Suppr超能文献

长型与短型双螺旋一体化股骨近端髓内钉(InterTAN)治疗印度人髋部粗隆间骨折的手术疗效比较

Long Versus Short Twin-Screw Integrated Cephalomedullary Nail (InterTAN) for the Surgical Management of Intertrochanteric Fractures of the Hip in Indians.

作者信息

S Siva Mahesh, Gupta Nirav R, Soraganvi Prasad

机构信息

Department of Orthopaedics, St. Peter's Medical College, Hospital and Research Institute, Hosur, IND.

出版信息

Cureus. 2023 Sep 25;15(9):e45942. doi: 10.7759/cureus.45942. eCollection 2023 Sep.

Abstract

INTRODUCTION

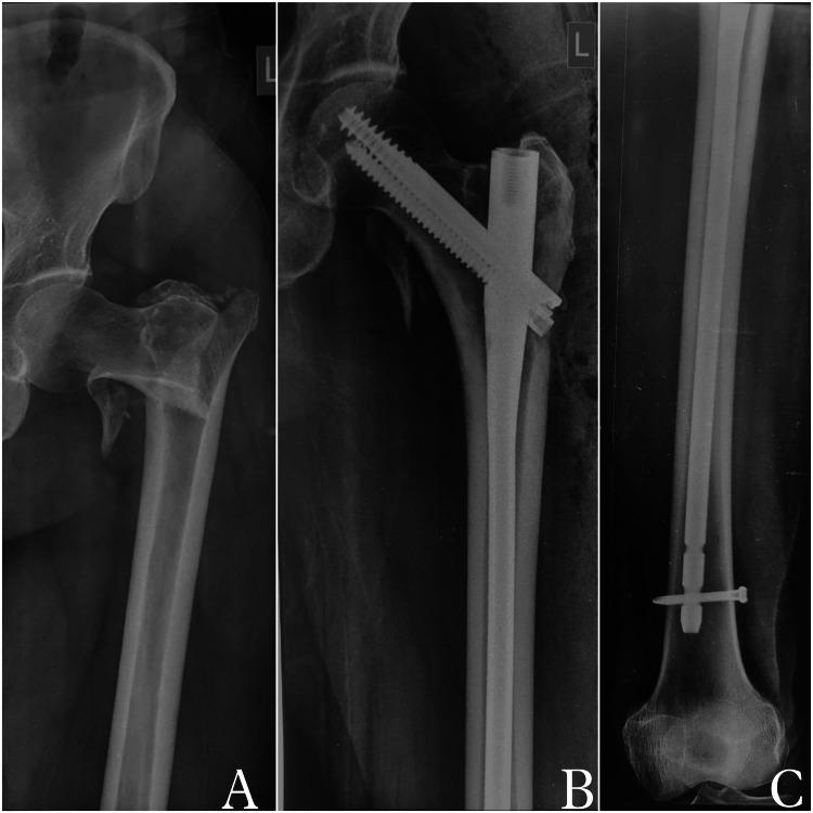
With an increasing life expectancy, there has been an increase in the incidence of intertrochanteric fractures. These fractures in the elderly are disabling and have a tremendous impact on the healthcare system. Despite substantial improvements in implant design and surgical techniques, high failure rates have been observed, varying with the severity of the fracture and the type of fixation. Intramedullary nails have become popular in recent times, especially in unstable fractures. The purpose of the present study is to compare the functional outcomes and complications of long versus short InterTAN cephalomedullary nails (Smith & Nephew, Memphis, Tennessee) used for intertrochanteric fracture fixation.

MATERIALS AND METHODS

All patients who had intertrochanteric fractures classifiable as AO OTA (Arbeitsgemeinschaft für Osteosynthesefragen/Orthopaedic Trauma Association) 31-A and were treated with either a short InterTAN nail (SIN) or long InterTAN nail (LIN) between March 2017 and March 2020 were retrospectively assessed. AO subtype A1 fractures are considered to be stable whereas subtype A3 fractures are considered unstable. The stability of subtype A2 fractures is variable depending on the amount of posteromedial comminution. Both stable and unstable fractures were included. Patients aged above 18 years, who had a normal pre-injury gait and were operated on within seven days of trauma as per the records were included in the study. Postoperatively, functional outcome recorded using the modified Harris hip score (mHHS) was compared. The minimum follow-up period was 24 months.

