• 文献检索
  • 文档翻译
  • 深度研究
  • 学术资讯
  • Suppr Zotero 插件Zotero 插件
  • 邀请有礼
  • 套餐&价格
  • 历史记录
应用&插件
Suppr Zotero 插件Zotero 插件浏览器插件Mac 客户端Windows 客户端微信小程序
定价
高级版会员购买积分包购买API积分包
服务
文献检索文档翻译深度研究API 文档MCP 服务
关于我们
关于 Suppr公司介绍联系我们用户协议隐私条款
关注我们

Suppr 超能文献

核心技术专利:CN118964589B侵权必究
粤ICP备2023148730 号-1Suppr @ 2026

文献检索

告别复杂PubMed语法,用中文像聊天一样搜索,搜遍4000万医学文献。AI智能推荐,让科研检索更轻松。

立即免费搜索

文件翻译

保留排版,准确专业,支持PDF/Word/PPT等文件格式,支持 12+语言互译。

免费翻译文档

深度研究

AI帮你快速写综述,25分钟生成高质量综述,智能提取关键信息,辅助科研写作。

立即免费体验

对黑刺尾鬣蜥()血液寄生虫的重新评估,首次对新种进行病理学和分子特征描述并重新描述。 (原文中“n. sp.”和“.”处信息不完整,可能影响准确理解,但按要求完整翻译了现有内容)

Reevaluation of Hemoparasites in the Black Spiny-Tailed Iguana () with the First Pathological and Molecular Characterizations of n. sp. and Redescription of .

作者信息

Chang Yen-Chi, Lin Tai-Shen, Huang Wei-Wen, Lee Hung-Yi, Shih Cheng-Hsin, Wu Ying-Chen, Huang Chiu-Chen, Chen Ter-Hsin

机构信息

Graduate Institute of Veterinary Pathobiology, National Chung Hsing University, Taichung 40227, Taiwan.

Department of Post-Baccalaureate Veterinary Medicine, Asia University, Taichung 41354, Taiwan.

出版信息

Microorganisms. 2023 Sep 22;11(10):2374. doi: 10.3390/microorganisms11102374.

DOI:10.3390/microorganisms11102374
PMID:37894032
原文链接:https://pmc.ncbi.nlm.nih.gov/articles/PMC10609578/
Abstract

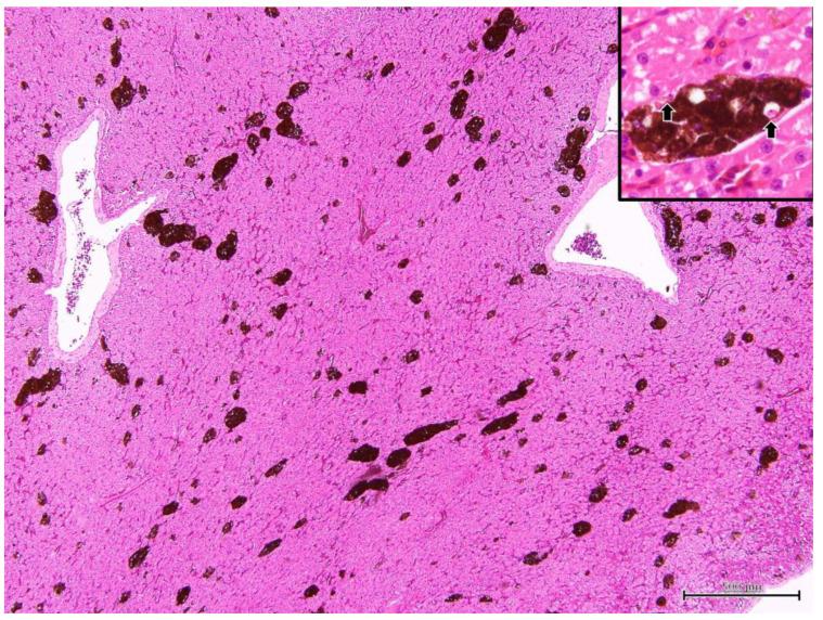
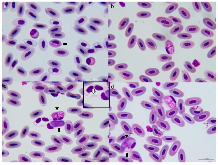
Hemoprotozoa are microorganisms that parasitize the blood and possess intricate life cycles. Despite the complexity of their nature, little is known about the biology of hemoprotozoa in reptilian hosts. In this study, we conducted disease surveillance on blood samples collected from six black spiny-tailed iguanas () exhibiting clinical signs. We found two different types of hemoparasites in the blood films and further confirmed they belong to the genera and through molecular methods. In the tissue section from a dead iguana infected only with sp., parasites were also found in melanomacrophages of the liver and kidney. Since sp. infection has not been reported in , we propose this hemococcidian as a new species, n. sp. The parasites discovered in this study were classified as based on their morphological characteristics, particularly the notable deformation of all infected erythrocytes, and this classification was further corroborated through molecular biological and phylogenetic analyses. This is the first hemoprotozoa investigation in with pathological and molecular characterization of these pathogens. We suggest that more studies are needed to understand the epidemiology, transmission, and impact of these parasites on their hosts and ecosystems.

