• 文献检索
  • 文档翻译
  • 深度研究
  • 学术资讯
  • Suppr Zotero 插件Zotero 插件
  • 邀请有礼
  • 套餐&价格
  • 历史记录
应用&插件
Suppr Zotero 插件Zotero 插件浏览器插件Mac 客户端Windows 客户端微信小程序
定价
高级版会员购买积分包购买API积分包
服务
文献检索文档翻译深度研究API 文档MCP 服务
关于我们
关于 Suppr公司介绍联系我们用户协议隐私条款
关注我们

Suppr 超能文献

核心技术专利:CN118964589B侵权必究
粤ICP备2023148730 号-1Suppr @ 2026

文献检索

告别复杂PubMed语法,用中文像聊天一样搜索,搜遍4000万医学文献。AI智能推荐,让科研检索更轻松。

立即免费搜索

文件翻译

保留排版,准确专业,支持PDF/Word/PPT等文件格式,支持 12+语言互译。

免费翻译文档

深度研究

AI帮你快速写综述,25分钟生成高质量综述,智能提取关键信息,辅助科研写作。

立即免费体验

床旁超声在诊断和手法复位睾丸扭转中的应用。

Point-of-care ultrasonography for the diagnosis and manual detorsion of testicular torsion.

机构信息

Department of Radiology, Saitama Children's Medical Center, 1-2 Shintoshin Chuo-ku Saitama, Saitama, 330-8777, Japan.

出版信息

J Med Ultrason (2001). 2024 Jan;51(1):59-70. doi: 10.1007/s10396-023-01374-z. Epub 2023 Oct 20.

DOI:10.1007/s10396-023-01374-z
PMID:37863980
原文链接:https://pmc.ncbi.nlm.nih.gov/articles/PMC10937765/
Abstract

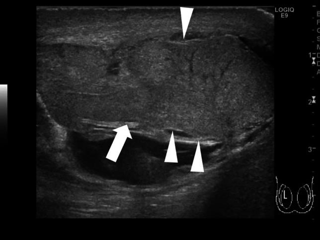
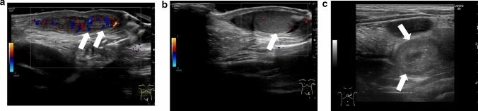
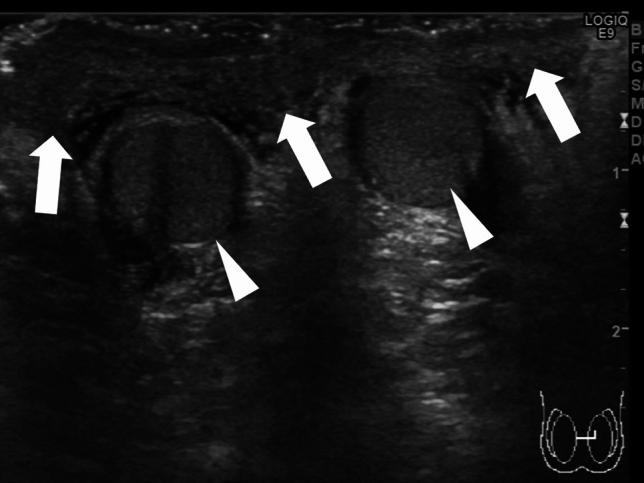
Testicular torsion is a urological emergency caused by the loss of testicular tissue due to ischemic damage. Rapid diagnosis and urgent treatment play a crucial role in the management of testicular torsion. Manual detorsion can be performed at the bedside, thereby reducing the duration of ischemia. Recent studies have reported the use of point-of-care ultrasonography for diagnosing testicular torsion; however, no review article has focused on the ultrasonographic findings pertaining to manual detorsion. This review describes the diagnosis of testicular torsion and the ultrasonographic indications for manual detorsion. Spermatic cord twisting or the whirlpool sign, absence of or decreased blood flow within the affected testis, abnormal testicular axis, abnormal echogenicity, and enlargement of the affected testis and epididymis due to ischemia are the sonographic findings associated with testicular torsion. The following findings are considered indications for manual detorsion: direction of testicular torsion, i.e., inner or outer direction (ultrasonographic accuracy of 70%), and the degree of spermatic cord twist. The following sonographic findings are used to determine whether the treatment was successful: presence of the whirlpool sign and the degree and extent of perfusion of the affected testis. Misdiagnosis of the direction of manual detorsion, a high degree of spermatic cord twisting and insufficient detorsion, testicular compartment syndrome, and testicular necrosis were found to result in treatment failure. The success of manual detorsion is determined based on the symptoms and sonographic findings. Subsequent surgical exploration is recommended in all cases, regardless of the success of manual detorsion.

