• 文献检索
  • 文档翻译
  • 深度研究
  • 学术资讯
  • Suppr Zotero 插件Zotero 插件
  • 邀请有礼
  • 套餐&价格
  • 历史记录
应用&插件
Suppr Zotero 插件Zotero 插件浏览器插件Mac 客户端Windows 客户端微信小程序
定价
高级版会员购买积分包购买API积分包
服务
文献检索文档翻译深度研究API 文档MCP 服务
关于我们
关于 Suppr公司介绍联系我们用户协议隐私条款
关注我们

Suppr 超能文献

核心技术专利:CN118964589B侵权必究
粤ICP备2023148730 号-1Suppr @ 2026

文献检索

告别复杂PubMed语法,用中文像聊天一样搜索,搜遍4000万医学文献。AI智能推荐,让科研检索更轻松。

立即免费搜索

文件翻译

保留排版,准确专业,支持PDF/Word/PPT等文件格式,支持 12+语言互译。

免费翻译文档

深度研究

AI帮你快速写综述,25分钟生成高质量综述,智能提取关键信息,辅助科研写作。

立即免费体验

抗氧化剂可预防铁积累和脂质过氧化,但不能纠正 BPAN 细胞模型中的自噬功能障碍或线粒体生物能。

Antioxidants Prevent Iron Accumulation and Lipid Peroxidation, but Do Not Correct Autophagy Dysfunction or Mitochondrial Bioenergetics in Cellular Models of BPAN.

机构信息

Centro Andaluz de Biología del Desarrollo, ABD-CSIC-Universidad Pablo de Olavide, 41013 Sevilla, Spain.

Department of Developmental and Molecular Biology, Albert Einstein College of Medicine, New York, NY 10461, USA.

出版信息

Int J Mol Sci. 2023 Sep 26;24(19):14576. doi: 10.3390/ijms241914576.

DOI:10.3390/ijms241914576
PMID:37834028
原文链接:https://pmc.ncbi.nlm.nih.gov/articles/PMC11340724/
Abstract

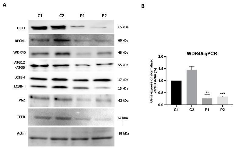
Neurodegeneration with brain iron accumulation (NBIA) is a group of rare neurogenetic disorders frequently associated with iron accumulation in the basal nuclei of the brain. Among NBIA subtypes, β-propeller protein-associated neurodegeneration (BPAN) is associated with mutations in the autophagy gene . The aim of this study was to demonstrate the autophagic defects and secondary pathological consequences in cellular models derived from two patients harboring mutations. Both protein and mRNA expression levels of WDR45 were decreased in patient-derived fibroblasts. In addition, the increase of LC3B upon treatments with autophagy inducers or inhibitors was lower in mutant cells compared to control cells, suggesting decreased autophagosome formation and impaired autophagic flux. A transmission electron microscopy (TEM) analysis showed mitochondrial vacuolization associated with the accumulation of lipofuscin-like aggregates containing undegraded material. Autophagy dysregulation was also associated with iron accumulation and lipid peroxidation. In addition, mutant fibroblasts showed altered mitochondrial bioenergetics. Antioxidants such as pantothenate, vitamin E and α-lipoic prevented lipid peroxidation and iron accumulation. However, antioxidants were not able to correct the expression levels of WDR45, neither the autophagy defect nor cell bioenergetics. Our study demonstrated that mutations in BPAN cellular models impaired autophagy, iron metabolism and cell bioenergetics. Antioxidants partially improved cell physiopathology; however, autophagy and cell bioenergetics remained affected.