摘要

血原虫是寄生于血液且具有复杂生命周期的微生物。尽管其本质复杂,但关于血原虫在爬行动物宿主中的生物学特性却知之甚少。在本研究中,我们对从六只出现临床症状的黑刺尾鬣蜥采集的血液样本进行了疾病监测。我们在血涂片上发现了两种不同类型的血液寄生虫,并通过分子方法进一步证实它们分别属于 和 属。在一只仅感染 sp. 的死亡鬣蜥的组织切片中,在肝脏和肾脏的黑色素巨噬细胞中也发现了寄生虫。由于 sp. 感染在 中尚未见报道,我们将这种血球菌提议为一个新物种,即 n. sp.。本研究中发现的 寄生虫根据其形态特征,特别是所有受感染红细胞的显著变形,被归类为 ,并且通过分子生物学和系统发育分析进一步证实了这一分类。这是首次对 进行血原虫调查,并对这些病原体进行病理学和分子特征分析。我们建议需要更多研究来了解这些寄生虫的流行病学、传播方式以及它们对宿主和生态系统的影响。

https://cdn.ncbi.nlm.nih.gov/pmc/blobs/b9fb/10609578/4147a26f5cdd/microorganisms-11-02374-g009.jpg
https://cdn.ncbi.nlm.nih.gov/pmc/blobs/b9fb/10609578/bed47670ee75/microorganisms-11-02374-g001.jpg
https://cdn.ncbi.nlm.nih.gov/pmc/blobs/b9fb/10609578/5c94f69ffb29/microorganisms-11-02374-g002.jpg
https://cdn.ncbi.nlm.nih.gov/pmc/blobs/b9fb/10609578/50a6abeb22b5/microorganisms-11-02374-g003.jpg
https://cdn.ncbi.nlm.nih.gov/pmc/blobs/b9fb/10609578/ca56fb113692/microorganisms-11-02374-g004.jpg
https://cdn.ncbi.nlm.nih.gov/pmc/blobs/b9fb/10609578/40515f3ac676/microorganisms-11-02374-g005.jpg
https://cdn.ncbi.nlm.nih.gov/pmc/blobs/b9fb/10609578/25aaf278b190/microorganisms-11-02374-g006.jpg
https://cdn.ncbi.nlm.nih.gov/pmc/blobs/b9fb/10609578/dd3e01e0ebbe/microorganisms-11-02374-g007.jpg
https://cdn.ncbi.nlm.nih.gov/pmc/blobs/b9fb/10609578/ae1f956f2738/microorganisms-11-02374-g008.jpg
https://cdn.ncbi.nlm.nih.gov/pmc/blobs/b9fb/10609578/4147a26f5cdd/microorganisms-11-02374-g009.jpg
https://cdn.ncbi.nlm.nih.gov/pmc/blobs/b9fb/10609578/bed47670ee75/microorganisms-11-02374-g001.jpg
https://cdn.ncbi.nlm.nih.gov/pmc/blobs/b9fb/10609578/5c94f69ffb29/microorganisms-11-02374-g002.jpg
https://cdn.ncbi.nlm.nih.gov/pmc/blobs/b9fb/10609578/50a6abeb22b5/microorganisms-11-02374-g003.jpg
https://cdn.ncbi.nlm.nih.gov/pmc/blobs/b9fb/10609578/ca56fb113692/microorganisms-11-02374-g004.jpg
https://cdn.ncbi.nlm.nih.gov/pmc/blobs/b9fb/10609578/40515f3ac676/microorganisms-11-02374-g005.jpg
https://cdn.ncbi.nlm.nih.gov/pmc/blobs/b9fb/10609578/25aaf278b190/microorganisms-11-02374-g006.jpg
https://cdn.ncbi.nlm.nih.gov/pmc/blobs/b9fb/10609578/dd3e01e0ebbe/microorganisms-11-02374-g007.jpg
https://cdn.ncbi.nlm.nih.gov/pmc/blobs/b9fb/10609578/ae1f956f2738/microorganisms-11-02374-g008.jpg
https://cdn.ncbi.nlm.nih.gov/pmc/blobs/b9fb/10609578/4147a26f5cdd/microorganisms-11-02374-g009.jpg

