Suppr超能文献

终末期肾病中伐昔洛韦相关神经毒性的病例报告:一种罕见但可预防的副作用

A Case Report of Valacyclovir-Associated Neurotoxicity in End-Stage Renal Disease: A Rare but Preventable Side Effect.

作者信息

Bo Amber Y, Li Xin Ran, Kaur Balpreet

机构信息

Internal Medicine, Medical College of Wisconsin, Milwaukee, USA.

出版信息

Cureus. 2023 Sep 21;15(9):e45737. doi: 10.7759/cureus.45737. eCollection 2023 Sep.

Abstract

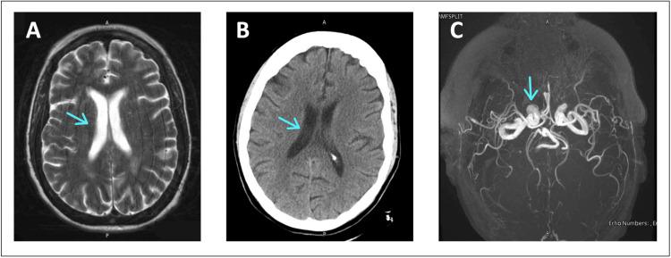
Neurotoxicity can develop as a side effect of valacyclovir in patients with renal disease, especially without a renally adjusted dose. We present a 56-year-old female with end-stage renal disease (ESRD) on hemodialysis (HD) who presented to the emergency room (ER) with agitation and confusion and was found to have valacyclovir-associated neurotoxicity (VAN). Five days prior, she had been prescribed the standard treatment of 500 mg valacyclovir twice daily for three days for herpes simplex virus-1 (HSV-1); however, her creatinine clearance was low enough to require a renally adjusted dose. Her condition was worsened from missing a dialysis session due to acute confusion. She was treated with three days of hemodialysis sessions. Improvement in mentation and agitation was observed after the second day of hemodialysis, and a complete resolution of symptoms and return to cognitive baseline occurred two days later. There are reports of daily hemodialysis shortening the neurotoxicity period and resulting in a faster return to normal mentation. This case is important as the dose of valacyclovir must be adjusted in those with kidney disease.

摘要

神经毒性可能作为伐昔洛韦的副作用在肾病患者中出现,尤其是在未进行肾脏剂量调整的情况下。我们报告一例56岁终末期肾病(ESRD)女性患者,正在接受血液透析(HD),因烦躁和意识模糊就诊于急诊室(ER),被发现患有伐昔洛韦相关性神经毒性(VAN)。五天前,她因单纯疱疹病毒-1(HSV-1)感染,按标准治疗方案服用伐昔洛韦500mg,每日两次,共三天;然而,她的肌酐清除率低到需要进行肾脏剂量调整。由于急性意识模糊导致她错过一次透析治疗,病情加重。她接受了三天的血液透析治疗。血液透析第二天后,精神状态和烦躁情况有所改善,两天后症状完全缓解并恢复到认知基线水平。有报道称每日血液透析可缩短神经毒性期并使精神状态更快恢复正常。该病例很重要,因为肾病患者必须调整伐昔洛韦的剂量。

https://cdn.ncbi.nlm.nih.gov/pmc/blobs/6aa2/10590280/0d1a3938e854/cureus-0015-00000045737-i01.jpg

文献AI研究员

20分钟写一篇综述,助力文献阅读效率提升50倍。

立即体验

用中文搜PubMed

大模型驱动的PubMed中文搜索引擎

马上搜索

文档翻译

学术文献翻译模型,支持多种主流文档格式。

立即体验