• 文献检索
  • 文档翻译
  • 深度研究
  • 学术资讯
  • Suppr Zotero 插件Zotero 插件
  • 邀请有礼
  • 套餐&价格
  • 历史记录
应用&插件
Suppr Zotero 插件Zotero 插件浏览器插件Mac 客户端Windows 客户端微信小程序
定价
高级版会员购买积分包购买API积分包
服务
文献检索文档翻译深度研究API 文档MCP 服务
关于我们
关于 Suppr公司介绍联系我们用户协议隐私条款
关注我们

Suppr 超能文献

核心技术专利:CN118964589B侵权必究
粤ICP备2023148730 号-1Suppr @ 2026

文献检索

告别复杂PubMed语法,用中文像聊天一样搜索,搜遍4000万医学文献。AI智能推荐,让科研检索更轻松。

立即免费搜索

文件翻译

保留排版,准确专业,支持PDF/Word/PPT等文件格式,支持 12+语言互译。

免费翻译文档

深度研究

AI帮你快速写综述,25分钟生成高质量综述,智能提取关键信息,辅助科研写作。

立即免费体验

囊性纤维化所致成人小肠套叠:一例报告、文献综述及管理指南

Adult intussusception of the small intestine caused by cystic fibrosis: a case report, review of the literature, and guide for management.

作者信息

Adu Yaw, Wolkober Brianna, Nesiama Esere, Thompson Lori, Laswi Mujahed, Obokhare Izi

机构信息

School of Medicine, Texas Tech University Health Sciences Center, 3601 4th St, Lubbock, TX 79430, United States.

Department of Surgery, Texas Tech University Health Sciences Center, 1400 Coulter St S, Amarillo, TX 79106, United States.

出版信息

J Surg Case Rep. 2023 Oct 17;2023(10):rjad574. doi: 10.1093/jscr/rjad574. eCollection 2023 Oct.

DOI:10.1093/jscr/rjad574
PMID:37854524
原文链接:https://pmc.ncbi.nlm.nih.gov/articles/PMC10581704/
Abstract

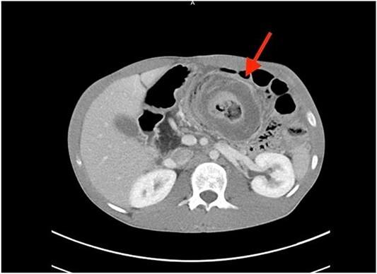
Intussusception, an uncommon but potentially severe condition primarily associated with infants and young children, can also present in adults, posing distinct challenges in diagnosis and treatment. This report presents the case of a 22-year-old male with cystic fibrosis, who developed intussusception due to severe constipation in his distal gastrointestinal tract. The patient's initial presentation included abdominal pain, constipation, and abnormal laboratory results. Computed tomography scans revealed intussusception affecting the ascending colon and cecum, necessitating surgical intervention and subsequent bowel resection. In adults, the presence of intussusception often triggers suspicion of underlying pathological lead points. However, in this instance, the root cause was attributed to cystic fibrosis induced constipation. Current evidence suggests limited efficacy with conservative treatment, with bowel resection being the most definitive treatment option. Further research is warranted to establish comprehensive guidelines for managing this uncommon condition, particularly when intertwined with cystic fibrosis.

摘要

肠套叠是一种主要发生于婴幼儿的罕见但可能严重的病症,在成人中也可出现,给诊断和治疗带来独特挑战。本报告介绍了一名22岁患有囊性纤维化的男性病例,其因远端胃肠道严重便秘而发生肠套叠。患者最初的症状包括腹痛、便秘及异常的实验室检查结果。计算机断层扫描显示升结肠和盲肠发生肠套叠,需要进行手术干预及随后的肠切除术。在成人中,肠套叠的出现常引发对潜在病理性引导点的怀疑。然而,在本例中,根本原因是囊性纤维化导致的便秘。目前的证据表明保守治疗效果有限,肠切除术是最确切的治疗选择。有必要进行进一步研究,以制定针对这种罕见病症的综合管理指南,尤其是当它与囊性纤维化交织在一起时。

