Suppr超能文献

卡培他滨诱导的局部晚期直肠癌新辅助盆腔放化疗后回肠炎:病例报告并文献复习。

Capecitabine-Induced Ileitis during Neoadjuvant Pelvic Radio-Chemotherapy for Locally Advanced Rectal Cancer: A Case Report with Literature Review.

机构信息

Division of Radiation Oncology, University Hospital "Maggiore della Carità", 28100 Novara, Italy.

Department of Translational Medicine, University of the Eastern Piedmont, 28100 Novara, Italy.

出版信息

Curr Oncol. 2023 Oct 10;30(10):9063-9077. doi: 10.3390/curroncol30100655.

Abstract

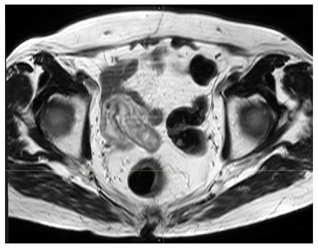
We report on a clinical case of capecitabine-induced acute ileitis in a patient treated with pre-operative concurrent chemoradiation with capecitabine for locally advanced rectal cancer and provide a comprehensive literature review. This a rare, but life-threatening, clinical situation, that clinicians should be aware of. Severe persistent diarrhea is the most frequent clinical feature and computed tomography is a valid tool for diagnosis. Conservative management includes capecitabine withdrawal, antidiarrheal therapy and endovenous hydration, together with dietary modifications and broad-spectrum antibiotics. Pelvic irradiation represents an adjunctive risk factor, which may increase the likelihood of occurrence of terminal ileitis. Early recognition and prompt intervention are crucial for successful clinical management.

摘要

我们报告了一例卡培他滨诱导的急性回肠炎的临床病例,该患者接受了术前同期放化疗(卡培他滨)治疗局部晚期直肠癌,并进行了全面的文献复习。这是一种罕见但危及生命的临床情况,临床医生应该意识到。严重持续的腹泻是最常见的临床特征,计算机断层扫描是一种有效的诊断工具。保守治疗包括卡培他滨停药、止泻治疗和静脉补液,同时进行饮食调整和使用广谱抗生素。盆腔放疗是一个附加的危险因素,可能增加末端回肠炎发生的可能性。早期识别和及时干预对于成功的临床管理至关重要。

https://cdn.ncbi.nlm.nih.gov/pmc/blobs/b84e/10605187/8547c5ecfd20/curroncol-30-00655-g001.jpg

文献AI研究员

20分钟写一篇综述,助力文献阅读效率提升50倍。

立即体验

用中文搜PubMed

大模型驱动的PubMed中文搜索引擎

马上搜索

文档翻译

学术文献翻译模型,支持多种主流文档格式。

立即体验