摘要

睾丸扭转是一种泌尿外科急症,由缺血性损伤导致睾丸组织丧失引起。快速诊断和紧急治疗在睾丸扭转的管理中起着至关重要的作用。床边手动复位可减少缺血持续时间。最近的研究报告了使用即时超声检查来诊断睾丸扭转,但没有综述文章专门关注手动复位的超声表现。本文描述了睾丸扭转的诊断和手动复位的超声指征。精索扭曲或漩涡征、受累睾丸内无血流或血流减少、睾丸轴异常、回声异常以及缺血引起的受累睾丸和附睾增大是与睾丸扭转相关的超声表现。以下发现被认为是手动复位的指征:睾丸扭转的方向,即内旋或外旋(超声准确性为 70%)和精索扭转的程度。以下超声表现用于确定治疗是否成功:漩涡征的存在以及受累睾丸的灌注程度和范围。手动复位方向的误诊、精索扭转程度高和复位不足、睾丸间隔综合征和睾丸坏死均导致治疗失败。手动复位的成功与否取决于症状和超声表现。无论手动复位是否成功,都建议进行后续的手术探查。

https://cdn.ncbi.nlm.nih.gov/pmc/blobs/1291/10937765/6fac0c8ff7fe/10396_2023_1374_Fig19_HTML.jpg
https://cdn.ncbi.nlm.nih.gov/pmc/blobs/1291/10937765/69aad462946a/10396_2023_1374_Fig1_HTML.jpg
https://cdn.ncbi.nlm.nih.gov/pmc/blobs/1291/10937765/42ad91b8377b/10396_2023_1374_Fig2_HTML.jpg
https://cdn.ncbi.nlm.nih.gov/pmc/blobs/1291/10937765/78dcaff560bd/10396_2023_1374_Fig3_HTML.jpg
https://cdn.ncbi.nlm.nih.gov/pmc/blobs/1291/10937765/e5231d480b5f/10396_2023_1374_Fig4_HTML.jpg
https://cdn.ncbi.nlm.nih.gov/pmc/blobs/1291/10937765/d972dfd9c703/10396_2023_1374_Fig5_HTML.jpg
https://cdn.ncbi.nlm.nih.gov/pmc/blobs/1291/10937765/0ff3470a36db/10396_2023_1374_Fig6_HTML.jpg
https://cdn.ncbi.nlm.nih.gov/pmc/blobs/1291/10937765/1504754df6cf/10396_2023_1374_Fig7_HTML.jpg
https://cdn.ncbi.nlm.nih.gov/pmc/blobs/1291/10937765/1246ea75288a/10396_2023_1374_Fig8_HTML.jpg
https://cdn.ncbi.nlm.nih.gov/pmc/blobs/1291/10937765/a21a650447dc/10396_2023_1374_Fig9_HTML.jpg
https://cdn.ncbi.nlm.nih.gov/pmc/blobs/1291/10937765/635d0c58e9f6/10396_2023_1374_Fig10_HTML.jpg
https://cdn.ncbi.nlm.nih.gov/pmc/blobs/1291/10937765/44b20a390e46/10396_2023_1374_Fig11_HTML.jpg
https://cdn.ncbi.nlm.nih.gov/pmc/blobs/1291/10937765/1bcc31b75066/10396_2023_1374_Fig12_HTML.jpg
https://cdn.ncbi.nlm.nih.gov/pmc/blobs/1291/10937765/02cee7754a6b/10396_2023_1374_Fig13_HTML.jpg
https://cdn.ncbi.nlm.nih.gov/pmc/blobs/1291/10937765/080036db8714/10396_2023_1374_Fig14_HTML.jpg
https://cdn.ncbi.nlm.nih.gov/pmc/blobs/1291/10937765/d0e46f570ba8/10396_2023_1374_Fig15_HTML.jpg
https://cdn.ncbi.nlm.nih.gov/pmc/blobs/1291/10937765/b61bc4d5cbb1/10396_2023_1374_Fig16_HTML.jpg
https://cdn.ncbi.nlm.nih.gov/pmc/blobs/1291/10937765/47dbdfc02e14/10396_2023_1374_Fig17_HTML.jpg