相似文献

1
Reevaluation of Hemoparasites in the Black Spiny-Tailed Iguana () with the First Pathological and Molecular Characterizations of n. sp. and Redescription of .对黑刺尾鬣蜥()血液寄生虫的重新评估,首次对新种进行病理学和分子特征描述并重新描述。 (原文中“n. sp.”和“.”处信息不完整,可能影响准确理解,但按要求完整翻译了现有内容)
Microorganisms. 2023 Sep 22;11(10):2374. doi: 10.3390/microorganisms11102374.
2
(Apicomplexa, Lankesterellidae) Blood Parasites of Passeriform Birds: Prevalence, Molecular and Morphological Characterization, with Notes on Sporozoite Persistence In Vivo and Development In Vitro.雀形目鸟类的(顶复门,兰氏血孢子虫科)血液寄生虫:患病率、分子和形态特征,以及关于子孢子在体内的持久性和体外发育的注释
Animals (Basel). 2021 May 18;11(5):1451. doi: 10.3390/ani11051451.
3
Searching Before It Is Too Late: A Survey of Blood Parasites in Ctenosaura melanosterna, a Critically Endangered Reptile of Honduras.趁为时未晚展开搜索:对洪都拉斯极度濒危爬行动物黑胸栉尾蜥血液寄生虫的调查
ISRN Parasitol. 2012 Nov 28;2013:495304. doi: 10.5402/2013/495304. eCollection 2013.
4
Isolation of Salmonella spp. from black spiny-tailed iguana (Ctenosaura similis) meat commercialised in markets of León city, Nicaragua.从尼加拉瓜莱昂市市场上商业化的黑刺尾鬣蜥(Ctenosaura similis)肉中分离出沙门氏菌属(Salmonella spp.)。
Vet Med Sci. 2022 Mar;8(2):695-699. doi: 10.1002/vms3.654. Epub 2021 Oct 6.
5
Morphological and molecular characteristics of hemoparasites in vaillant's frogs (Lithobates vaillanti).瓦氏蝾螈(Lithobates vaillanti)血液寄生虫的形态学和分子特征。
Parasitol Res. 2020 Jun;119(6):1891-1901. doi: 10.1007/s00436-020-06689-1. Epub 2020 May 8.
6
Identification of a novel splicing form of amelogenin gene in a reptile, Ctenosaura similis.在爬行动物 Ctenosaura similis 中鉴定出一种新型的釉原蛋白基因剪接形式。
PLoS One. 2012;7(9):e45871. doi: 10.1371/journal.pone.0045871. Epub 2012 Sep 24.
7
Phylogeography and Prevalence of Hemoparasites (Apicomplexa: Eucoccidiorida) in Galápagos Marine Iguanas, (Reptilia: Iguanidae).加拉帕戈斯海鬣蜥(爬行纲:鬣蜥科)血液寄生虫(顶复门:真球虫目)的系统地理学与流行情况
Animals (Basel). 2022 Apr 28;12(9):1142. doi: 10.3390/ani12091142.
8
Phylogenetic analyses reveal that Schellackia parasites (Apicomplexa) detected in American lizards are closely related to the genus Lankesterella: is the range of Schellackia restricted to the Old World?系统发育分析显示,在美洲蜥蜴中发现的 Schellackia 寄生虫(顶复门)与 Lankesterella 属密切相关:Schellackia 的分布范围是否仅限于旧世界?
Parasit Vectors. 2017 Oct 10;10(1):470. doi: 10.1186/s13071-017-2405-0.
9
Isolation and characterization of polymorphic microsatellite markers in the black spiny tailed iguana (Ctenosaura pectinata) and their cross-utility in other Ctenosaura.黑刺尾鬣蜥(Ctenosaura pectinata)多态微卫星标记的分离与特征分析及其在其他 Ctenosaura 中的交叉实用性。
Mol Ecol Resour. 2009 Jan;9(1):117-9. doi: 10.1111/j.1755-0998.2008.02379.x.
10
Basic ecology of the Oaxacan Spiny-tailed Iguana Ctenosaura oaxacana (Squamata: Iguanidae), in Oaxaca, Mexico.墨西哥瓦哈卡州瓦哈卡刺尾鬣蜥(Ctenosaura oaxacana)(有鳞目:鬣蜥科)的基础生态学
Rev Biol Trop. 2012 Dec;60(4):1613-9. doi: 10.15517/rbt.v60i4.2154.

