• 文献检索
  • 文档翻译
  • 深度研究
  • 学术资讯
  • Suppr Zotero 插件Zotero 插件
  • 邀请有礼
  • 套餐&价格
  • 历史记录
应用&插件
Suppr Zotero 插件Zotero 插件浏览器插件Mac 客户端Windows 客户端微信小程序
定价
高级版会员购买积分包购买API积分包
服务
文献检索文档翻译深度研究API 文档MCP 服务
关于我们
关于 Suppr公司介绍联系我们用户协议隐私条款
关注我们

Suppr 超能文献

核心技术专利:CN118964589B侵权必究
粤ICP备2023148730 号-1Suppr @ 2026

文献检索

告别复杂PubMed语法,用中文像聊天一样搜索,搜遍4000万医学文献。AI智能推荐,让科研检索更轻松。

立即免费搜索

文件翻译

保留排版,准确专业,支持PDF/Word/PPT等文件格式,支持 12+语言互译。

免费翻译文档

深度研究

AI帮你快速写综述,25分钟生成高质量综述,智能提取关键信息,辅助科研写作。

立即免费体验

一名腹膜透析患者出现伐昔洛韦毒性和假性球麻痹的罕见病例。

A Unique Case of Valacyclovir Toxicity and Pseudobulbar Affect in a Patient On Peritoneal Dialysis.

作者信息

Memon Waqas, Rose Emily K, Akram Ayesha, Simba Brian

机构信息

Internal Medicine/Nephrology, Virginia Commonwealth University, Richmond, USA.

Internal Medicine, Virginia Commonwealth University, Richmond, USA.

出版信息

Cureus. 2021 Feb 22;13(2):e13494. doi: 10.7759/cureus.13494.

DOI:10.7759/cureus.13494
PMID:33777579
原文链接:https://pmc.ncbi.nlm.nih.gov/articles/PMC7990347/
Abstract

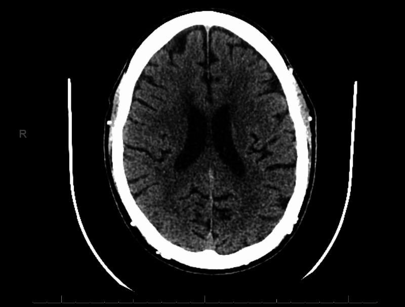
There are a few cases of valacyclovir-associated neurotoxicity (VAN) reported. This case report documents a case of a 55-year-old male presenting with emotional lability or pseudobulbar affect as the predominant or sole manifestation of VAN. A failure to adjust valacyclovir's dose for herpes simplex infection in the setting of dialysis-dependent end-stage renal disease (ESRD) preceded VAN in this patient. The patient presented with involuntary and uncontrollable outbursts of emotion. Computerized tomography (CT) scan identified no underlying cause. A complete neurological examination with cognitive assessment was performed, with no abnormalities. He benefited from the use of aggressive peritoneal dialysis (PD) that was employed to enhance valacyclovir's clearance in this case of intractable VAN. On discharge, the patient was back to baseline mental function. Traumatic brain injury, neoplasm, vascular lesions, metabolic abnormality, neurological disease, herpetic encephalitis, and disorders of mood were ruled out. This led to the hypothesis of encephalopathy due to valacyclovir intoxication. Given that the clinical manifestations were related to ESRD, a dose-adjustment of valacyclovir is imperative in the setting of ESRD to prevent VAN. Our case presents important clinical variations. Firstly, our patient demonstrates that VAN may present with no focal neurological impairment, but pseudobulbar affect. Secondly, aggressive PD was useful in this case for the treatment of VAN as opposed to hemodialysis. We believe that it cleared valacyclovir resulting in the resolution of symptoms.