https://cdn.ncbi.nlm.nih.gov/pmc/blobs/1291/10937765/2b33807dac94/10396_2023_1374_Fig18_HTML.jpg
https://cdn.ncbi.nlm.nih.gov/pmc/blobs/1291/10937765/6fac0c8ff7fe/10396_2023_1374_Fig19_HTML.jpg
https://cdn.ncbi.nlm.nih.gov/pmc/blobs/1291/10937765/69aad462946a/10396_2023_1374_Fig1_HTML.jpg
https://cdn.ncbi.nlm.nih.gov/pmc/blobs/1291/10937765/42ad91b8377b/10396_2023_1374_Fig2_HTML.jpg
https://cdn.ncbi.nlm.nih.gov/pmc/blobs/1291/10937765/78dcaff560bd/10396_2023_1374_Fig3_HTML.jpg
https://cdn.ncbi.nlm.nih.gov/pmc/blobs/1291/10937765/e5231d480b5f/10396_2023_1374_Fig4_HTML.jpg
https://cdn.ncbi.nlm.nih.gov/pmc/blobs/1291/10937765/d972dfd9c703/10396_2023_1374_Fig5_HTML.jpg
https://cdn.ncbi.nlm.nih.gov/pmc/blobs/1291/10937765/0ff3470a36db/10396_2023_1374_Fig6_HTML.jpg
https://cdn.ncbi.nlm.nih.gov/pmc/blobs/1291/10937765/1504754df6cf/10396_2023_1374_Fig7_HTML.jpg
https://cdn.ncbi.nlm.nih.gov/pmc/blobs/1291/10937765/1246ea75288a/10396_2023_1374_Fig8_HTML.jpg
https://cdn.ncbi.nlm.nih.gov/pmc/blobs/1291/10937765/a21a650447dc/10396_2023_1374_Fig9_HTML.jpg
https://cdn.ncbi.nlm.nih.gov/pmc/blobs/1291/10937765/635d0c58e9f6/10396_2023_1374_Fig10_HTML.jpg
https://cdn.ncbi.nlm.nih.gov/pmc/blobs/1291/10937765/44b20a390e46/10396_2023_1374_Fig11_HTML.jpg
https://cdn.ncbi.nlm.nih.gov/pmc/blobs/1291/10937765/1bcc31b75066/10396_2023_1374_Fig12_HTML.jpg
https://cdn.ncbi.nlm.nih.gov/pmc/blobs/1291/10937765/02cee7754a6b/10396_2023_1374_Fig13_HTML.jpg
https://cdn.ncbi.nlm.nih.gov/pmc/blobs/1291/10937765/080036db8714/10396_2023_1374_Fig14_HTML.jpg
https://cdn.ncbi.nlm.nih.gov/pmc/blobs/1291/10937765/d0e46f570ba8/10396_2023_1374_Fig15_HTML.jpg
https://cdn.ncbi.nlm.nih.gov/pmc/blobs/1291/10937765/b61bc4d5cbb1/10396_2023_1374_Fig16_HTML.jpg
https://cdn.ncbi.nlm.nih.gov/pmc/blobs/1291/10937765/47dbdfc02e14/10396_2023_1374_Fig17_HTML.jpg
https://cdn.ncbi.nlm.nih.gov/pmc/blobs/1291/10937765/2b33807dac94/10396_2023_1374_Fig18_HTML.jpg
https://cdn.ncbi.nlm.nih.gov/pmc/blobs/1291/10937765/6fac0c8ff7fe/10396_2023_1374_Fig19_HTML.jpg

