Suppr超能文献

基于超声的机器学习在鉴别小儿肾积水高低分级任务中的初步研究。

Pilot study of machine learning in the task of distinguishing high and low-grade pediatric hydronephrosis on ultrasound.

机构信息

Department of Surgery, Section of Urology, University of Chicago, Chicago, IL, USA.

Department of Radiology, University of Chicago, Chicago, IL, USA.

出版信息

Investig Clin Urol. 2023 Nov;64(6):588-596. doi: 10.4111/icu.20230170.

Abstract

PURPOSE

Hydronephrosis is a common pediatric urological condition, characterized by dilation of the renal collecting system. Accurate identification of the severity of hydronephrosis is crucial in clinical management, as high-grade hydronephrosis can cause significant damage to the kidney. In this pilot study, we demonstrate the feasibility of machine learning in differentiating between high and low-grade hydronephrosis in pediatric patients.

MATERIALS AND METHODS

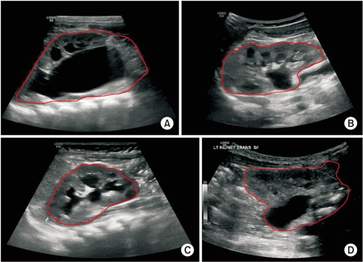
We retrospectively reviewed 592 images from 90 unique patients ages 0-8 years diagnosed with hydronephrosis at the University of Chicago's Pediatric Urology Clinic. The study included 74 high-grade hydronephrosis (145 images) and 227 low-grade hydronephrosis (447 images). Patients were excluded if they had less than 2 studies prior to surgical intervention or had structural abnormalities. We developed a radiomic-based artificial intelligence algorithm incorporating computerized texture analysis and machine learning (support-vector machine) to yield a predictor of hydronephrosis grade.

RESULTS

Receiver operating characteristic analysis of the classifier output yielded an area under the curve value of 0.86 (95% CI 0.81-0.92) in the task of distinguishing between low and high-grade hydronephrosis using a five-fold cross-validation by kidney. In addition, a Mann-Kendall trend test between computer output and clinical hydronephrosis grade yielded a statistically significant upward trend (p<0.001).

CONCLUSIONS

Our findings demonstrate the potential of machine learning in the differentiation between low and high-grade hydronephrosis. Further studies are warranted to validate our findings and their generalizability for use in clinical practice as a means to predict clinical outcomes and the resolution of hydronephrosis.

摘要

目的

肾积水是一种常见的小儿泌尿科疾病,其特征为肾集合系统扩张。准确识别肾积水的严重程度对于临床管理至关重要,因为重度肾积水可能会对肾脏造成严重损害。在这项初步研究中,我们展示了机器学习在区分小儿重度和轻度肾积水方面的可行性。

材料与方法

我们回顾性分析了在芝加哥大学小儿泌尿科诊所诊断为肾积水的 90 名患者的 592 张图像,这些患者的年龄为 0-8 岁。该研究包括 74 例重度肾积水(145 张图像)和 227 例轻度肾积水(447 张图像)。如果患者在手术干预前进行的研究少于 2 次或存在结构性异常,则将其排除在外。我们开发了一种基于放射组学的人工智能算法,该算法结合了计算机纹理分析和机器学习(支持向量机),以生成肾积水分级的预测器。

结果

使用五重交叉验证通过肾脏对分类器输出进行的接收器工作特征分析得出,在区分高低肾积水方面,曲线下面积值为 0.86(95%CI 0.81-0.92)。此外,计算机输出与临床肾积水分级之间的曼-肯德尔趋势检验显示出统计学上显著的上升趋势(p<0.001)。

结论

我们的研究结果表明,机器学习在区分高低肾积水方面具有潜力。需要进一步的研究来验证我们的发现及其在临床实践中的通用性,以预测临床结果和肾积水的缓解。

https://cdn.ncbi.nlm.nih.gov/pmc/blobs/1a54/10630684/6c8c5ec853f5/icu-64-588-g001.jpg

文献AI研究员

20分钟写一篇综述,助力文献阅读效率提升50倍。

立即体验

用中文搜PubMed

大模型驱动的PubMed中文搜索引擎

马上搜索

文档翻译

学术文献翻译模型,支持多种主流文档格式。

立即体验