Suppr超能文献

胰腺脂肪浸润:一项系统的概念分析

Fatty infiltration of the pancreas: a systematic concept analysis.

作者信息

Mahyoub Mueataz A, Elhoumed Mohamed, Maqul Abdulfatah Hassan, Almezgagi Maged, Abbas Mustafa, Jiao Yang, Wang Jinhai, Alnaggar Mohammed, Zhao Ping, He Shuixiang

机构信息

Department of Gastroenterology, The First Affiliated Hospital of Xi'an Jiaotong University, Xi'an, China.

Clinical Medical Research Center for Digestive Diseases (Oncology) of Shaanxi Province, Xi'an, China.

出版信息

Front Med (Lausanne). 2023 Sep 22;10:1227188. doi: 10.3389/fmed.2023.1227188. eCollection 2023.

Abstract

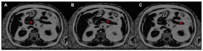
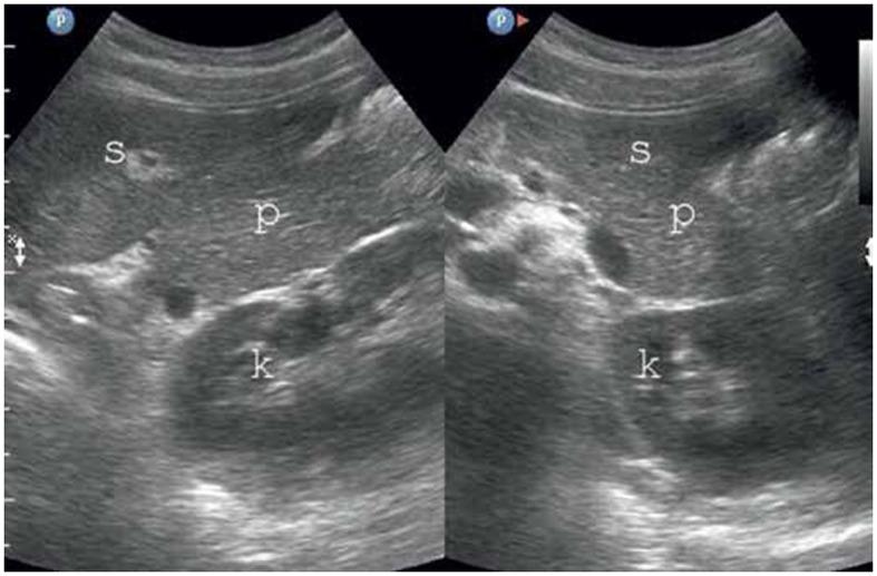
Fatty infiltration of the pancreas (FIP) has been recognized for nearly a century, yet many aspects of this condition remain unclear. Regular literature reviews on the diagnosis, consequences, and management of FIP are crucial. This review article highlights the various disorders for which FIP has been established as a risk factor, including type 2 diabetes mellitus (T2DM), pancreatitis, pancreatic fistula (PF), metabolic syndrome (MS), polycystic ovary syndrome (PCOS), and pancreatic duct adenocarcinoma (PDAC), as well as the new investigation tools. Given the interdisciplinary nature of FIP research, a broad range of healthcare specialists are involved. This review article covers key aspects of FIP, including nomenclature and definition of pancreatic fat infiltration, history and epidemiology, etiology and pathophysiology, clinical presentation and diagnosis, clinical consequences, and treatment. This review is presented in a detailed narrative format for accessibility to clinicians and medical students.

摘要

胰腺脂肪浸润(FIP)已被认识近一个世纪,但这种病症的许多方面仍不清楚。定期对FIP的诊断、后果及管理进行文献综述至关重要。这篇综述文章强调了已确定FIP为风险因素的各种疾病,包括2型糖尿病(T2DM)、胰腺炎、胰瘘(PF)、代谢综合征(MS)、多囊卵巢综合征(PCOS)和胰腺导管腺癌(PDAC),以及新的研究工具。鉴于FIP研究的跨学科性质,涉及广泛的医疗保健专家。这篇综述文章涵盖了FIP的关键方面,包括胰腺脂肪浸润的命名和定义、历史和流行病学、病因和病理生理学、临床表现和诊断、临床后果及治疗。本综述以详细的叙述形式呈现,以便临床医生和医学生查阅。

https://cdn.ncbi.nlm.nih.gov/pmc/blobs/ee6b/10556874/bb5bc434834d/fmed-10-1227188-g0001.jpg

文献AI研究员

20分钟写一篇综述,助力文献阅读效率提升50倍。

立即体验

用中文搜PubMed

大模型驱动的PubMed中文搜索引擎

马上搜索

文档翻译

学术文献翻译模型,支持多种主流文档格式。

立即体验