secondary not only to mRNA COVID-19 vaccination but also to the protein subunit COVID-19 vaccination. It is speculated that the spike protein of SARS-CoV-2 could be the common trigger for the reactivation of VZV among different types of vaccinations.

摘要

播散性带状疱疹(DHZ)由水痘-带状疱疹病毒(VZV)重新激活引起,通常发生在免疫功能低下的人群中。迄今为止,在免疫功能正常的患者中,仅报告了4例接种mRNA、病毒载体或灭活COVID-19疫苗后发生DHZ的病例。在此,我们报告了首例在老年免疫功能正常男性患者中接种蛋白亚单位COVID-19疫苗后发生DHZ的病例(病例1,64岁)以及1例接种mRNA COVID-19疫苗后发生DHZ的病例(病例2,67岁)。两例患者一般健康,无明显基础疾病,也无免疫抑制剂使用史。病例1在接种第三剂严重急性呼吸综合征冠状病毒2(SARS-CoV-2)刺突蛋白疫苗(MVC-COV1901)1个月后发生DHZ(以左侧C3-5为主)。病例2在接种第二剂mRNA-1273 SARS-CoV-2疫苗7天后发生DHZ(以右侧V1-3为主)。通过皮肤检查、Tzanck涂片和皮肤镜检查,两例均确诊为与COVID-19疫苗接种相关的DHZ。给予口服泛昔洛韦(250 mg,每日3次,共7天),两例患者皮肤病变均完全缓解,无内脏受累或严重带状疱疹后神经痛。我们的病例表明,DHZ作为免疫功能正常患者中罕见的皮肤不良事件,不仅可继发于mRNA COVID-19疫苗接种,也可继发于蛋白亚单位COVID-19疫苗接种。据推测,SARS-CoV-2的刺突蛋白可能是不同类型疫苗接种中VZV重新激活的共同触发因素。

https://cdn.ncbi.nlm.nih.gov/pmc/blobs/9bb2/10532883/a534ab25644a/medicina-59-01542-g001.jpg

文献AI研究员

20分钟写一篇综述,助力文献阅读效率提升50倍。

立即体验

用中文搜PubMed

大模型驱动的PubMed中文搜索引擎

马上搜索

文档翻译

学术文献翻译模型,支持多种主流文档格式。

立即体验