相似文献

1
Point-of-care ultrasonography for the diagnosis and manual detorsion of testicular torsion.床旁超声在诊断和手法复位睾丸扭转中的应用。
J Med Ultrason (2001). 2024 Jan;51(1):59-70. doi: 10.1007/s10396-023-01374-z. Epub 2023 Oct 20.
2
Role of ultrasound in manual detorsion for testicular torsion.超声在睾丸扭转手法复位中的作用。
J Clin Ultrasound. 2021 Oct;49(8):860-869. doi: 10.1002/jcu.23039. Epub 2021 Jul 8.
3
Successful Outcome of Manual Testicular Detorsion Using Point-of-Care Ultrasound Guidance: A Clinical Experience.经即时超声引导的手法复位治疗睾丸扭转的成功经验。
Pediatr Emerg Care. 2023 Oct 1;39(10):813-815. doi: 10.1097/PEC.0000000000003048. Epub 2023 Sep 4.
4
Sonographic differential diagnosis of acute scrotum: real-time whirlpool sign, a key sign of torsion.急性阴囊的超声鉴别诊断:实时漩涡征,扭转的关键征象。
J Ultrasound Med. 2006 May;25(5):563-74. doi: 10.7863/jum.2006.25.5.563.
5
Preoperative manual detorsion of the spermatic cord with Doppler ultrasound monitoring in patients with intravaginal acute testicular torsion.经阴道内急性睾丸扭转患者术前在多普勒超声监测下手动扭转精索
Pediatr Radiol. 2000 Jan;30(1):41-4. doi: 10.1007/s002470050012.
6
Diagnostic Accuracy of Ultrasound for the Directionality of Testicular Rotation and the Degree of Spermatic Cord Twist in Pediatric Patients With Testicular Torsion.超声对小儿睾丸扭转睾丸旋转方向和精索扭转程度的诊断准确性。
J Ultrasound Med. 2020 Jan;39(1):119-126. doi: 10.1002/jum.15084. Epub 2019 Jul 3.
7
Manual detorsion in testicular torsion: 5 years of experience at a single center.手法复位治疗睾丸扭转:单中心 5 年经验。
J Pediatr Surg. 2020 Dec;55(12):2728-2731. doi: 10.1016/j.jpedsurg.2020.02.026. Epub 2020 Feb 24.
8
Differential Diagnosis of Acute Scrotum in Childhood and Adolescence with High-Resolution Duplex Sonography.小儿与青少年急性阴囊的高分辨率双功能超声鉴别诊断。
Ultraschall Med. 2021 Feb;42(1):10-38. doi: 10.1055/a-1325-1834. Epub 2021 Feb 2.
9
Testicular torsion-detorsion and potential therapeutic treatments: A possible role for ischemic postconditioning.睾丸扭转-复位及潜在治疗方法:缺血后适应的可能作用
Int J Urol. 2016 Jun;23(6):454-63. doi: 10.1111/iju.13110. Epub 2016 May 23.
10
Testicular volume loss in the long-term follow-up after surgical detorsion of the testis.睾丸手术扭转复位术后长期随访中的睾丸体积丢失
Pediatr Surg Int. 2022 Jun;38(6):907-911. doi: 10.1007/s00383-022-05118-x. Epub 2022 Apr 2.