摘要

有几例关于伐昔洛韦相关神经毒性(VAN)的报道。本病例报告记录了一名55岁男性患者,其以情绪不稳定或假性延髓麻痹为VAN的主要或唯一表现。在该患者中,VAN发生之前,在依赖透析的终末期肾病(ESRD)情况下,未针对单纯疱疹感染调整伐昔洛韦剂量。患者出现不由自主且无法控制的情绪爆发。计算机断层扫描(CT)未发现潜在病因。进行了包括认知评估在内的全面神经系统检查,未发现异常。在这例难治性VAN中,积极的腹膜透析(PD)用于提高伐昔洛韦清除率,患者从中受益。出院时,患者精神功能恢复至基线水平。排除了创伤性脑损伤、肿瘤、血管病变、代谢异常、神经系统疾病、疱疹性脑炎和情绪障碍。由此提出了伐昔洛韦中毒性脑病的假说。鉴于临床表现与ESRD相关,在ESRD情况下必须调整伐昔洛韦剂量以预防VAN。我们的病例呈现出重要的临床差异。首先,我们的患者表明VAN可能不伴有局灶性神经功能损害,而是表现为假性延髓麻痹。其次,与血液透析不同,积极的PD在本病例中对治疗VAN有用。我们认为它清除了伐昔洛韦,从而使症状得到缓解。

https://cdn.ncbi.nlm.nih.gov/pmc/blobs/4d1c/7990347/875e22826733/cureus-0013-00000013494-i01.jpg
https://cdn.ncbi.nlm.nih.gov/pmc/blobs/4d1c/7990347/875e22826733/cureus-0013-00000013494-i01.jpg
https://cdn.ncbi.nlm.nih.gov/pmc/blobs/4d1c/7990347/875e22826733/cureus-0013-00000013494-i01.jpg

相似文献

1
A Unique Case of Valacyclovir Toxicity and Pseudobulbar Affect in a Patient On Peritoneal Dialysis.一名腹膜透析患者出现伐昔洛韦毒性和假性球麻痹的罕见病例。
Cureus. 2021 Feb 22;13(2):e13494. doi: 10.7759/cureus.13494.
2
Valacyclovir-associated neurotoxicity among patients on hemodialysis and peritoneal dialysis: A nationwide population-based study.血液透析和腹膜透析患者中伐昔洛韦相关神经毒性:一项基于全国人群的研究。
Front Med (Lausanne). 2022 Sep 20;9:997379. doi: 10.3389/fmed.2022.997379. eCollection 2022.
3
A Case Report of Valacyclovir-Associated Neurotoxicity in End-Stage Renal Disease: A Rare but Preventable Side Effect.终末期肾病中伐昔洛韦相关神经毒性的病例报告:一种罕见但可预防的副作用
Cureus. 2023 Sep 21;15(9):e45737. doi: 10.7759/cureus.45737. eCollection 2023 Sep.
4
Valacyclovir Neurotoxicity in Patients with End-Stage Renal Disease: Two Cases Reviewed.终末期肾病患者伐昔洛韦神经毒性:两例病例分析。
J Pharm Pract. 2024 Feb;37(1):248-251. doi: 10.1177/08971900221127061. Epub 2022 Sep 13.
5
Valacyclovir-associated neurotoxicity treated with intensification of peritoneal dialysis.通过强化腹膜透析治疗与伐昔洛韦相关的神经毒性。
BMJ Case Rep. 2017 Jul 31;2017:bcr-2017-220678. doi: 10.1136/bcr-2017-220678.
6
[Neurotoxicity of valacyclovir in a peritoneal dialysis patient].[一名腹膜透析患者中伐昔洛韦的神经毒性]
Hinyokika Kiyo. 2010 Nov;56(11):617-9.
7
Valacyclovir-induced psychosis and manic symptoms in an adolescent young woman with genital herpes simplex.伐昔洛韦诱发一名患有单纯性生殖器疱疹的青春期年轻女性出现精神病和躁狂症状。
Psychosomatics. 2009 May-Jun;50(3):293-6. doi: 10.1176/appi.psy.50.3.293.
8
Neurotoxicity of valacyclovir in peritoneal dialysis: a pharmacokinetic study.伐昔洛韦在腹膜透析中的神经毒性:一项药代动力学研究。
Am J Nephrol. 2001 Mar-Apr;21(2):162-4. doi: 10.1159/000046241.
9
Peritoneal dialysis is the therapy of choice for end-stage renal disease patients with hereditary clotting disorders.腹膜透析是患有遗传性凝血障碍的终末期肾病患者的首选治疗方法。
Adv Perit Dial. 2000;16:170-3.
10
Concurrent Nephrotoxicity and Neurotoxicity Induced by Oral Valacyclovir in a Patient With Previously Normal Kidney Function.口服伐昔洛韦对一名既往肾功能正常患者并发肾毒性和神经毒性的影响
Cureus. 2022 Mar 31;14(3):e23693. doi: 10.7759/cureus.23693. eCollection 2022 Mar.

