• 文献检索
  • 文档翻译
  • 深度研究
  • 学术资讯
  • Suppr Zotero 插件Zotero 插件
  • 邀请有礼
  • 套餐&价格
  • 历史记录
应用&插件
Suppr Zotero 插件Zotero 插件浏览器插件Mac 客户端Windows 客户端微信小程序
定价
高级版会员购买积分包购买API积分包
服务
文献检索文档翻译深度研究API 文档MCP 服务
关于我们
关于 Suppr公司介绍联系我们用户协议隐私条款
关注我们

Suppr 超能文献

核心技术专利:CN118964589B侵权必究
粤ICP备2023148730 号-1Suppr @ 2026

文献检索

告别复杂PubMed语法,用中文像聊天一样搜索,搜遍4000万医学文献。AI智能推荐,让科研检索更轻松。

立即免费搜索

文件翻译

保留排版,准确专业,支持PDF/Word/PPT等文件格式,支持 12+语言互译。

免费翻译文档

深度研究

AI帮你快速写综述,25分钟生成高质量综述,智能提取关键信息,辅助科研写作。

立即免费体验

蛋白质限制减缓了小鼠阿尔茨海默病的发展和进程。

Protein restriction slows the development and progression of Alzheimer's disease in mice.

作者信息

Babygirija Reji, Sonsalla Michelle M, Mill Jericha, James Isabella, Han Jessica H, Green Cara L, Calubag Mariah F, Wade Gina, Tobon Anna, Michael John, Trautman Michaela M, Matoska Ryan, Yeh Chung-Yang, Grunow Isaac, Pak Heidi H, Rigby Michael J, Baldwin Dominique A, Niemi Natalie M, Denu John M, Puglielli Luigi, Simcox Judith, Lamming Dudley W

机构信息

Department of Medicine, University of Wisconsin-Madison, Madison, WI, USA.

William S. Middleton Memorial Veterans Hospital, Madison, WI, USA.

出版信息

Res Sq. 2024 Apr 24:rs.3.rs-3342413. doi: 10.21203/rs.3.rs-3342413/v2.

DOI:10.21203/rs.3.rs-3342413/v2
PMID:37790423
原文链接:https://pmc.ncbi.nlm.nih.gov/articles/PMC10543316/
Abstract

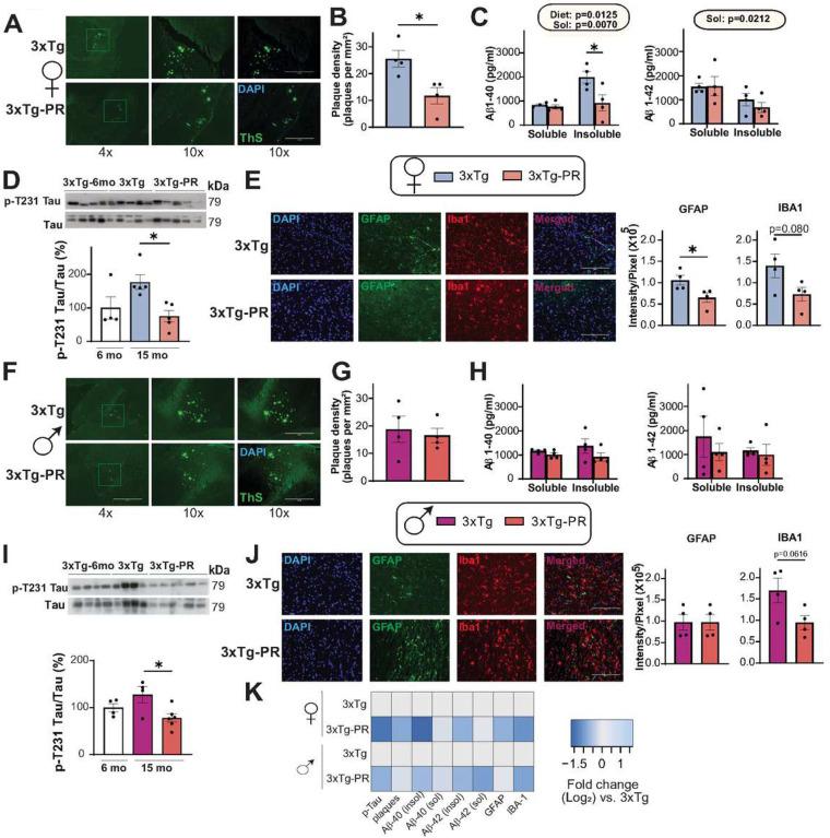
Dietary protein is a critical regulator of metabolic health and aging. Low protein diets are associated with healthy aging in humans, and many independent groups of researchers have shown that dietary protein restriction (PR) extends the lifespan and healthspan of mice. Here, we examined the effect of PR on metabolic health and the development and progression of Alzheimer's disease (AD) in the 3xTg mouse model of AD. We found that PR has metabolic benefits for 3xTg mice and non-transgenic controls of both sexes, promoting leanness and glycemic control in 3xTg mice and rescuing the glucose intolerance of 3xTg females. We found that PR induces sex-specific alterations in circulating metabolites and in the brain metabolome and lipidome, downregulating sphingolipid subclasses including ceramides, glucosylceramides, and sphingomyelins in 3xTg females. Consumption of a PR diet starting at 6 months of age reduced AD pathology in conjunction with reduced mTORC1 activity, increased autophagy, and had cognitive benefits for 3xTg mice. Finally, PR improved the survival of 3xTg mice. Our results demonstrate that PR slows the progression of AD at molecular and pathological levels, preserves cognition in this mouse model of AD, and suggests that PR or pharmaceutical interventions that mimic the effects of this diet may hold promise as a treatment for AD.