https://cdn.ncbi.nlm.nih.gov/pmc/blobs/2965/10581704/7ea880875cb9/rjad574f2.jpg
https://cdn.ncbi.nlm.nih.gov/pmc/blobs/2965/10581704/4d0f9401362e/rjad574f1.jpg
https://cdn.ncbi.nlm.nih.gov/pmc/blobs/2965/10581704/7ea880875cb9/rjad574f2.jpg
https://cdn.ncbi.nlm.nih.gov/pmc/blobs/2965/10581704/4d0f9401362e/rjad574f1.jpg
https://cdn.ncbi.nlm.nih.gov/pmc/blobs/2965/10581704/7ea880875cb9/rjad574f2.jpg

相似文献

1
Adult intussusception of the small intestine caused by cystic fibrosis: a case report, review of the literature, and guide for management.囊性纤维化所致成人小肠套叠:一例报告、文献综述及管理指南
J Surg Case Rep. 2023 Oct 17;2023(10):rjad574. doi: 10.1093/jscr/rjad574. eCollection 2023 Oct.
2
Enteric duplication cyst as a leading point for ileoileal intussusception in an adult: A rare cause of complete small intestinal obstruction.成人回肠套叠以肠重复囊肿为起始点:完全性小肠梗阻的罕见病因
World J Gastrointest Surg. 2016 Jun 27;8(6):472-5. doi: 10.4240/wjgs.v8.i6.472.
3
Bowel ultrasound imaging in patients with cystic fibrosis: Relationship with clinical symptoms and CFTR genotype.囊性纤维化患者的肠道超声成像:与临床症状及CFTR基因型的关系
Dig Liver Dis. 2016 Mar;48(3):271-6. doi: 10.1016/j.dld.2015.09.010. Epub 2015 Sep 28.
4
Idiopathic adult colo-colonic intussusception: Case report and review of the literature.特发性成人结肠-结肠套叠:病例报告及文献复习
Int J Surg Case Rep. 2013;4(4):416-8. doi: 10.1016/j.ijscr.2013.01.010. Epub 2013 Feb 1.
5
Transient Adult Jejunojejunal Intussusception: A Case of Conservative Management vs. Surgery.短暂性成人空肠空肠套叠:保守治疗与手术治疗的病例分析
Gastroenterology Res. 2017 Dec;10(6):369-371. doi: 10.14740/gr881w. Epub 2018 Jan 3.
6
Intussusception and Chronic Marijuana Use in a Young Adult.成人肠套叠与慢性大麻使用。
Am J Case Rep. 2021 Aug 13;22:e932479. doi: 10.12659/AJCR.932479.
7
Ileocecal intussusception as presentation for ascending colon carcinoma. Case report.回盲部肠套叠作为升结肠癌的表现。病例报告。
Int J Surg Case Rep. 2023 Jul;108:108439. doi: 10.1016/j.ijscr.2023.108439. Epub 2023 Jun 29.
8
Ileal intussusception due to heterotopic pancreas in the ileum: a case report.回肠异位胰腺导致的回肠套叠:一例报告
J Surg Case Rep. 2024 Oct 7;2024(10):rjae570. doi: 10.1093/jscr/rjae570. eCollection 2024 Oct.
9
Laparoscopic resection of adult colon duplication causing intussusception.腹腔镜切除导致肠套叠的成人结肠重复畸形
World J Gastroenterol. 2016 Feb 21;22(7):2398-402. doi: 10.3748/wjg.v22.i7.2398.
10
Colocolonic intussusception in an adult cystic fibrosis patient.成人囊性纤维化患者的结肠结肠型肠套叠。
J Cyst Fibros. 2019 Mar;18(2):e11-e13. doi: 10.1016/j.jcf.2018.11.013. Epub 2018 Nov 29.