RESULTS

A total of 89 patients fulfilling the inclusion criteria were included. The mean age was 67.5 ± 8.92 years. Of the patients, 72% were above 60 years of age and 68% of those were females. The mean follow-up period was 31 months (range: 24-54 months). Of the patients, 84.27% sustained fractures after a trivial trauma due to slip and fall at home. All fractures had united at nine to 12 months, except one had a screw cut-out, which required revision surgery. The mean mHHS at three months and nine to 12 months postoperatively was 42.46 ± 3.62 and 87.24 ± 6.44, respectively. The patients who were treated with LIN had a significantly better functional outcome at three-month follow-up (p-value < 0.05); however, post one year, this effect plateaued and no significant difference was seen when comparing SIN with LIN. The results also showed that there was no significant difference in complications among SIN and LIN.

CONCLUSION

Both LIN and SIN are equally effective for the surgical management of intertrochanteric fractures, and have similar functional outcomes. SIN, however, has shorter surgical procedure time and lesser estimated blood loss. LIN allowed in early recovery evidenced by better Harris hip scores at three months duration, thus improving the quality of life in the initial months post surgery. The choice of implant should be individualized according to fracture anatomy, patients' needs and expectations, and surgeons' expertise.

摘要

引言

随着预期寿命的增加,股骨转子间骨折的发病率也在上升。老年人的这些骨折会导致残疾,并对医疗系统产生巨大影响。尽管植入物设计和手术技术有了显著改进,但仍观察到较高的失败率,其因骨折严重程度和固定类型而异。近年来,髓内钉已变得流行,尤其是在不稳定骨折中。本研究的目的是比较用于股骨转子间骨折固定的长InterTAN髓内钉与短InterTAN髓内钉(史赛克公司,田纳西州孟菲斯)的功能结果和并发症。

材料与方法

回顾性评估2017年3月至2020年3月期间所有可分类为AO OTA(骨科学会/骨科创伤协会)31 - A型的股骨转子间骨折患者,这些患者接受了短InterTAN钉(SIN)或长InterTAN钉(LIN)治疗。AO A1亚型骨折被认为是稳定的,而A3亚型骨折被认为是不稳定的。A2亚型骨折的稳定性因后内侧粉碎程度而异。稳定和不稳定骨折均纳入研究。年龄在18岁以上、伤前步态正常且根据记录在创伤后7天内接受手术的患者纳入本研究。术后,比较使用改良Harris髋关节评分(mHHS)记录的功能结果。最短随访期为24个月。

结果

共有89例符合纳入标准的患者被纳入。平均年龄为67.5±8.92岁。患者中,72%年龄在60岁以上,其中68%为女性。平均随访期为31个月(范围:24 - 54个月)。患者中,84.27%因在家中滑倒等轻微创伤而发生骨折。除1例出现螺钉穿出需要翻修手术外,所有骨折均在9至12个月时愈合。术后3个月和9至12个月时的平均mHHS分别为42.46±3.62和87.24±6.44。接受LIN治疗的患者在3个月随访时功能结果明显更好(p值<0.05);然而,1年后,这种效果趋于平稳,比较SIN和LIN时未发现显著差异。结果还表明,SIN和LIN在并发症方面无显著差异。

结论

LIN和SIN在股骨转子间骨折的手术治疗中同样有效,且功能结果相似。然而,SIN手术时间较短,估计失血量较少。LIN在3个月时Harris髋关节评分更好,表明早期恢复良好,从而改善了术后最初几个月的生活质量。应根据骨折解剖结构、患者需求和期望以及外科医生的专业知识对植入物进行个体化选择。

https://cdn.ncbi.nlm.nih.gov/pmc/blobs/1128/10599599/a3b4a583996f/cureus-0015-00000045942-i01.jpg

文献AI研究员

20分钟写一篇综述,助力文献阅读效率提升50倍。

立即体验

用中文搜PubMed

大模型驱动的PubMed中文搜索引擎

马上搜索

文档翻译

学术文献翻译模型,支持多种主流文档格式。

立即体验