摘要

膳食蛋白质是代谢健康和衰老的关键调节因子。低蛋白饮食与人类健康衰老相关,许多独立的研究团队已表明,膳食蛋白质限制(PR)可延长小鼠的寿命和健康寿命。在此,我们研究了PR对阿尔茨海默病(AD)3xTg小鼠模型的代谢健康以及AD发生和进展的影响。我们发现,PR对3xTg小鼠和两性非转基因对照小鼠均有代谢益处,可促进3xTg小鼠的瘦体重和血糖控制,并改善3xTg雌性小鼠的葡萄糖不耐受。我们发现,PR会引起循环代谢物以及大脑代谢组和脂质组的性别特异性改变,下调3xTg雌性小鼠中包括神经酰胺、葡萄糖神经酰胺和鞘磷脂在内的鞘脂亚类。6个月大开始食用PR饮食可减少AD病理,同时降低mTORC1活性、增加自噬,并对3xTg小鼠具有认知益处。最后,PR提高了3xTg小鼠的存活率。我们的结果表明,PR在分子和病理水平上减缓了AD的进展,在该AD小鼠模型中保留了认知功能,并表明PR或模拟这种饮食效果的药物干预可能有望成为AD的一种治疗方法。

https://cdn.ncbi.nlm.nih.gov/pmc/blobs/9d6f/11067688/0fde8be5d9d7/nihpp-rs3342413v2-f0009.jpg
https://cdn.ncbi.nlm.nih.gov/pmc/blobs/9d6f/11067688/7f96477f4c0b/nihpp-rs3342413v2-f0001.jpg
https://cdn.ncbi.nlm.nih.gov/pmc/blobs/9d6f/11067688/1c5138011f99/nihpp-rs3342413v2-f0002.jpg
https://cdn.ncbi.nlm.nih.gov/pmc/blobs/9d6f/11067688/5e8fc3a9f3ad/nihpp-rs3342413v2-f0003.jpg
https://cdn.ncbi.nlm.nih.gov/pmc/blobs/9d6f/11067688/f4d5961a3b85/nihpp-rs3342413v2-f0004.jpg
https://cdn.ncbi.nlm.nih.gov/pmc/blobs/9d6f/11067688/6b1798effc62/nihpp-rs3342413v2-f0005.jpg
https://cdn.ncbi.nlm.nih.gov/pmc/blobs/9d6f/11067688/d4d536c0ee22/nihpp-rs3342413v2-f0006.jpg
https://cdn.ncbi.nlm.nih.gov/pmc/blobs/9d6f/11067688/eb0f1c4799bc/nihpp-rs3342413v2-f0007.jpg
https://cdn.ncbi.nlm.nih.gov/pmc/blobs/9d6f/11067688/5e2b85b74874/nihpp-rs3342413v2-f0008.jpg
https://cdn.ncbi.nlm.nih.gov/pmc/blobs/9d6f/11067688/0fde8be5d9d7/nihpp-rs3342413v2-f0009.jpg
https://cdn.ncbi.nlm.nih.gov/pmc/blobs/9d6f/11067688/7f96477f4c0b/nihpp-rs3342413v2-f0001.jpg
https://cdn.ncbi.nlm.nih.gov/pmc/blobs/9d6f/11067688/1c5138011f99/nihpp-rs3342413v2-f0002.jpg
https://cdn.ncbi.nlm.nih.gov/pmc/blobs/9d6f/11067688/5e8fc3a9f3ad/nihpp-rs3342413v2-f0003.jpg
https://cdn.ncbi.nlm.nih.gov/pmc/blobs/9d6f/11067688/f4d5961a3b85/nihpp-rs3342413v2-f0004.jpg
https://cdn.ncbi.nlm.nih.gov/pmc/blobs/9d6f/11067688/6b1798effc62/nihpp-rs3342413v2-f0005.jpg
https://cdn.ncbi.nlm.nih.gov/pmc/blobs/9d6f/11067688/d4d536c0ee22/nihpp-rs3342413v2-f0006.jpg
https://cdn.ncbi.nlm.nih.gov/pmc/blobs/9d6f/11067688/eb0f1c4799bc/nihpp-rs3342413v2-f0007.jpg
https://cdn.ncbi.nlm.nih.gov/pmc/blobs/9d6f/11067688/5e2b85b74874/nihpp-rs3342413v2-f0008.jpg
https://cdn.ncbi.nlm.nih.gov/pmc/blobs/9d6f/11067688/0fde8be5d9d7/nihpp-rs3342413v2-f0009.jpg

