• 文献检索
  • 文档翻译
  • 深度研究
  • 学术资讯
  • Suppr Zotero 插件Zotero 插件
  • 邀请有礼
  • 套餐&价格
  • 历史记录
应用&插件
Suppr Zotero 插件Zotero 插件浏览器插件Mac 客户端Windows 客户端微信小程序
定价
高级版会员购买积分包购买API积分包
服务
文献检索文档翻译深度研究API 文档MCP 服务
关于我们
关于 Suppr公司介绍联系我们用户协议隐私条款
关注我们

Suppr 超能文献

核心技术专利:CN118964589B侵权必究
粤ICP备2023148730 号-1Suppr @ 2026

文献检索

告别复杂PubMed语法,用中文像聊天一样搜索,搜遍4000万医学文献。AI智能推荐,让科研检索更轻松。

立即免费搜索

文件翻译

保留排版,准确专业,支持PDF/Word/PPT等文件格式,支持 12+语言互译。

免费翻译文档

深度研究

AI帮你快速写综述,25分钟生成高质量综述,智能提取关键信息,辅助科研写作。

立即免费体验

对一种罕见解剖变异的临床洞察:一名甲状腺功能亢进患者的多余眼外肌(SEOM)自传体病例报告

Clinical Insight Into a Rare Anatomical Variation: An Autobiographical Case Report of a Supernumerary Extraocular Muscle (SEOM) in a Patient With Hyperthyroidism.

作者信息

Soundarajan Vishel, Nandakumal Gunavathy, Dheer Singh Preetvinder Singh

机构信息

Ophthalmology, Hospital Raja Permaisuri Bainun, Ipoh, MYS.

Radiology, Hospital Raja Permaisuri Bainun, Ipoh, MYS.

出版信息

Cureus. 2023 Oct 12;15(10):e46887. doi: 10.7759/cureus.46887. eCollection 2023 Oct.

DOI:10.7759/cureus.46887
PMID:37841982
原文链接:https://pmc.ncbi.nlm.nih.gov/articles/PMC10568521/
Abstract

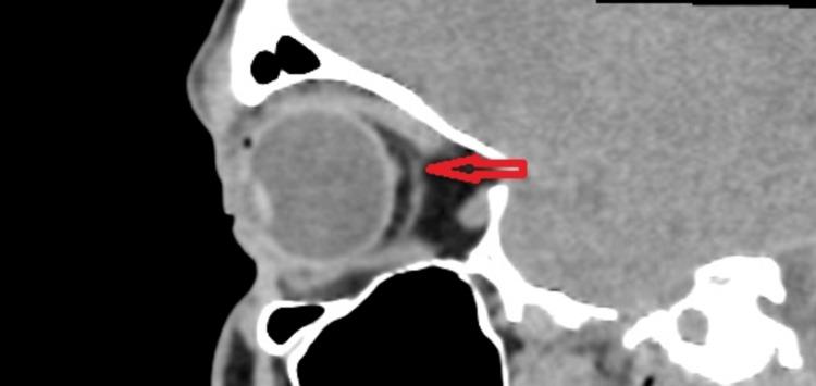
In this case report, we present the rare occurrence of supernumerary extraocular muscles (SEOM) in a 35-year-old male with hyperthyroidism. SEOMs are unusual anatomical variations involving extraocular muscles that deviate from the typical muscle arrangement in the eye. While SEOMs are rare, they can have diverse clinical manifestations, including restrictive strabismus and lid abnormalities. In this case, the patient displayed right-sided lid retraction and an asymmetrical palpebral aperture, which raised concerns about a potential association with thyroid eye disease. However, imaging revealed that the SEOM was anatomically connected to the superior rectus muscle, possibly contributing to the observed lid retraction. Understanding the complexities of SEOM and its potential interactions with conditions like thyroid ophthalmopathy is crucial for accurate diagnosis and management. Further research is needed to fully comprehend the development and clinical impact of SEOMs due to their rarity and limited knowledge in the medical literature.

