Suppr超能文献

淀粉样蛋白 β(Aβ)42 和 Gasdermin D 通过调节星形胶质细胞焦亡对阿尔茨海默病的进展的影响。

Effects of amyloid β (Aβ)42 and Gasdermin D on the progression of Alzheimer's disease and through the regulation of astrocyte pyroptosis.

机构信息

Department of Psychiatry, Shanghai Pudong New Area Mental Health Center, Tongji University School of Medicine, Shanghai 200124, China.

Department of Burn, Wound Healing Center, Ruijin Hospital, Shanghai Jiaotong University School of Medicine, Shanghai 200025, China.

出版信息

Aging (Albany NY). 2023 Nov 2;15(21):12209-12224. doi: 10.18632/aging.205174.

Abstract

PURPOSE

The study aimed to investigate whether astrocyte pyroptosis, and the subsequent neuroinflammatory response that exerts amyloid β (Aβ) neurotoxic effects, has an effect on endothelial cells, along with the underlying mechanisms.

METHODS

, 5 μL of disease venom was injected into the lateral ventricle of APP/PS1 mice for treatment. Pyroptosis was induced by treating astrocytes with Aβ42 . Small interfering RNA (siRNA) was used to silence caspase-1 and Gasdermin D (GSDMD) mRNA expression. Cell viability was determined using a CCK-8 detection kit. Scanning electron microscopy (SEM), Annexin V/propidium iodide (PI) double staining, RT-qPCR, immunofluorescence, western blotting, and enzyme-linked immunosorbent assay (ELISA) were used to detect cell pyroptosis. The degree of pathological damage to the brain and aortic tissue was assessed by hematoxylin-eosin staining and immunohistochemistry.

RESULTS

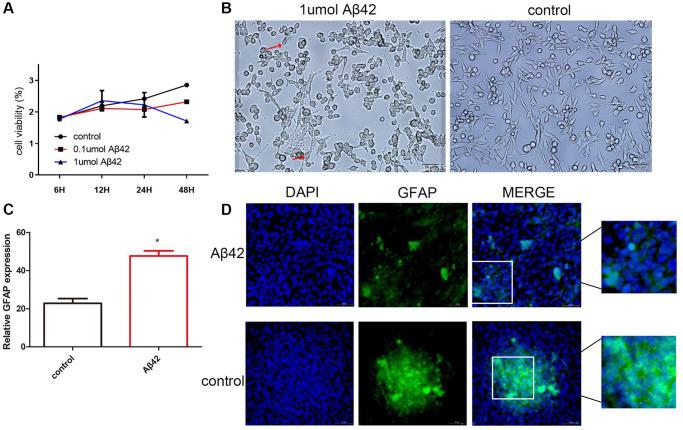
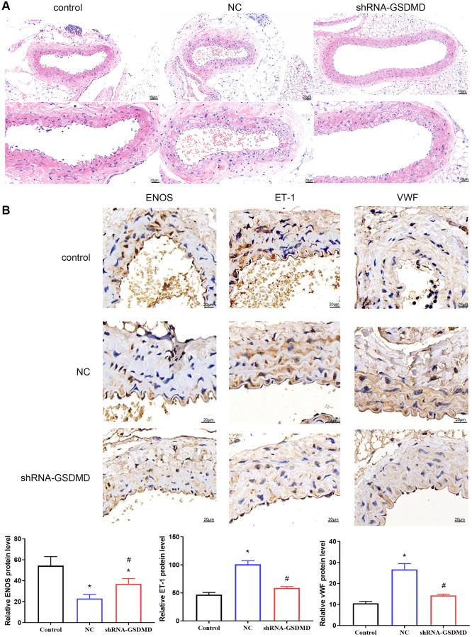
Aβ42 induced astrocyte pyroptosis dependent on the GSDMD/Gasdermin E (GSDME)/Caspase 11/NLRP3 pathway, releasing large amounts of inflammatory factors, such as TNF-α, IL-1α, IL-1β, and IL-18. Astrocyte pyroptosis caused endothelial cell dysfunction and release of large amounts of vasoconstrictors (ET and vWF). Knockdown of GSDMD reduced astrocyte pyroptosis in the cerebral cortex and hippocampal tissue, decreased the release of inflammatory factors IL-1 β and IL-18, reduced Aβ deposition and tau protein, increased the release of peripheral vasodilator substances (eNOS), and decreased the release of vasoconstrictor substances (ET, vWF), thereby reducing brain tissue damage and vascular injury in APP/PS1 mice.

