Suppr超能文献

痛泻要方通过激活肠胶质细胞和 NGF/TrkA 通路调节腹泻型肠易激综合征大鼠肠道突触可塑性。

How Tongxie-Yaofang Regulates Intestinal Synaptic Plasticity by Activating Enteric Glial Cells and NGF/TrkA Pathway in Diarrhea-Predominant Irritable Bowel Syndrome Rats.

机构信息

Center of Digestive, Beijing Hospital of Traditional Chinese Medicine, Capital Medical University, Beijing, People's Republic of China.

出版信息

Drug Des Devel Ther. 2023 Sep 27;17:2969-2983. doi: 10.2147/DDDT.S423333. eCollection 2023.

Abstract

PURPOSE

Diarrhea-predominant irritable bowel syndrome (D-IBS) is a frequent functional gastrointestinal disease that affects health and quality of life owing to its high incidence and recurrence rate. Tongxie-Yaofang (TXYF) is a traditional Chinese medicine prescribed for D-IBS. However, the therapeutic mechanism of TXYF has not been fully elucidated. This study aimed to investigate the effects of TXYF on visceral hypersensitivity in stress-induced D-IBS rats and the underlying mechanisms.

METHODS

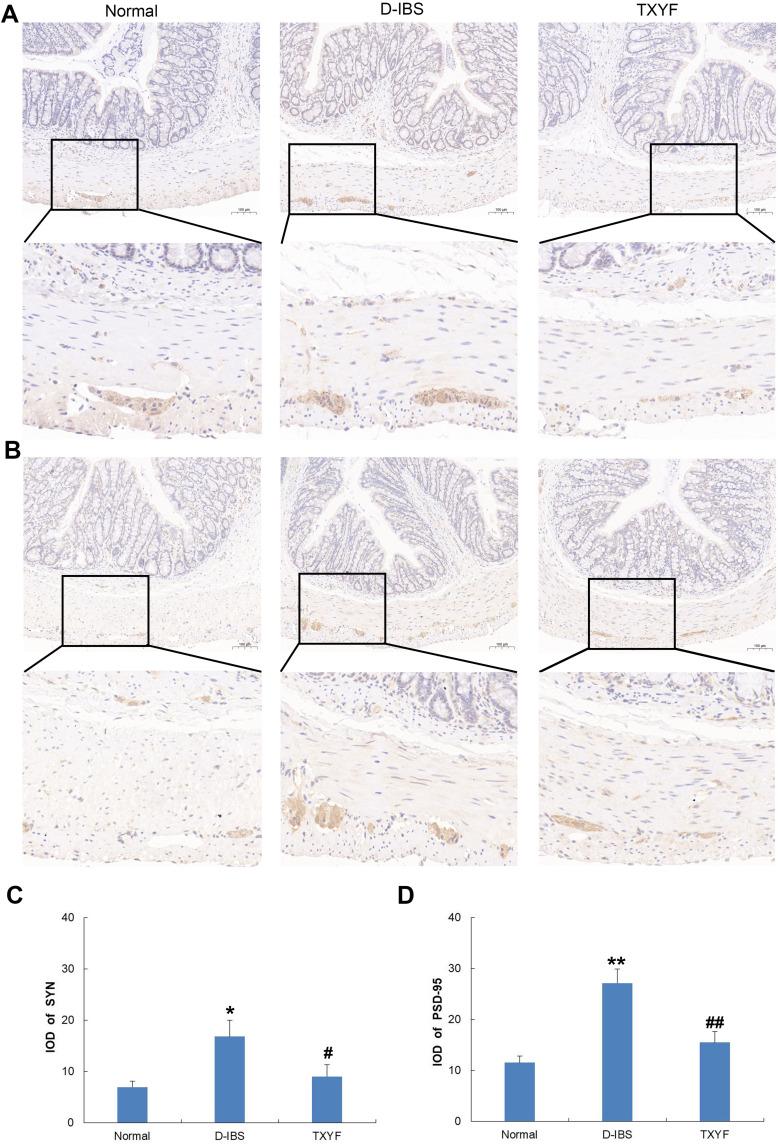
Electromyographic (EMG) activity of the external oblique muscles and the abdominal withdrawal reflex (AWR) score captured by Barostat were used to quantify the effect of TXYF on visceral sensitivity. Transmission electron microscopy (TEM) was used to observe the ultrastructure of the enteric nervous system (ENS). For molecular detection, the colonic expression of enteric glial cell's (EGC's) activation markers, glial fibrillary acidic protein (GFAP) and calcium-binding protein S100β, NGF, TrkA, synaptic plasticity-related factors, synaptophysin (SYN) and postsynaptic density-95 (PSD-95), glutamate, glutamate receptors α-amino-3-hydroxy-5-methyl-4-isoxazole-propionic acid receptor (AMPAR), and N-methyl-D-aspartate receptor (NMDAR) were detected by immunohistochemistry, enzyme-linked immunosorbent assay, and real-time PCR. An ex vivo experiment was conducted to measure the EGC-induced NGF release.