摘要

神经退行性伴脑铁沉积(NBIA)是一组罕见的神经遗传疾病,常伴有脑基底核铁沉积。在 NBIA 亚型中,β-三叶螺旋蛋白相关神经退行性变(BPAN)与自噬基因的突变有关。本研究旨在证明两个携带突变的患者来源细胞模型中的自噬缺陷和继发的病理后果。患者来源的成纤维细胞中 WDR45 的蛋白和 mRNA 表达水平均降低。此外,与对照细胞相比,突变细胞中自噬诱导剂或抑制剂处理后 LC3B 的增加较低,表明自噬体形成减少和自噬流受损。透射电子显微镜(TEM)分析显示线粒体空泡化,伴有脂褐素样包含未降解物质的聚集体的积累。自噬失调还与铁积累和脂质过氧化有关。此外,突变型成纤维细胞显示线粒体生物能发生改变。抗氧化剂如泛酸、维生素 E 和α-硫辛酸可预防脂质过氧化和铁积累。然而,抗氧化剂不能纠正 WDR45 的表达水平,也不能纠正自噬缺陷或细胞生物能。我们的研究表明,BPAN 细胞模型中的突变会损害自噬、铁代谢和细胞生物能。抗氧化剂部分改善了细胞病理生理学;然而,自噬和细胞生物能仍然受到影响。

https://cdn.ncbi.nlm.nih.gov/pmc/blobs/4df9/11340724/39fd0a0bc027/ijms-24-14576-g015.jpg
https://cdn.ncbi.nlm.nih.gov/pmc/blobs/4df9/11340724/b391783456d1/ijms-24-14576-g001.jpg
https://cdn.ncbi.nlm.nih.gov/pmc/blobs/4df9/11340724/3722581dcb5e/ijms-24-14576-g002.jpg
https://cdn.ncbi.nlm.nih.gov/pmc/blobs/4df9/11340724/8a9d77fad913/ijms-24-14576-g003.jpg
https://cdn.ncbi.nlm.nih.gov/pmc/blobs/4df9/11340724/529ca592f37b/ijms-24-14576-g004.jpg
https://cdn.ncbi.nlm.nih.gov/pmc/blobs/4df9/11340724/5b614b5079b7/ijms-24-14576-g005.jpg
https://cdn.ncbi.nlm.nih.gov/pmc/blobs/4df9/11340724/be2e15a018c4/ijms-24-14576-g006.jpg
https://cdn.ncbi.nlm.nih.gov/pmc/blobs/4df9/11340724/5baa495e65ac/ijms-24-14576-g007.jpg
https://cdn.ncbi.nlm.nih.gov/pmc/blobs/4df9/11340724/8298271fe278/ijms-24-14576-g008.jpg
https://cdn.ncbi.nlm.nih.gov/pmc/blobs/4df9/11340724/de83daab6795/ijms-24-14576-g009.jpg
https://cdn.ncbi.nlm.nih.gov/pmc/blobs/4df9/11340724/167b75ca1b02/ijms-24-14576-g010.jpg
https://cdn.ncbi.nlm.nih.gov/pmc/blobs/4df9/11340724/b510c1fbf97e/ijms-24-14576-g011.jpg
https://cdn.ncbi.nlm.nih.gov/pmc/blobs/4df9/11340724/0e93cc199594/ijms-24-14576-g012.jpg
