Suppr超能文献

一例罕见的胃炎性肌纤维母细胞瘤经腹腔镜与内镜联合手术成功治疗

A rare case of inflammatory myofibroblast tumor of the stomach successfully treated by inverted laparoscopic and endoscopic cooperative surgery.

作者信息

Kimura Naoya, Hiraki Masatsugu, Akashi Michiaki, Miyahara Koichi, Imamura Minori, Furukawa Shunsuke, Samejima Ryuichiro

机构信息

Department of Surgery, Japan Red Cross Society Karatsu Red Cross Hospital, 2430 Watada, Karatsu, Saga, 847-8588, Japan.

Department of Pathology, Japan Red Cross Society Karatsu Red Cross Hospital, Karatsu, Saga, Japan.

出版信息

Surg Case Rep. 2023 Oct 30;9(1):189. doi: 10.1186/s40792-023-01767-9.

Abstract

BACKGROUND

An Inflammatory myofibroblastic tumor (IMT) is a rare intermediate malignancy characterized by myofibroblast proliferation and inflammatory cell infiltration. Various organs are the primary sites of origin. However, primary tumors originating in the stomach tend to be extremely rare, making the diagnosis difficult. Herein, we present a case of IMT originating in the stomach that was effectively managed using inverted laparoscopic endoscopic cooperative surgery (LECS).

CASE PRESENTATION

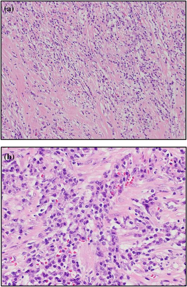
A 47-year-old male who was admitted to the hospital because of a submucosal tumor that was discovered during upper gastrointestinal endoscopy. The diameter of the tumor was approximately 20 mm. A KIT-negative gastrointestinal stromal tumor was suspected based on the biopsy findings. Therefore, partial resection of the stomach was performed using inverted laparoscopic and endoscopic cooperative surgery. Histopathological examination revealed collagen fiber proliferation from the submucosal layer to the muscular layer, accompanied by infiltration of spindle-shaped cells, lymphocytes, and numerous inflammatory cells. Immunohistochemistry results were positive for SMA and negative for CD34, desmin, and c-kit. IgG4-positive cells were observed with an IgG4/IgG ratio > 50%, and specific nuclei were positive for ALK. Therefore, IMT was diagnosed. This condition may be difficult to diagnose both before and after surgery because of its rarity and submucosal tumor-like morphology.

CONCLUSION

When a submucosal tumor originating in the stomach is observed, IMT should be considered. Partial resection of the stomach with LECS and immunohistochemical diagnosis may be useful.

摘要

背景

炎性肌纤维母细胞瘤(IMT)是一种罕见的中间型恶性肿瘤,其特征为肌成纤维细胞增殖和炎症细胞浸润。各个器官均可作为其主要起源部位。然而,原发于胃的肿瘤极为罕见,这使得诊断颇具难度。在此,我们报告一例起源于胃的IMT,通过倒转腹腔镜内镜联合手术(LECS)得到了有效治疗。

病例介绍

一名47岁男性因上消化道内镜检查发现黏膜下肿瘤入院。肿瘤直径约20毫米。根据活检结果怀疑为KIT阴性的胃肠道间质瘤。因此,采用倒转腹腔镜和内镜联合手术对胃进行了部分切除。组织病理学检查显示,从黏膜下层到肌层有胶原纤维增生,伴有梭形细胞、淋巴细胞及大量炎症细胞浸润。免疫组织化学结果显示SMA阳性,CD34、结蛋白和c-kit阴性。观察到IgG4阳性细胞,IgG4/IgG比值>50%,且特异性核ALK阳性。因此,诊断为IMT。由于其罕见性和黏膜下肿瘤样形态,这种疾病在手术前后可能都难以诊断。

结论

当观察到起源于胃的黏膜下肿瘤时,应考虑IMT。采用LECS进行胃部分切除及免疫组织化学诊断可能是有用的。

https://cdn.ncbi.nlm.nih.gov/pmc/blobs/888b/10616023/b2dc6da56c77/40792_2023_1767_Fig1_HTML.jpg

文献检索

告别复杂PubMed语法,用中文像聊天一样搜索,搜遍4000万医学文献。AI智能推荐,让科研检索更轻松。

立即免费搜索

文件翻译

保留排版,准确专业,支持PDF/Word/PPT等文件格式,支持 12+语言互译。

免费翻译文档

深度研究

AI帮你快速写综述,25分钟生成高质量综述,智能提取关键信息,辅助科研写作。

立即免费体验