摘要

在本病例报告中,我们呈现了一名35岁甲状腺功能亢进男性罕见的额外眼外肌(SEOM)情况。SEOM是涉及眼外肌的异常解剖变异,偏离了眼睛中典型的肌肉排列。虽然SEOM很罕见,但它们可具有多种临床表现,包括限制性斜视和眼睑异常。在本病例中,患者表现为右侧眼睑退缩和睑裂不对称,这引发了对其与甲状腺眼病潜在关联的担忧。然而,影像学显示SEOM在解剖学上与上直肌相连,这可能是观察到的眼睑退缩的原因。了解SEOM的复杂性及其与甲状腺眼病等病症的潜在相互作用对于准确诊断和管理至关重要。由于SEOM在医学文献中罕见且知识有限,需要进一步研究以全面理解其发育和临床影响。

https://cdn.ncbi.nlm.nih.gov/pmc/blobs/3145/10568521/5397b2705284/cureus-0015-00000046887-i06.jpg
https://cdn.ncbi.nlm.nih.gov/pmc/blobs/3145/10568521/30c7ab3fad16/cureus-0015-00000046887-i01.jpg
https://cdn.ncbi.nlm.nih.gov/pmc/blobs/3145/10568521/0ee4f31e46bb/cureus-0015-00000046887-i02.jpg
https://cdn.ncbi.nlm.nih.gov/pmc/blobs/3145/10568521/3820e7f6f5fd/cureus-0015-00000046887-i03.jpg
https://cdn.ncbi.nlm.nih.gov/pmc/blobs/3145/10568521/a218a37dfdbe/cureus-0015-00000046887-i04.jpg
https://cdn.ncbi.nlm.nih.gov/pmc/blobs/3145/10568521/f3a673005496/cureus-0015-00000046887-i05.jpg
https://cdn.ncbi.nlm.nih.gov/pmc/blobs/3145/10568521/5397b2705284/cureus-0015-00000046887-i06.jpg
https://cdn.ncbi.nlm.nih.gov/pmc/blobs/3145/10568521/30c7ab3fad16/cureus-0015-00000046887-i01.jpg
https://cdn.ncbi.nlm.nih.gov/pmc/blobs/3145/10568521/0ee4f31e46bb/cureus-0015-00000046887-i02.jpg
https://cdn.ncbi.nlm.nih.gov/pmc/blobs/3145/10568521/3820e7f6f5fd/cureus-0015-00000046887-i03.jpg
https://cdn.ncbi.nlm.nih.gov/pmc/blobs/3145/10568521/a218a37dfdbe/cureus-0015-00000046887-i04.jpg
https://cdn.ncbi.nlm.nih.gov/pmc/blobs/3145/10568521/f3a673005496/cureus-0015-00000046887-i05.jpg
https://cdn.ncbi.nlm.nih.gov/pmc/blobs/3145/10568521/5397b2705284/cureus-0015-00000046887-i06.jpg