CONCLUSION

Aβ42 induced astrocyte pyroptosis, while GSDMD knockout inhibited astrocyte pyroptosis, reduced the release of inflammatory factors, and alleviated brain tissue damage and vascular damage in APP/PS1 mice. Therefore, GSDMD is a novel therapeutic target for Alzheimer's disease.

PURPOSE

The study aimed to investigate whether astrocyte pyroptosis, and the subsequent neuroinflammatory response that exerts amyloid β (Aβ) neurotoxic effects, has an effect on endothelial cells, along with the underlying mechanisms.

METHODS

, 5 μL of disease venom was injected into the lateral ventricle of APP/PS1 mice for treatment. Pyroptosis was induced by treating astrocytes with Aβ42 . Small interfering RNA (siRNA) was used to silence caspase-1 and Gasdermin D (GSDMD) mRNA expression. Cell viability was determined using a CCK-8 detection kit. Scanning electron microscopy (SEM), Annexin V/propidium iodide (PI) double staining, RT-qPCR, immunofluorescence, western blotting, and enzyme-linked immunosorbent assay (ELISA) were used to detect cell pyroptosis. The degree of pathological damage to the brain and aortic tissue was assessed by hematoxylin-eosin staining and immunohistochemistry.

RESULTS

Aβ42 induced astrocyte pyroptosis dependent on the GSDMD/Gasdermin E (GSDME)/Caspase 11/NLRP3 pathway, releasing large amounts of inflammatory factors, such as TNF-α, IL-1α, IL-1β, and IL-18. Astrocyte pyroptosis caused endothelial cell dysfunction and release of large amounts of vasoconstrictors (ET and vWF). Knockdown of GSDMD reduced astrocyte pyroptosis in the cerebral cortex and hippocampal tissue, decreased the release of inflammatory factors IL-1 β and IL-18, reduced Aβ deposition and tau protein, increased the release of peripheral vasodilator substances (eNOS), and decreased the release of vasoconstrictor substances (ET, vWF), thereby reducing brain tissue damage and vascular injury in APP/PS1 mice.

CONCLUSION

Aβ42 induced astrocyte pyroptosis, while GSDMD knockout inhibited astrocyte pyroptosis, reduced the release of inflammatory factors, and alleviated brain tissue damage and vascular damage in APP/PS1 mice. Therefore, GSDMD is a novel therapeutic target for Alzheimer's disease.

摘要

目的

本研究旨在探讨星形胶质细胞细胞焦亡及其随后产生的神经炎症反应对血管内皮细胞的影响,以及其潜在机制。

方法

将疾病毒液 5μL 注入 APP/PS1 小鼠侧脑室进行治疗。用 Aβ42 处理星形胶质细胞诱导细胞焦亡。用小干扰 RNA(siRNA)沉默半胱氨酸天冬氨酸蛋白酶-1 和 Gasdermin D(GSDMD)mRNA 表达。用 CCK-8 检测试剂盒测定细胞活力。通过扫描电子显微镜(SEM)、Annexin V/碘化丙啶(PI)双重染色、RT-qPCR、免疫荧光、Western blot 和酶联免疫吸附测定(ELISA)检测细胞焦亡。通过苏木精-伊红(HE)染色和免疫组织化学评估大脑和主动脉组织的病理损伤程度。

结果

Aβ42 通过 GSDMD/Gasdermin E(GSDME)/Caspase 11/NLRP3 途径诱导星形胶质细胞焦亡,释放大量炎症因子,如 TNF-α、IL-1α、IL-1β 和 IL-18。星形胶质细胞焦亡导致内皮细胞功能障碍和大量血管收缩剂(ET 和 vWF)释放。敲低 GSDMD 可减少 APP/PS1 小鼠大脑皮质和海马组织中的星形胶质细胞焦亡,减少炎症因子 IL-1β 和 IL-18 的释放,减少 Aβ 沉积和 tau 蛋白,增加外周血管舒张物质(eNOS)的释放,减少血管收缩物质(ET、vWF)的释放,从而减轻 APP/PS1 小鼠的脑组织损伤和血管损伤。

结论

Aβ42 诱导星形胶质细胞焦亡,而 GSDMD 敲除抑制星形胶质细胞焦亡,减少炎症因子的释放,减轻 APP/PS1 小鼠的脑组织损伤和血管损伤。因此,GSDMD 是阿尔茨海默病的一个新的治疗靶点。

https://cdn.ncbi.nlm.nih.gov/pmc/blobs/35cc/10683627/105082a0aca7/aging-15-205174-g001.jpg

文献AI研究员

20分钟写一篇综述,助力文献阅读效率提升50倍。

立即体验

用中文搜PubMed

大模型驱动的PubMed中文搜索引擎

马上搜索

文档翻译

学术文献翻译模型,支持多种主流文档格式。

立即体验