相似文献

1
Protein restriction slows the development and progression of Alzheimer's disease in mice.蛋白质限制减缓了小鼠阿尔茨海默病的发展和进程。
Res Sq. 2024 Apr 24:rs.3.rs-3342413. doi: 10.21203/rs.3.rs-3342413/v2.
2
Protein restriction slows the development and progression of pathology in a mouse model of Alzheimer's disease.限制蛋白质摄入可减缓阿尔茨海默病小鼠模型中病理的发展和进展。
Nat Commun. 2024 Jun 18;15(1):5217. doi: 10.1038/s41467-024-49589-z.
3
Fasting is required for many of the benefits of calorie restriction in the 3xTg mouse model of Alzheimer's disease.在阿尔茨海默病的3xTg小鼠模型中,许多卡路里限制的益处都需要禁食。
bioRxiv. 2024 Sep 24:2024.09.19.613904. doi: 10.1101/2024.09.19.613904.
4
Age, sex and Alzheimer's disease: a longitudinal study of 3xTg-AD mice reveals sex-specific disease trajectories and inflammatory responses mirrored in postmortem brains from Alzheimer's patients.年龄、性别与阿尔茨海默病:3xTg-AD 小鼠的纵向研究揭示了性别特异性疾病轨迹和阿尔茨海默病患者死后大脑中的炎症反应。
Alzheimers Res Ther. 2024 Jun 22;16(1):134. doi: 10.1186/s13195-024-01492-x.
5
Role of sex and high-fat diet in metabolic and hypothalamic disturbances in the 3xTg-AD mouse model of Alzheimer's disease.性别和高脂饮食在阿尔茨海默病3xTg-AD小鼠模型代谢和下丘脑紊乱中的作用
J Neuroinflammation. 2020 Sep 29;17(1):285. doi: 10.1186/s12974-020-01956-5.
6
Age, Sex and Alzheimer's disease: A longitudinal study of 3xTg-AD mice reveals sex-specific disease trajectories and inflammatory responses mirrored in postmortem brains from Alzheimer's patients.年龄、性别与阿尔茨海默病:对3xTg-AD小鼠的纵向研究揭示了性别特异性疾病轨迹以及阿尔茨海默病患者死后大脑中反映出的炎症反应。
bioRxiv. 2023 Dec 24:2023.12.23.573209. doi: 10.1101/2023.12.23.573209.
7
Acarbose ameliorates Western diet-induced metabolic and cognitive impairments in the 3xTg mouse model of Alzheimer's disease.阿卡波糖可改善西方饮食诱导的阿尔茨海默病3xTg小鼠模型中的代谢和认知障碍。
Geroscience. 2025 Apr;47(2):1569-1591. doi: 10.1007/s11357-024-01337-3. Epub 2024 Sep 14.
8
Selenomethionine Mitigates Cognitive Decline by Targeting Both Tau Hyperphosphorylation and Autophagic Clearance in an Alzheimer's Disease Mouse Model.在阿尔茨海默病小鼠模型中,硒代蛋氨酸通过靶向tau蛋白过度磷酸化和自噬清除来减轻认知衰退。
J Neurosci. 2017 Mar 1;37(9):2449-2462. doi: 10.1523/JNEUROSCI.3229-16.2017. Epub 2017 Jan 30.
9
Age-dependent impairment of glucose tolerance in the 3xTg-AD mouse model of Alzheimer's disease.阿尔茨海默病3xTg-AD小鼠模型中葡萄糖耐量的年龄依赖性损伤。
FASEB J. 2015 Oct;29(10):4273-84. doi: 10.1096/fj.14-268482. Epub 2015 Jun 24.
10
Sex differences in metabolic phenotype and hypothalamic inflammation in the 3xTg-AD mouse model of Alzheimer's disease.阿尔茨海默病 3xTg-AD 小鼠模型中代谢表型和下丘脑炎症的性别差异。
Biol Sex Differ. 2023 Aug 9;14(1):51. doi: 10.1186/s13293-023-00536-5.