相似文献

1
Clinical Insight Into a Rare Anatomical Variation: An Autobiographical Case Report of a Supernumerary Extraocular Muscle (SEOM) in a Patient With Hyperthyroidism.对一种罕见解剖变异的临床洞察:一名甲状腺功能亢进患者的多余眼外肌(SEOM)自传体病例报告
Cureus. 2023 Oct 12;15(10):e46887. doi: 10.7759/cureus.46887. eCollection 2023 Oct.
2
Supernumerary Extraocular Muscle: A Rare Cause of Atypical Restrictive Strabismus.多余的眼外肌:一种不典型限制性斜视的罕见原因。
Medicina (Kaunas). 2022 Nov 21;58(11):1691. doi: 10.3390/medicina58111691.
3
Thyroid eye disease presenting with superior rectus/levator complex enlargement.表现为上直肌/提上睑肌复合体增大的甲状腺眼病。
Orbit. 2020 Feb;39(1):5-12. doi: 10.1080/01676830.2019.1594969. Epub 2019 May 6.
4
Bilateral optic nerve edema presenting as initial manifestation of thyroid eye disease.双侧视神经水肿作为甲状腺眼病的初始表现
Orbit. 2016 Oct;35(5):288-91. doi: 10.1080/01676830.2016.1176217. Epub 2016 Aug 3.
5
Characteristics of Diabetic and Nondiabetic Patients With Thyroid Eye Disease in the United States: A Claims-Based Analysis.美国糖尿病和非糖尿病甲状腺眼病患者的特征:基于索赔的分析。
Endocr Pract. 2022 Feb;28(2):159-164. doi: 10.1016/j.eprac.2021.11.080. Epub 2021 Nov 12.
6
Thyroid orbitopathy obscuring the diagnosis of a rare neuromuscular hamartoma of the superior rectus muscle in an adult.甲状腺眼病掩盖了一名成人罕见的上直肌神经肌肉错构瘤的诊断。
Orbit. 2010 Jun;29(3):168-70. doi: 10.3109/01676830903537146.
7
[Clinical Analysis of 2 170 Cases of Thyroid-Associated Ophthalmopathy Involving Extraocular Muscles].2170例累及眼外肌的甲状腺相关性眼病临床分析
Sichuan Da Xue Xue Bao Yi Xue Ban. 2021 May;52(3):510-515. doi: 10.12182/20210560507.
8
Occult thyroid eye disease in patients with unexplained ocular misalignment identified by standardized orbital echography.通过标准化眼眶超声检查在不明原因眼球偏斜患者中发现隐匿性甲状腺眼病。
Am J Ophthalmol. 2006 Jul;142(1):75-81. doi: 10.1016/j.ajo.2006.01.089.
9
Visual field and orbital computed tomography correlation in dysthyroid optic neuropathy due to thyroid eye disease.甲状腺眼病所致甲状腺功能亢进性视神经病变的视野与眼眶 CT 相关性。
Orbit. 2020 Apr;39(2):77-83. doi: 10.1080/01676830.2019.1600150. Epub 2019 May 6.
10
Supernumerary Medial Rectus Muscle of the Orbit.眼眶额外内侧直肌
Cureus. 2022 Jan 24;14(1):e21556. doi: 10.7759/cureus.21556. eCollection 2022 Jan.

本文引用的文献

1
Supernumerary Extraocular Muscle: A Rare Cause of Atypical Restrictive Strabismus.多余的眼外肌:一种不典型限制性斜视的罕见原因。
Medicina (Kaunas). 2022 Nov 21;58(11):1691. doi: 10.3390/medicina58111691.
2
Management of strabismus in thyroid eye disease.甲状腺眼病性斜视的管理
Eye (Lond). 2015 Feb;29(2):234-7. doi: 10.1038/eye.2014.282. Epub 2014 Dec 19.
3
Anomalous extraocular muscles with strabismus.斜视伴眼外肌异常。
AJNR Am J Neuroradiol. 2011 Oct;32(9):E167-8. doi: 10.3174/ajnr.A2291. Epub 2010 Nov 18.
4
Magnetic resonance imaging of tissues compatible with supernumerary extraocular muscles.与多余眼外肌相容的组织的磁共振成像。
Am J Ophthalmol. 2010 Dec;150(6):925-31. doi: 10.1016/j.ajo.2010.06.007.
5
Graves' ophthalmopathy.格雷夫斯眼病。
N Engl J Med. 2010 Feb 25;362(8):726-38. doi: 10.1056/NEJMra0905750.
6
Supernumerary extraocular muscle in Graves' orbitopathy.格雷夫斯眼眶病中的额外眼外肌
Thyroid. 2007 May;17(5):479-80. doi: 10.1089/thy.2006.0236.
7
An Instance of the Retractor Bulbi Muscle in Man.人类眼球退缩肌的一个实例。
J Anat Physiol. 1911 Oct;46(Pt 1):36-40.
8
Anomalous orbital structures resulting in unusual strabismus.导致异常斜视的异常眼眶结构。
Surv Ophthalmol. 2002 Jan-Feb;47(1):27-35. doi: 10.1016/s0039-6257(01)00285-5.
9
Bilateral supernumerary rectus muscles of the orbit.双侧眶额外直肌。
Clin Anat. 1998;11(4):271-7. doi: 10.1002/(SICI)1098-2353(1998)11:4<271::AID-CA8>3.0.CO;2-U.