Suppr超能文献

通过体内计算机断层扫描对左心耳进行的高度详细的解剖学研究。

A highly-detailed anatomical study of left atrial auricle as revealed by in-vivo computed tomography.

作者信息

Mantini Cesare, Corradi Francesco, Ricci Fabrizio, Jensen Bjarke, Tana Claudio, Di Mascio Valeria, Mastrodicasa Domenico, Bucciarelli Benedetta, Procaccini Luca, Saba Luca, Cademartiri Filippo, De Caterina Raffaele

机构信息

Department of Neuroscience, Imaging and Clinical Sciences, "G. D'Annunzio" University, Chieti, Italy.

Institute of Cardiology, "G. D'Annunzio" University, Chieti, Italy.

出版信息

Heliyon. 2023 Oct 2;9(10):e20575. doi: 10.1016/j.heliyon.2023.e20575. eCollection 2023 Oct.

Abstract

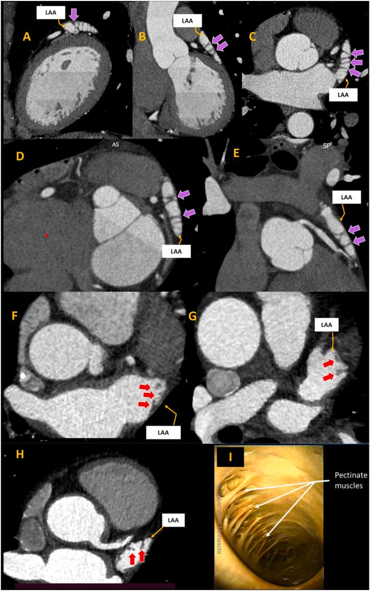
The left atrial auricle (LAA) is the main source of intracardiac thrombi, which contribute significantly to the total number of stroke cases. It is also considered a major site of origin for atrial fibrillation in patients undergoing ablation procedures. The LAA is known to have a high degree of morphological variability, with shape and structure identified as important contributors to thrombus formation. A detailed understanding of LAA form, dimension, and function is crucial for radiologists, cardiologists, and cardiac surgeons. This review describes the normal anatomy of the LAA as visualized through multiple imaging techniques such as computed tomography (CT), magnetic resonance imaging (MRI), and echocardiography. Special emphasis is devoted to a discussion on how the morphological characteristics of the LAA are closely related to the likelihood of developing LAA thrombi, including insights into LAA embryology.

摘要

左心耳(LAA)是心内血栓的主要来源,在心源性卒中病例总数中占比显著。它也被认为是接受消融手术患者房颤的主要起源部位。已知LAA具有高度的形态变异性,其形状和结构被认为是血栓形成的重要因素。对于放射科医生、心脏病学家和心脏外科医生来说,详细了解LAA的形态、尺寸和功能至关重要。本综述描述了通过计算机断层扫描(CT)、磁共振成像(MRI)和超声心动图等多种成像技术所显示的LAA正常解剖结构。特别着重讨论了LAA的形态特征如何与LAA血栓形成的可能性密切相关,包括对LAA胚胎学的见解。

https://cdn.ncbi.nlm.nih.gov/pmc/blobs/b564/10568352/fcecd7b98f53/gr1.jpg

文献AI研究员

20分钟写一篇综述,助力文献阅读效率提升50倍。

立即体验

用中文搜PubMed

大模型驱动的PubMed中文搜索引擎

马上搜索

文档翻译

学术文献翻译模型,支持多种主流文档格式。

立即体验