Suppr超能文献

黄斑新生血管和息肉样脉络膜血管病变:表型变异、发病机制及其在治疗中的意义。

Macular neovascularization and polypoidal choroidal vasculopathy: phenotypic variations, pathogenic mechanisms and implications in management.

机构信息

Singapore Eye Research Institute, Singapore National Eye Centre, Singapore, Singapore.

Ophthalmology & Visual Sciences Academic Clinical Program (Eye ACP), Duke-NUS Medical School, Singapore, Singapore.

出版信息

Eye (Lond). 2024 Mar;38(4):659-667. doi: 10.1038/s41433-023-02764-w. Epub 2023 Oct 6.

Abstract

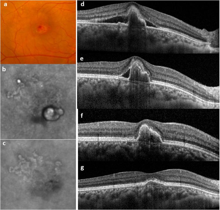
Advances in imaging have led to improved ability to characterize variations in clinical sub-phenotypes of macular neovascularization (MNV) in Age-related macular degeneration (AMD). Polypoidal choroidal vasculopathy (PCV) was initially described based on characteristic features observed in indocyanine green angiography (ICGA) and was thought to be a distinct entity from AMD. However, subsequent careful observations based on confocal scanning laser ophthalmoscopy-based ICGA, optical coherence tomography (OCT) and OCT angiography have led researchers to appreciate similarities between PCV lesion and type 1 MNV in typical neovascular AMD. Concurrently, clinical trials have shown that anti-VEGF monotherapy can achieve favourable visual outcome in the majority of eyes with PCV. These learnings have led to a shift in the way PCV is managed over the past decade. Recent studies have supported the use of non-ICGA based imaging modality to screen for PCV and the adoption of anti-VEGF monotherapy as initial therapy for PCV. A focus of recent research has been in the understanding of the role of choroidal alterations in the pathogenesis of PCV. The concept of pachychoroid in leading to outer retinal ischemia has garnered increasing support. Future research in this area should evaluate the potential of choroidal morphology in guiding personalized therapy in PCV.

摘要

影像学的进步使得我们能够更好地描述年龄相关性黄斑变性(AMD)中黄斑新生血管(MNV)的临床亚表型的变化。息肉状脉络膜血管病变(PCV)最初是根据吲哚青绿血管造影(ICGA)中观察到的特征性表现来描述的,被认为是与 AMD 不同的实体。然而,随后基于共焦扫描激光检眼镜联合 ICGA、光学相干断层扫描(OCT)和 OCT 血管造影的仔细观察,使研究人员认识到 PCV 病变与典型新生血管性 AMD 中 1 型 MNV 之间存在相似之处。同时,临床试验表明,抗血管内皮生长因子(VEGF)单药治疗可以使大多数 PCV 眼获得良好的视力结果。这些认识导致过去十年中 PCV 的管理方式发生了转变。最近的研究支持使用非 ICGA 成像方式来筛查 PCV,并采用抗 VEGF 单药治疗作为 PCV 的初始治疗。最近研究的重点是理解脉络膜改变在 PCV 发病机制中的作用。脉络膜增厚导致外层视网膜缺血的概念得到了越来越多的支持。该领域的未来研究应该评估脉络膜形态在指导 PCV 个体化治疗中的潜力。

https://cdn.ncbi.nlm.nih.gov/pmc/blobs/0510/10920817/1e58f2eeb184/41433_2023_2764_Fig1_HTML.jpg

文献AI研究员

20分钟写一篇综述,助力文献阅读效率提升50倍。

立即体验

用中文搜PubMed

大模型驱动的PubMed中文搜索引擎

马上搜索

文档翻译

学术文献翻译模型,支持多种主流文档格式。

立即体验