Suppr超能文献

垂体神经内分泌肿瘤中的血管流空影:一例报告并文献复习

Vascular flow empty shadow in pituitary neuroendocrine tumors: A case report and review of literature.

作者信息

Zhong Jiansheng, Li Jun, Wang Shousen

机构信息

Department of Neurosurgery Fujian Medical University School of Clinical Medicine (900th Hospital) Fuzhou China.

Department of Neurosurgery The 9th Hospital of the Joint Support Force of the Chinese People's Liberation Army Fuzhou China.

出版信息

Clin Case Rep. 2023 Oct 10;11(10):e7931. doi: 10.1002/ccr3.7931. eCollection 2023 Oct.

Abstract

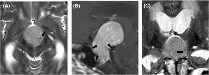
To investigate the blood supply characteristics and surgical significance of pituitary neuroendocrine tumors with vascular flow void signal in tumors. The clinical data of one case of giant pituitary neuroendocrine tumor with vascular flow void signal were reported, and the related literature was reviewed. In this case of pituitary neuroendocrine tumor, the blood sinus from the superior pituitary artery was seen in the left rear of the tumor before the first operation, showing irregular low signal. Subsequently, the tumor recurred 46 mm high, grew upwards, and had no cystic degeneration. The blood vessels that showed flow voids signal in magnetic resonance imaging originated from the inferior pituitary artery. The tumor was removed through the frontal lobe through the lateral ventricle approach, and desirable results were obtained. Vascular flow void signals in giant pituitary neuroendocrine tumors are rare, which suggests a sufficient and rich arterial blood supply. Arterial blood supply from below such tumors should be properly handled during the operation.

摘要

探讨肿瘤内有血管流空信号的垂体神经内分泌肿瘤的血供特点及手术意义。报道1例有血管流空信号的巨大垂体神经内分泌肿瘤的临床资料,并复习相关文献。该例垂体神经内分泌肿瘤在首次手术前于肿瘤左后方可见来自垂体上动脉的血窦,呈不规则低信号。随后肿瘤复发,高46 mm,向上生长,无囊性变。磁共振成像显示流空信号的血管起源于垂体下动脉。经侧脑室额叶入路切除肿瘤,效果满意。巨大垂体神经内分泌肿瘤中的血管流空信号少见,提示动脉血供充足且丰富。手术中应妥善处理此类肿瘤下方的动脉血供。

https://cdn.ncbi.nlm.nih.gov/pmc/blobs/eba3/10565100/6d4e5a444df0/CCR3-11-e7931-g002.jpg

文献检索

告别复杂PubMed语法,用中文像聊天一样搜索,搜遍4000万医学文献。AI智能推荐,让科研检索更轻松。

立即免费搜索

文件翻译

保留排版,准确专业,支持PDF/Word/PPT等文件格式,支持 12+语言互译。

免费翻译文档

深度研究

AI帮你快速写综述,25分钟生成高质量综述,智能提取关键信息,辅助科研写作。

立即免费体验