引用本文的文献

1
A Dose Too Far: Valacyclovir's Surprising Side Effect.用药过量:伐昔洛韦惊人的副作用。
Cureus. 2025 May 20;17(5):e84500. doi: 10.7759/cureus.84500. eCollection 2025 May.
2
Estimating Risks of Central Nervous System Disturbance Associated with Medications for Herpes Zoster: Findings from a Regional Population-Based Cohort Study Using the Shizuoka Kokuho Database.评估带状疱疹药物相关的中枢神经系统紊乱风险:基于静冈国保数据库的区域人群队列研究结果
Drugs Real World Outcomes. 2025 Jun 16. doi: 10.1007/s40801-025-00500-2.
3
A Case Report of Valacyclovir-Associated Neurotoxicity in End-Stage Renal Disease: A Rare but Preventable Side Effect.

本文引用的文献

1
The epidemiology and pathophysiology of pseudobulbar affect and its association with neurodegeneration.假性球麻痹的流行病学、病理生理学及其与神经退行性变的关联。
Degener Neurol Neuromuscul Dis. 2013 May 27;3:23-31. doi: 10.2147/DNND.S34160. eCollection 2013.
2
When a Seemingly Harmless Prescription Turns into Toxicity.当看似无害的处方变成毒性时。
Case Rep Med. 2018 Sep 16;2018:9724390. doi: 10.1155/2018/9724390. eCollection 2018.
3
Valacyclovir-associated neurotoxicity treated with intensification of peritoneal dialysis.
终末期肾病中伐昔洛韦相关神经毒性的病例报告:一种罕见但可预防的副作用
Cureus. 2023 Sep 21;15(9):e45737. doi: 10.7759/cureus.45737. eCollection 2023 Sep.
4
Neurotoxicity Secondary to Valacyclovir.伐昔洛韦继发的神经毒性
J Pharm Technol. 2022 Aug;38(4):251-252. doi: 10.1177/87551225221098878. Epub 2022 Jun 6.
通过强化腹膜透析治疗与伐昔洛韦相关的神经毒性。
BMJ Case Rep. 2017 Jul 31;2017:bcr-2017-220678. doi: 10.1136/bcr-2017-220678.
4
Case files of the Harvard medical toxicology fellowship: valacyclovir neurotoxicity and unintentional overdose.哈佛医学毒理学 fellowship 的病例档案:伐昔洛韦神经毒性与意外过量用药。
J Med Toxicol. 2015 Mar;11(1):132-6. doi: 10.1007/s13181-014-0457-5.
5
Intensification of peritoneal dialysis improves valacyclovir neurotoxicity.强化腹膜透析可改善伐昔洛韦的神经毒性。
Ren Fail. 2013;35(2):289-90. doi: 10.3109/0886022X.2012.743914. Epub 2012 Nov 26.
6
[Neurotoxicity of valacyclovir in a peritoneal dialysis patient].[一名腹膜透析患者中伐昔洛韦的神经毒性]
Hinyokika Kiyo. 2010 Nov;56(11):617-9.
7
Valacyclovir neurotoxicity can be effectively managed by hemodialysis.伐昔洛韦神经毒性可通过血液透析有效控制。
Eur J Neurol. 2011 Mar;18(3):e33. doi: 10.1111/j.1468-1331.2010.03250.x. Epub 2010 Nov 18.
8
Valacyclovir neurotoxicity: clinical experience and review of the literature.伐昔洛韦的神经毒性:临床经验及文献综述
Eur J Neurol. 2009 Apr;16(4):457-60. doi: 10.1111/j.1468-1331.2008.02527.x.
9
Evaluation of valaciclovir dosage reduction in continuous ambulatory peritoneal dialysis patients.持续非卧床腹膜透析患者中伐昔洛韦剂量减少的评估
Nephron. 2002 May;91(1):164-6. doi: 10.1159/000057621.
10
Neurotoxicity of valacyclovir in peritoneal dialysis: a pharmacokinetic study.伐昔洛韦在腹膜透析中的神经毒性:一项药代动力学研究。
Am J Nephrol. 2001 Mar-Apr;21(2):162-4. doi: 10.1159/000046241.