School of Pharmaceutical Sciences, Zhengzhou University, Zhengzhou, 450001, China.
Henan Key Laboratory of Targeting Therapy and Diagnosis for Critical Diseases, Zhengzhou University, Zhengzhou, 450001, China.
Adv Sci (Weinh). 2024 Jan;11(2):e2304397. doi: 10.1002/advs.202304397. Epub 2023 Nov 7.
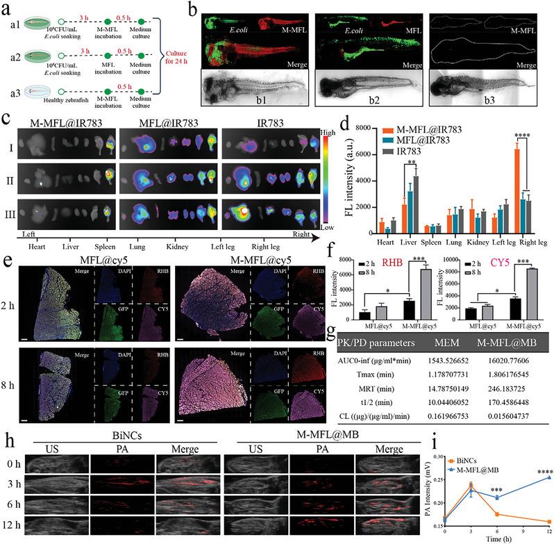
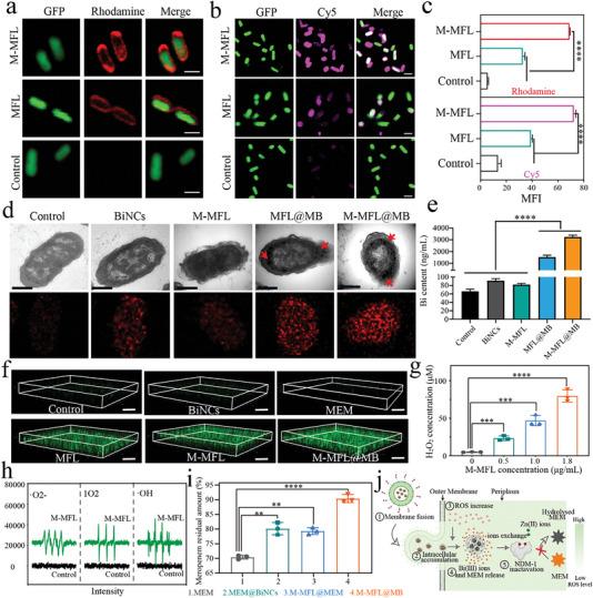
Infections caused by Enterobacterales producing New Delhi Metallo-β-lactamases (NDMs), Zn(II)-dependent enzymes hydrolyzing carbapenems, are difficult to treat. Depriving Zn(II) to inactivate NDMs is an effective solution to reverse carbapenems resistance in NDMs-producing bacteria. However, specific Zn(II) deprivation and better bacterial outer membrane penetrability in vivo are challenges. Herein, authors present a pathogen-primed liposomal antibiotic booster (M-MFL@MB), facilitating drugs transportation into bacteria and removing Zn(II) from NDMs. M-MFL@MB introduces bismuth nanoclusters (BiNCs) as a storage tank of Bi(III) for achieving ROS-initiated Zn(II) removal. Inspired by bacteria-specific maltodextrin transport pathway, meropenem-loaded BiNCs are camouflaged by maltodextrin-cloaked membrane fusion liposome to cross the bacterial envelope barrier via selectively targeting bacteria and directly outer membrane fusion. This fusion disturbs bacterial membrane homeostasis, then triggers intracellular ROS amplification, which activates Bi(III)-mediated Zn(II) replacement and meropenem release, realizing more precise and efficient NDMs producer treatment. Benefiting from specific bacteria-targeting, adequate drugs intracellular accumulation and self-activation Zn(II) replacement, M-MFL@MB rescues all mice infected by NDM producer without systemic side effects. Additionally, M-MFL@MB decreases the bacterial outer membrane vesicles secretion, slowing down NDMs producer's transmission by over 35 times. Taken together, liposomal antibiotic booster as an efficient and safe tool provides new strategy for tackling NDMs producer-induced infections.
产生新德里金属β-内酰胺酶(NDMs)的肠杆菌科细菌引起的感染很难治疗。剥夺锌(Ⅱ)以灭活 NDMs 是逆转产 NDMs 细菌对碳青霉烯类药物耐药性的有效方法。然而,特异性锌(Ⅱ)剥夺和更好的细菌外膜通透性是体内的挑战。在此,作者提出了一种病原体触发的脂质体抗生素增效剂(M-MFL@MB),促进药物进入细菌并从 NDMs 中去除锌(Ⅱ)。M-MFL@MB 引入了铋纳米簇(BiNCs)作为 Bi(III)的储存库,以实现 ROS 引发的 Zn(II)去除。受细菌特异性麦芽糖运输途径的启发,载有美罗培南的 BiNCs 被麦芽糖包裹的膜融合脂质体伪装,通过选择性靶向细菌和直接外膜融合来穿过细菌包膜屏障。这种融合扰乱了细菌膜的动态平衡,然后引发细胞内 ROS 扩增,激活 Bi(III)介导的 Zn(II)取代和美罗培南释放,实现更精确和高效的 NDMs 产生菌治疗。受益于特异性细菌靶向、足够的药物细胞内积累和自激活 Zn(II)取代,M-MFL@MB 成功挽救了所有被 NDM 产生菌感染的小鼠,且没有全身副作用。此外,M-MFL@MB 减少了细菌外膜囊泡的分泌,将 NDMs 产生菌的传播速度减缓了 35 倍以上。总之,脂质体抗生素增效剂作为一种高效且安全的工具,为解决 NDMs 产生菌引起的感染提供了新策略。