RESULTS

TXYF decreased the EMG activity and AWR scores in rats with D-IBS. Under TEM, TXYF improved the dense and irregular nerve arrangement, narrowed the synaptic cleft, and decreased the number of synaptic vesicles in D-IBS rats. In addition, TXYF decreased the expression of GFAP, S100β, SYN, and PSD-95; down-regulated the levels of NGF, TrkA, and glutamate; and reduced the mRNA expression of AMPAR1, NMDAR1, and NMDAR2B. In an ex vivo experiment, TXYF decreased NGF release in D-IBS rats, and this trend disappeared under EGC inhibition.

CONCLUSION

TXYF alleviated visceral hypersensitivity in D-IBS rats possibly by improving synaptic plasticity through inhibiting the activity of EGCs and the NGF/TrkA signaling pathway in the colon.

摘要

目的

腹泻型肠易激综合征(D-IBS)是一种常见的功能性胃肠道疾病,由于其高发病率和复发率,影响健康和生活质量。痛泻要方(TXYF)是一种用于治疗 D-IBS 的中药。然而,TXYF 的治疗机制尚未完全阐明。本研究旨在探讨 TXYF 对应激诱导的 D-IBS 大鼠内脏敏感性的影响及其潜在机制。

方法

通过测压法测量腹壁肌肌电图(EMG)活动和腹外斜肌的腹壁退缩反射(AWR)评分,以量化 TXYF 对内脏敏感性的影响。透射电子显微镜(TEM)用于观察肠神经系统(ENS)的超微结构。为了进行分子检测,采用免疫组化、酶联免疫吸附试验和实时 PCR 检测结肠中肠胶质细胞(EGC)激活标志物胶质纤维酸性蛋白(GFAP)和钙结合蛋白 S100β、神经生长因子(NGF)、突触可塑性相关因子、突触小体相关蛋白(SYN)和突触后密度蛋白-95(PSD-95)、谷氨酸、α-氨基-3-羟基-5-甲基-4-异恶唑丙酸受体(AMPA)和 N-甲基-D-天冬氨酸受体(NMDA)的表达。进行了离体实验以测量 EGC 诱导的 NGF 释放。

结果

TXYF 降低了 D-IBS 大鼠的 EMG 活性和 AWR 评分。在 TEM 下,TXYF 改善了 D-IBS 大鼠不规则且密集的神经排列,缩小了突触间隙,并减少了突触小泡的数量。此外,TXYF 降低了 GFAP、S100β、SYN 和 PSD-95 的表达;下调了 NGF、TrkA 和谷氨酸的水平;并降低了 AMPA1、NMDAR1 和 NMDAR2B 的 mRNA 表达。在离体实验中,TXYF 降低了 D-IBS 大鼠的 NGF 释放,而在 EGC 抑制下,这种趋势消失。

结论

TXYF 通过抑制结肠 EGC 活性和 NGF/TrkA 信号通路改善突触可塑性,从而缓解 D-IBS 大鼠的内脏高敏感。

https://cdn.ncbi.nlm.nih.gov/pmc/blobs/aecc/10544122/793a1db042ea/DDDT-17-2969-g0001.jpg

文献检索

告别复杂PubMed语法,用中文像聊天一样搜索,搜遍4000万医学文献。AI智能推荐,让科研检索更轻松。

立即免费搜索

文件翻译

保留排版,准确专业,支持PDF/Word/PPT等文件格式,支持 12+语言互译。

免费翻译文档

深度研究

AI帮你快速写综述,25分钟生成高质量综述,智能提取关键信息,辅助科研写作。

立即免费体验