Suppr超能文献

淋巴瘤侵袭胰腺:1例人类免疫缺陷病毒阳性患者系统性间变性淋巴瘤激酶阴性间变性大细胞淋巴瘤的罕见表现

When Lymphoma Strikes the Pancreas: A Rare Presentation of Systemic Anaplastic Lymphoma Kinase-Negative Anaplastic Large Cell Lymphoma in a Human Immunodeficiency Virus-Positive Patient.

作者信息

Huang Hehua Hannah, Qing Xin

机构信息

Department of Pathology and Laboratory Medicine, Harbor-UCLA Medical Center, Torrance, CA 90502, USA.

出版信息

J Hematol. 2023 Oct;12(5):236-242. doi: 10.14740/jh1138. Epub 2023 Oct 21.

Abstract

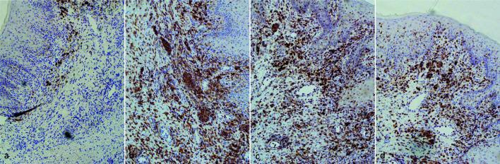
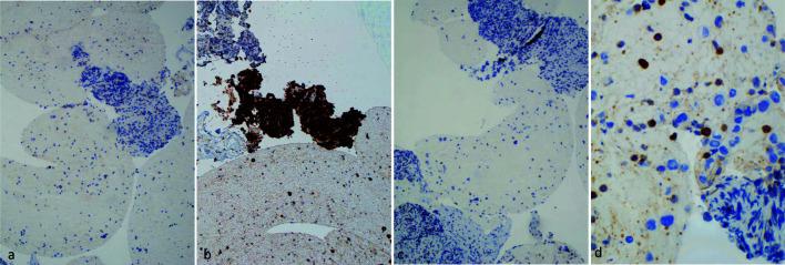
Anaplastic lymphoma kinase (ALK)-negative anaplastic large cell lymphoma (ALCL) is an uncommon subtype of non-Hodgkin lymphoma, with pancreatic involvement being exceedingly rare and documented in only a handful of case reports. We present a unique case of a 31-year-old human immunodeficiency virus (HIV)-positive male with multisite ALK-negative ALCL, who initially presented with a buttock ulcer, leading to a suspicion of primary cutaneous ALCL or lymphomatoid papulosis. However, the discovery of multiple extracutaneous sites, including an atypical pancreatic head involvement, confirmed the diagnosis of systemic ALK-negative ALCL with cutaneous manifestation. The patient received six cycles of brentuximab vedotin + cyclophosphamide-doxorubicin-prednisone (BV + CHP) treatment, achieving a substantial reduction in the size of the pancreatic head mass and no detectable fluorodeoxyglucose (FDG) uptake on positron emission tomography (PET) scan. This case underscores the diagnostic challenges of ALK-negative ALCL in HIV-positive patients with extranodal presentations and demonstrates the potential effectiveness of targeted therapeutic strategies for such cases.

摘要

间变性淋巴瘤激酶(ALK)阴性间变性大细胞淋巴瘤(ALCL)是非霍奇金淋巴瘤的一种罕见亚型,胰腺受累极为罕见,仅有少数病例报告记载。我们报告了一例独特病例,一名31岁的人类免疫缺陷病毒(HIV)阳性男性患有多部位ALK阴性ALCL,最初表现为臀部溃疡,导致怀疑为原发性皮肤ALCL或淋巴瘤样丘疹病。然而,发现多个皮肤外部位,包括非典型的胰头受累,确诊为伴有皮肤表现的系统性ALK阴性ALCL。该患者接受了六个周期的本妥昔单抗+环磷酰胺-阿霉素-泼尼松(BV+CHP)治疗,胰头肿块大小显著缩小,正电子发射断层扫描(PET)未检测到氟脱氧葡萄糖(FDG)摄取。该病例强调了HIV阳性患者伴有结外表现的ALK阴性ALCL的诊断挑战,并证明了针对此类病例的靶向治疗策略的潜在有效性。

https://cdn.ncbi.nlm.nih.gov/pmc/blobs/d95b/10627364/9506001a84c2/jh-12-236-g001.jpg

文献AI研究员

20分钟写一篇综述,助力文献阅读效率提升50倍。

立即体验

用中文搜PubMed

大模型驱动的PubMed中文搜索引擎

马上搜索

文档翻译

学术文献翻译模型,支持多种主流文档格式。

立即体验