引用本文的文献

1
Testicular torsion after laparoscopic appendectomy: salvage by spermatic cord heparin flush and testicular decompression - a case report and literature review.腹腔镜阑尾切除术后睾丸扭转:通过精索肝素冲洗和睾丸减压挽救——病例报告及文献综述
BMC Pediatr. 2025 Jul 2;25(1):521. doi: 10.1186/s12887-025-05882-4.
2
Testicular ultrasound: an emergency medicine perspective.睾丸超声检查:急诊医学视角
Intern Emerg Med. 2025 Jun;20(4):1153-1163. doi: 10.1007/s11739-025-03864-z. Epub 2025 Mar 18.
3
Differences in Clinical Outcomes and Patients' Characteristics Between Childhood and Adolescent Testicular Torsion.

本文引用的文献

1
Prediction of testicular atrophy based on sonographic findings immediately after successful manual detorsion.基于手法复位成功后即刻的超声检查结果预测睾丸萎缩
Australas J Ultrasound Med. 2022 Oct 20;26(1):26-33. doi: 10.1002/ajum.12325. eCollection 2023 Feb.
2
Real-time Point-of-care Ultrasound for the Diagnosis and Treatment of Testicular Torsion.用于睾丸扭转诊断和治疗的即时现场实时超声检查
POCUS J. 2021 Nov 23;6(2):70-72. doi: 10.24908/pocus.v6i2.15186. eCollection 2021.
3
Testicular torsion in neonates.新生儿睾丸扭转
儿童与青少年睾丸扭转的临床结局及患者特征差异
Cureus. 2024 Dec 6;16(12):e75245. doi: 10.7759/cureus.75245. eCollection 2024 Dec.
4
Testicular Torsion with Intact Blood Flow: A Point of Care Ultrasound Case-Series.血流完整的睾丸扭转:床旁超声病例系列
POCUS J. 2024 Apr 22;9(1):55-59. doi: 10.24908/pocus.v9i1.17201. eCollection 2024.
Minerva Pediatr (Torino). 2023 Jun;75(3):432-433. doi: 10.23736/S2724-5276.23.07168-9. Epub 2023 Feb 9.
4
Perinatal Testicular Torsion in Northern Ireland: A Nationwide 10-Year Review.北爱尔兰围产期睾丸扭转:一项为期10年的全国性回顾
Eur J Pediatr Surg. 2023 Jun;33(3):249-253. doi: 10.1055/s-0042-1757189. Epub 2022 Oct 21.
5
Ultrasonographical features of perinatal testicular torsion: an assessment of interobserver variability among radiologists and pediatric urologists.围产期睾丸扭转的超声特征:放射科医生和小儿泌尿科医生之间观察者间变异的评估。
Pediatr Surg Int. 2022 Dec;38(12):2053-2058. doi: 10.1007/s00383-022-05260-6. Epub 2022 Oct 20.
6
Pearls and Pitfalls of Pediatric Scrotal Imaging.小儿阴囊成像的要点与陷阱。
Semin Ultrasound CT MR. 2022 Feb;43(1):115-129. doi: 10.1053/j.sult.2021.05.011. Epub 2021 May 16.
7
Vascular flow to predict testicular compartment syndrome after manual detorsion.通过血管血流预测手法复位后睾丸间隔综合征
Pediatr Int. 2022 Jan;64(1):e14974. doi: 10.1111/ped.14974.
8
Neonatal testicular torsion.新生儿睾丸扭转。
Afr J Paediatr Surg. 2022 Jan-Mar;19(1):1-4. doi: 10.4103/ajps.AJPS_153_20.
9
Perinatal testicular torsion: The clear cut, the controversial, and the "quiet" scenarios.围生期睾丸扭转:泾渭分明、争议不断、“悄无声息”的场景。
J Pediatr Surg. 2022 Oct;57(10):288-297. doi: 10.1016/j.jpedsurg.2021.10.003. Epub 2021 Oct 10.
10
Role of ultrasound in manual detorsion for testicular torsion.超声在睾丸扭转手法复位中的作用。
J Clin Ultrasound. 2021 Oct;49(8):860-869. doi: 10.1002/jcu.23039. Epub 2021 Jul 8.