引用本文的文献

1
Leading report on the molecular prevalence of emerging pathogens Hepatozoon sp. and Lankesterella sp. in the blood samples of seven wild lizard species.关于新兴病原体肝簇虫属(Hepatozoon sp.)和兰克斯特氏虫属(Lankesterella sp.)在七种野生蜥蜴物种血液样本中的分子流行率的主要报告。
Sci Rep. 2025 Mar 15;15(1):9014. doi: 10.1038/s41598-025-91185-8.
2
Colostomies for two lizards with cloacal prolapse.为两只泄殖腔脱垂的蜥蜴进行结肠造口术。
J Vet Med Sci. 2025 Mar 1;87(3):280-285. doi: 10.1292/jvms.24-0437. Epub 2025 Jan 3.
3
and Parasites (Eimeriidae, Apicomplexa) of Passeriform Birds in Europe: Infection Rates, Phylogeny, and Pathogenicity.

本文引用的文献

1
Molecular characterization of Schellackia parasites in an urban population of sand lizards (Lacerta agilis) from Berlin, Germany.德国柏林城市环境中砂蜥(Lacerta agilis)体内 Schellackia 寄生虫的分子特征。
Parasitol Res. 2023 Aug;122(8):1759-1764. doi: 10.1007/s00436-023-07856-w. Epub 2023 May 24.
2
A 50-year-old redescription: molecular and morphometric characterization of Pessôa and Cavalheiro, 1969 in the brown-banded water snake (Linnaeus, 1758).五十岁的重新描述:棕色带纹水蛇(Linnaeus,1758)中 1969 年的佩绍阿和卡瓦略的分子和形态特征。
Parasitology. 2022 Sep;149(11):1468-1478. doi: 10.1017/S0031182022000919. Epub 2022 Aug 3.
3
欧洲雀形目鸟类的寄生虫(艾美科,顶复门):感染率、系统发育和致病性
Pathogens. 2024 Apr 18;13(4):337. doi: 10.3390/pathogens13040337.
Description and Molecular Characterization of Two Species of Avian Blood Parasites, with Remarks on Circadian Rhythms of Avian Haematozoa Infections.
两种禽血寄生虫的描述与分子特征分析,以及关于禽疟原虫感染昼夜节律的评论
Animals (Basel). 2021 Dec 7;11(12):3490. doi: 10.3390/ani11123490.
4
(Apicomplexa, Lankesterellidae) Blood Parasites of Passeriform Birds: Prevalence, Molecular and Morphological Characterization, with Notes on Sporozoite Persistence In Vivo and Development In Vitro.雀形目鸟类的(顶复门,兰氏血孢子虫科)血液寄生虫:患病率、分子和形态特征,以及关于子孢子在体内的持久性和体外发育的注释
Animals (Basel). 2021 May 18;11(5):1451. doi: 10.3390/ani11051451.
5
Against growing synonymy: Identification pitfalls of Hepatozoon and Schellackia demonstrated on North Iranian reptiles.反同义现象:在伊朗北部爬行动物中证明的 Hepatozoon 和 Schellackia 的鉴定陷阱。
Eur J Protistol. 2021 Jun;79:125780. doi: 10.1016/j.ejop.2021.125780. Epub 2021 Mar 10.
6
Interactive Tree Of Life (iTOL) v5: an online tool for phylogenetic tree display and annotation.交互式生命树 (iTOL) v5:一个用于显示和注释系统发育树的在线工具。
Nucleic Acids Res. 2021 Jul 2;49(W1):W293-W296. doi: 10.1093/nar/gkab301.
7
Molecular and morphological description of the first (Apicomplexa: Hepatozoidae) species infecting a neotropical turtle, with an approach to its phylogenetic relationships.第一例(肉孢子虫目:肝孢虫科)感染新大陆龟的分子和形态描述,并探讨其系统发育关系。
Parasitology. 2021 May;148(6):747-759. doi: 10.1017/S0031182021000184. Epub 2021 Feb 4.
8
Parasites in a hotspot: diversity and specificity patterns of apicomplexans infecting reptiles from the Socotra Archipelago.热点地区的寄生虫:感染索科特拉群岛爬行动物的顶复门寄生虫的多样性和特异性模式。
Parasitology. 2021 Jan;148(1):42-52. doi: 10.1017/S0031182020002000. Epub 2020 Oct 19.
9
NGPhylogeny.fr: new generation phylogenetic services for non-specialists.NGPhylogeny.fr:面向非专业人士的新一代系统发育服务。
Nucleic Acids Res. 2019 Jul 2;47(W1):W260-W265. doi: 10.1093/nar/gkz303.
10
Molecular evidence for host-parasite co-speciation between lizards and Schellackia parasites.分子证据表明蜥蜴和 Schellackia 寄生虫之间存在宿主-寄生虫协同进化。
Int J Parasitol. 2018 Aug;48(9-10):709-718. doi: 10.1016/j.ijpara.2018.03.003. Epub 2018 May 5.