Suppr超能文献

免疫功能正常患者的单纯疱疹病毒性食管炎

Herpes Simplex Virus Esophagitis in an Immunocompetent Patient.

作者信息

Shah Raj, Patel Stuti, Henriquez Richard, Parikh Jignesh, Mandalia Amar

机构信息

Internal Medicine, University of Central Florida College of Medicine / Hospital Corporation of America Healthcare Graduate Medical Education, Orlando, USA.

Internal Medicine, Western Reserve Health Education, Trumbull Regional Medical Center, Warren, USA.

出版信息

Cureus. 2023 Sep 4;15(9):e44668. doi: 10.7759/cureus.44668. eCollection 2023 Sep.

Abstract

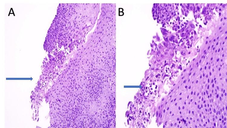
Esophagitis due to herpes simplex virus (HSV) infection is a rare entity in the immunocompetent population. It is usually seen in immunocompromised hosts, those with human immunodeficiency virus (HIV) infection, malignancies, and patients on immunosuppressive medications. We present a case of a young immunocompetent man with anabolic steroid use who presented with esophagitis symptoms found to be from HSV infection. So far, the use of corticosteroids has been reported as a predisposing factor for HSV esophagitis in immunocompetent hosts in multiple case reports. However, our case suspects that transient immunosuppression with similar medication can cause HSV esophagitis in otherwise immunocompetent hosts.

摘要

单纯疱疹病毒(HSV)感染所致食管炎在免疫功能正常人群中较为罕见。它通常见于免疫功能低下的宿主,如感染人类免疫缺陷病毒(HIV)者、恶性肿瘤患者以及使用免疫抑制药物的患者。我们报告一例年轻的免疫功能正常男性,因使用合成代谢类固醇而出现食管炎症状,经检查发现是由HSV感染引起。迄今为止,在多篇病例报告中,使用皮质类固醇已被报道为免疫功能正常宿主发生HSV食管炎的一个诱发因素。然而,我们的病例怀疑,使用类似药物导致的短暂免疫抑制可在原本免疫功能正常的宿主中引发HSV食管炎。

https://cdn.ncbi.nlm.nih.gov/pmc/blobs/2f1b/10550305/24987ac300b7/cureus-0015-00000044668-i01.jpg

文献检索

告别复杂PubMed语法,用中文像聊天一样搜索,搜遍4000万医学文献。AI智能推荐,让科研检索更轻松。

立即免费搜索

文件翻译

保留排版,准确专业,支持PDF/Word/PPT等文件格式,支持 12+语言互译。

免费翻译文档

深度研究

AI帮你快速写综述,25分钟生成高质量综述,智能提取关键信息,辅助科研写作。

立即免费体验