https://cdn.ncbi.nlm.nih.gov/pmc/blobs/4df9/11340724/f1c2cfd47e6c/ijms-24-14576-g013.jpg
https://cdn.ncbi.nlm.nih.gov/pmc/blobs/4df9/11340724/fc1496c499cc/ijms-24-14576-g014.jpg
https://cdn.ncbi.nlm.nih.gov/pmc/blobs/4df9/11340724/39fd0a0bc027/ijms-24-14576-g015.jpg
https://cdn.ncbi.nlm.nih.gov/pmc/blobs/4df9/11340724/b391783456d1/ijms-24-14576-g001.jpg
https://cdn.ncbi.nlm.nih.gov/pmc/blobs/4df9/11340724/3722581dcb5e/ijms-24-14576-g002.jpg
https://cdn.ncbi.nlm.nih.gov/pmc/blobs/4df9/11340724/8a9d77fad913/ijms-24-14576-g003.jpg
https://cdn.ncbi.nlm.nih.gov/pmc/blobs/4df9/11340724/529ca592f37b/ijms-24-14576-g004.jpg
https://cdn.ncbi.nlm.nih.gov/pmc/blobs/4df9/11340724/5b614b5079b7/ijms-24-14576-g005.jpg
https://cdn.ncbi.nlm.nih.gov/pmc/blobs/4df9/11340724/be2e15a018c4/ijms-24-14576-g006.jpg
https://cdn.ncbi.nlm.nih.gov/pmc/blobs/4df9/11340724/5baa495e65ac/ijms-24-14576-g007.jpg
https://cdn.ncbi.nlm.nih.gov/pmc/blobs/4df9/11340724/8298271fe278/ijms-24-14576-g008.jpg
https://cdn.ncbi.nlm.nih.gov/pmc/blobs/4df9/11340724/de83daab6795/ijms-24-14576-g009.jpg
https://cdn.ncbi.nlm.nih.gov/pmc/blobs/4df9/11340724/167b75ca1b02/ijms-24-14576-g010.jpg
https://cdn.ncbi.nlm.nih.gov/pmc/blobs/4df9/11340724/b510c1fbf97e/ijms-24-14576-g011.jpg
https://cdn.ncbi.nlm.nih.gov/pmc/blobs/4df9/11340724/0e93cc199594/ijms-24-14576-g012.jpg
https://cdn.ncbi.nlm.nih.gov/pmc/blobs/4df9/11340724/f1c2cfd47e6c/ijms-24-14576-g013.jpg
https://cdn.ncbi.nlm.nih.gov/pmc/blobs/4df9/11340724/fc1496c499cc/ijms-24-14576-g014.jpg
https://cdn.ncbi.nlm.nih.gov/pmc/blobs/4df9/11340724/39fd0a0bc027/ijms-24-14576-g015.jpg