引用本文的文献

1
Robotic Bowel Resection for Adult Intussusception with History of Marijuana Use.针对有大麻使用史的成人肠套叠进行的机器人肠道切除术。
CRSLS. 2025 Sep 4;12(3). doi: 10.4293/CRSLS.2025.00036. eCollection 2025 Jul-Sep.
2
A case of retrograde colonic intussusception by tubulovillous adenoma.一例管状绒毛状腺瘤所致的逆行性结肠套叠。
Clin J Gastroenterol. 2025 Aug 25. doi: 10.1007/s12328-025-02205-z.
3
Diagnosis and Management of Gastrointestinal Manifestations in Children with Cystic Fibrosis.囊性纤维化患儿胃肠道表现的诊断与管理

本文引用的文献

1
Intussusception of the appendix in a young adult: an important differential diagnosis of abdominal pain in cystic fibrosis patients?一名年轻成年人的阑尾套叠:囊性纤维化患者腹痛的重要鉴别诊断?
J Surg Case Rep. 2023 Mar 17;2023(3):rjad117. doi: 10.1093/jscr/rjad117. eCollection 2023 Mar.
2
From Anatomy to Functional and Molecular Biomarker Imaging and Therapy: Ultrasound Is Safe, Ultrafast, Portable, and Inexpensive.从解剖学到功能和分子生物标志物成像和治疗:超声安全、超快、便携且廉价。
Invest Radiol. 2020 Sep;55(9):559-572. doi: 10.1097/RLI.0000000000000675.
3
Colocolonic intussusception in an adult cystic fibrosis patient.
Diagnostics (Basel). 2024 Jan 22;14(2):228. doi: 10.3390/diagnostics14020228.
成人囊性纤维化患者的结肠结肠型肠套叠。
J Cyst Fibros. 2019 Mar;18(2):e11-e13. doi: 10.1016/j.jcf.2018.11.013. Epub 2018 Nov 29.
4
Intestinal Intussusception: Etiology, Diagnosis, and Treatment.肠套叠:病因、诊断与治疗
Clin Colon Rectal Surg. 2017 Feb;30(1):30-39. doi: 10.1055/s-0036-1593429.
5
Intussusception in an adult with cystic fibrosis successfully reduced with contrast enema.一名患有囊性纤维化的成年人肠套叠通过造影灌肠成功复位。
BMJ Case Rep. 2015 Jul 7;2015:bcr2015209466. doi: 10.1136/bcr-2015-209466.
6
Transient intussusception: rare cause of abdominal pain in cystic fibrosis.短暂性肠套叠:囊性纤维化患者腹痛的罕见原因。
BMJ Case Rep. 2013 Nov 12;2013:bcr2013201259. doi: 10.1136/bcr-2013-201259.
7
Intussusception and metastatic colon cancer in an adult with cystic fibrosis.一名成年囊性纤维化患者并发肠套叠和转移性结肠癌。
J R Soc Med. 2012 Jun;105 Suppl 2(Suppl 2):S40-3. doi: 10.1258/jrsm.2012.12s008.
8
Intussusception in adults with cystic fibrosis: a case series with review of the literature.成人囊性纤维化患者的肠套叠:病例系列及文献综述
Dig Dis Sci. 2011 Dec;56(12):3695-700. doi: 10.1007/s10620-011-1790-z. Epub 2011 Jun 16.
9
Colonoscopic findings in appendiceal intussusception in cystic fibrosis: a tubular cecal structure containing impacted luminal secretions.
Clin Gastroenterol Hepatol. 2010 Dec;8(12):A27-8. doi: 10.1016/j.cgh.2010.06.026. Epub 2010 Aug 14.
10
Intussusception of the appendix causing small bowel obstruction in a patient with cystic fibrosis.
J Pediatr Gastroenterol Nutr. 2010 Jan;50(1):1. doi: 10.1097/MPG.0b013e3181c15ef8.