本文引用的文献

1
Dietary restriction of isoleucine increases healthspan and lifespan of genetically heterogeneous mice.限制异亮氨酸饮食可延长遗传异质性小鼠的健康寿命和寿命。
Cell Metab. 2023 Nov 7;35(11):1976-1995.e6. doi: 10.1016/j.cmet.2023.10.005.
2
When a calorie is not just a calorie: Diet quality and timing as mediators of metabolism and healthy aging.当卡路里不再只是卡路里:饮食质量和时间作为代谢和健康衰老的中介。
Cell Metab. 2023 Jul 11;35(7):1114-1131. doi: 10.1016/j.cmet.2023.06.008. Epub 2023 Jun 30.
3
Geroprotective interventions in the 3xTg mouse model of Alzheimer's disease.
阿尔茨海默病 3xTg 小鼠模型中的 geroprotective 干预措施。
Geroscience. 2023 Jun;45(3):1343-1381. doi: 10.1007/s11357-023-00782-w. Epub 2023 Apr 6.
4
Integrated multi-omics analysis of Alzheimer's disease shows molecular signatures associated with disease progression and potential therapeutic targets.阿尔茨海默病的综合多组学分析显示了与疾病进展相关的分子特征和潜在的治疗靶点。
Sci Rep. 2023 Mar 6;13(1):3695. doi: 10.1038/s41598-023-30892-6.
5
Ether Lipid-Mediated Antioxidant Defense in Alzheimer's Disease.阿尔茨海默病中醚脂介导的抗氧化防御
Antioxidants (Basel). 2023 Jan 28;12(2):293. doi: 10.3390/antiox12020293.
6
Effects of methionine intake on cognitive function in mild cognitive impairment patients and APP/PS1 Alzheimer's Disease model mice: Role of the cystathionine-β-synthase/HS pathway.蛋氨酸摄入对轻度认知障碍患者和 APP/PS1 阿尔茨海默病模型小鼠认知功能的影响:胱硫醚-β-合酶/HS 途径的作用。
Redox Biol. 2023 Feb;59:102595. doi: 10.1016/j.redox.2022.102595. Epub 2022 Dec 30.
7
Lecanemab, Aducanumab, and Gantenerumab - Binding Profiles to Different Forms of Amyloid-Beta Might Explain Efficacy and Side Effects in Clinical Trials for Alzheimer's Disease.仑卡奈单抗、阿杜卡玛单抗和加内替单抗——对不同形式的淀粉样蛋白-β的结合谱可能解释了阿尔茨海默病临床试验中的疗效和副作用。
Neurotherapeutics. 2023 Jan;20(1):195-206. doi: 10.1007/s13311-022-01308-6. Epub 2022 Oct 17.
8
Fasting-mimicking diet cycles reduce neuroinflammation to attenuate cognitive decline in Alzheimer's models.禁食模拟饮食周期可减少神经炎症,从而减轻阿尔茨海默病模型的认知能力下降。
Cell Rep. 2022 Sep 27;40(13):111417. doi: 10.1016/j.celrep.2022.111417.
9
Regulation of metabolic health by dietary histidine in mice.饮食组氨酸对小鼠代谢健康的调节作用。
J Physiol. 2023 Jun;601(11):2139-2163. doi: 10.1113/JP283261. Epub 2022 Sep 27.
10
Dietary Protein Restriction Improves Metabolic Dysfunction in Patients with Metabolic Syndrome in a Randomized, Controlled Trial.限食蛋白质可改善代谢综合征患者的代谢功能障碍:一项随机对照试验。
Nutrients. 2022 Jun 28;14(13):2670. doi: 10.3390/nu14132670.