相似文献

1
Antioxidants Prevent Iron Accumulation and Lipid Peroxidation, but Do Not Correct Autophagy Dysfunction or Mitochondrial Bioenergetics in Cellular Models of BPAN.抗氧化剂可预防铁积累和脂质过氧化,但不能纠正 BPAN 细胞模型中的自噬功能障碍或线粒体生物能。
Int J Mol Sci. 2023 Sep 26;24(19):14576. doi: 10.3390/ijms241914576.
2
A neurodegeneration gene, WDR45, links impaired ferritinophagy to iron accumulation.一个神经退行性疾病基因 WDR45,将铁蛋白自噬功能障碍与铁积累联系起来。
J Neurochem. 2022 Feb;160(3):356-375. doi: 10.1111/jnc.15548. Epub 2021 Dec 8.
3
WDR45-dependent impairment of cell cycle in fibroblasts of patients with beta propeller protein-associated neurodegeneration (BPAN).WDR45 依赖性细胞周期损伤在β-三叶螺旋蛋白相关神经退行性变(BPAN)患者的成纤维细胞中。
Biochim Biophys Acta Mol Cell Res. 2024 Dec;1871(8):119842. doi: 10.1016/j.bbamcr.2024.119842. Epub 2024 Sep 13.
4
Mutant WDR45 Leads to Altered Ferritinophagy and Ferroptosis in β-Propeller Protein-Associated Neurodegeneration.突变 WDR45 导致 β-三联蛋白相关神经退行性变中的铁蛋白自噬和铁死亡改变。
Int J Mol Sci. 2022 Aug 23;23(17):9524. doi: 10.3390/ijms23179524.
5
Autophagic defects observed in fibroblasts from a patient with β-propeller protein-associated neurodegeneration.在β-三联蛋白相关神经退行性变患者的成纤维细胞中观察到自噬缺陷。
Am J Med Genet A. 2021 Dec;185(12):3866-3871. doi: 10.1002/ajmg.a.62442. Epub 2021 Jul 29.
6
Mutation Impairs the Autophagic Degradation of Transferrin Receptor and Promotes Ferroptosis.突变损害转铁蛋白受体的自噬降解并促进铁死亡。
Front Mol Biosci. 2021 May 3;8:645831. doi: 10.3389/fmolb.2021.645831. eCollection 2021.
7
Ferrous Iron Up-regulation in Fibroblasts of Patients with Beta Propeller Protein-Associated Neurodegeneration (BPAN).β-螺旋桨蛋白相关神经退行性变(BPAN)患者成纤维细胞中铁离子上调
Front Genet. 2017 Feb 17;8:18. doi: 10.3389/fgene.2017.00018. eCollection 2017.
8
The autophagy gene Wdr45/Wipi4 regulates learning and memory function and axonal homeostasis.自噬基因Wdr45/Wipi4调节学习记忆功能和轴突稳态。
Autophagy. 2015;11(6):881-90. doi: 10.1080/15548627.2015.1047127.
9
L-serine restored lysosomal failure in cells derived from patients with BPAN reducing iron accumulation with eliminating lipofuscin.L-丝氨酸恢复了源自 BPAN 患者的细胞中的溶酶体功能障碍,减少了脂褐素的积累,从而消除了铁的积累。
Free Radic Biol Med. 2024 Aug 20;221:273-282. doi: 10.1016/j.freeradbiomed.2024.05.017. Epub 2024 May 11.
10
A burning question from the first international BPAN symposium: is restoration of autophagy a promising therapeutic strategy for BPAN?首届国际 BPAN 研讨会的热门问题:恢复自噬是否是治疗 BPAN 的有前途的治疗策略?
Autophagy. 2023 Dec;19(12):3234-3239. doi: 10.1080/15548627.2023.2247314. Epub 2023 Aug 31.

引用本文的文献

1
Mechanism of Ferroptosis and Its Role in Disease Development.铁死亡的机制及其在疾病发展中的作用。
Int J Biol Sci. 2025 Aug 22;21(12):5328-5360. doi: 10.7150/ijbs.102859. eCollection 2025.
2
Mitochondrial Unfolded Protein Response (mtUPR) Activation Improves Pathological Alterations in Cellular Models of Ethylmalonic Encephalopathy.线粒体未折叠蛋白反应(mtUPR)激活改善乙基丙二酸脑病细胞模型中的病理改变。
Antioxidants (Basel). 2025 Jun 16;14(6):741. doi: 10.3390/antiox14060741.
3
Iron Accumulation and Lipid Peroxidation in Cellular Models of Nemaline Myopathies.

本文引用的文献

1
Alpha-lipoic acid supplementation corrects pathological alterations in cellular models of pantothenate kinase-associated neurodegeneration with residual PANK2 expression levels.硫辛酸补充剂可纠正潘特生激酶相关神经退行性变细胞模型中残留 PANK2 表达水平的病理改变。
Orphanet J Rare Dis. 2023 Apr 12;18(1):80. doi: 10.1186/s13023-023-02687-5.
2
variants cause ferrous iron loss due to impaired ferritinophagy associated with nuclear receptor coactivator 4 and WD repeat domain phosphoinositide interacting protein 4 reduction.由于与核受体辅激活因子4和WD重复结构域磷酸肌醇相互作用蛋白4减少相关的自噬受损,变体导致亚铁离子丢失。
Brain Commun. 2022 Nov 23;4(6):fcac304. doi: 10.1093/braincomms/fcac304. eCollection 2022.
3
杆状体肌病细胞模型中的铁积累与脂质过氧化作用
Int J Mol Sci. 2025 Feb 8;26(4):1434. doi: 10.3390/ijms26041434.
4
Polydatin and Nicotinamide Prevent Iron Accumulation and Lipid Peroxidation in Cellular Models of Mitochondrial Diseases.虎杖苷和烟酰胺可预防线粒体疾病细胞模型中的铁积累和脂质过氧化。
Antioxidants (Basel). 2025 Feb 13;14(2):215. doi: 10.3390/antiox14020215.
5
Biotin Induces Inactive Chromosome X Reactivation and Corrects Physiopathological Alterations in Beta-Propeller-Protein-Associated Neurodegeneration.生物素诱导失活的X染色体重新激活,并纠正β-螺旋桨蛋白相关神经退行性变中的生理病理改变。
Int J Mol Sci. 2025 Feb 4;26(3):1315. doi: 10.3390/ijms26031315.
6
The Critical Role of Autophagy and Phagocytosis in the Aging Brain.自噬和吞噬作用在衰老大脑中的关键作用
Int J Mol Sci. 2024 Dec 25;26(1):57. doi: 10.3390/ijms26010057.
7
Lipid droplet accumulation in Wdr45-deficient cells caused by impairment of chaperone-mediated autophagic degradation of Fasn.Wdr45 缺陷细胞中脂质滴的积累是由于 Fasn 的伴侣介导的自噬降解受损引起的。
Lipids Health Dis. 2024 Mar 28;23(1):91. doi: 10.1186/s12944-024-02088-y.
Vicious cycle of lipid peroxidation and iron accumulation in neurodegeneration.
神经退行性变中脂质过氧化和铁蓄积的恶性循环。
Neural Regen Res. 2023 Jun;18(6):1196-1202. doi: 10.4103/1673-5374.358614.
4
Mutations, Genes, and Phenotypes Related to Movement Disorders and Ataxias.与运动障碍和共济失调相关的突变、基因和表型。
Int J Mol Sci. 2022 Oct 6;23(19):11847. doi: 10.3390/ijms231911847.
5
Mutant WDR45 Leads to Altered Ferritinophagy and Ferroptosis in β-Propeller Protein-Associated Neurodegeneration.突变 WDR45 导致 β-三联蛋白相关神经退行性变中的铁蛋白自噬和铁死亡改变。
Int J Mol Sci. 2022 Aug 23;23(17):9524. doi: 10.3390/ijms23179524.
6
Therapeutic approach with commercial supplements for pantothenate kinase-associated neurodegeneration with residual PANK2 expression levels.使用商业补充剂进行治疗泛酸激酶相关神经退行性变,残留 PANK2 表达水平。
Orphanet J Rare Dis. 2022 Aug 9;17(1):311. doi: 10.1186/s13023-022-02465-9.
7
α-Lipoic Acid, an Organosulfur Biomolecule a Novel Therapeutic Agent for Neurodegenerative Disorders: An Mechanistic Perspective.α-硫辛酸,一种有机硫生物分子,神经退行性疾病的新型治疗剂:一种机制观点。
Neurochem Res. 2022 Jul;47(7):1853-1864. doi: 10.1007/s11064-022-03598-w. Epub 2022 Apr 21.
8
Vitamin E prevents lipid peroxidation and iron accumulation in PLA2G6-Associated Neurodegeneration.维生素 E 可预防 PLA2G6 相关神经退行性变中的脂质过氧化和铁积累。
Neurobiol Dis. 2022 Apr;165:105649. doi: 10.1016/j.nbd.2022.105649. Epub 2022 Feb 2.
9
A neurodegeneration gene, WDR45, links impaired ferritinophagy to iron accumulation.一个神经退行性疾病基因 WDR45,将铁蛋白自噬功能障碍与铁积累联系起来。
J Neurochem. 2022 Feb;160(3):356-375. doi: 10.1111/jnc.15548. Epub 2021 Dec 8.
10
Physiological significance of WDR45, a responsible gene for β-propeller protein associated neurodegeneration (BPAN), in brain development.WDR45 在脑发育中的生理意义,WDR45 是β-三叶状螺旋蛋白相关神经退行性变(BPAN)的致病基因。
Sci Rep. 2021 Nov 19;11(1):22568. doi: 10.1038/s41598-021-02123-3.