Peng Pei-Hua, Chen Ji-Lin, Wu Heng-Hsiung, Yang Wen-Hao, Lin Li-Jie, Lai Joseph Chieh-Yu, Chang Jeng-Shou, Syu Jia-Ling, Wu Han-Tsang, Hsu Fei-Ting, Cheng Wei-Chung, Hsu Kai-Wen
Cancer Genome Research Center, Chang Gung Memorial Hospital at Linkou, Taoyuan, 333, Taiwan.
Comprehensive Breast Health Center, Taipei Veterans General Hospital, No. 201, Sec. 2, Shih- Pai Road, Taipei, 112, Taiwan.
Cancer Cell Int. 2023 Nov 8;23(1):266. doi: 10.1186/s12935-023-03067-6.
The hypoxia-responsive long non-coding RNA, RP11-367G18.1, has recently been reported to induce histone 4 lysine 16 acetylation (H4K16Ac) through its variant 2; however, the underlying molecular mechanism remains poorly understood.
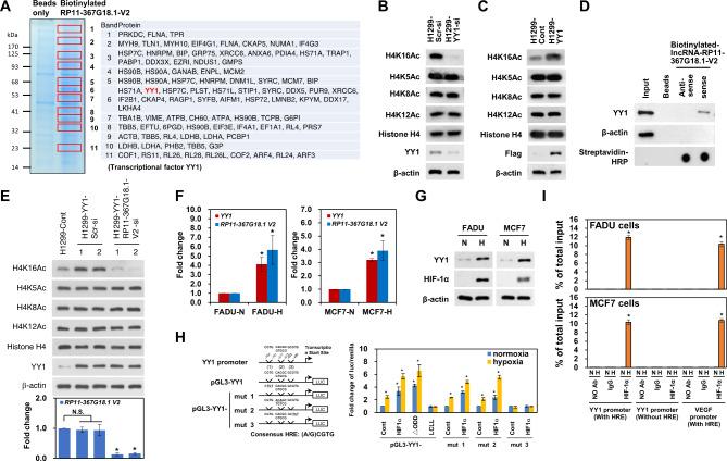
RNA pull-down assay and liquid chromatography-tandem mass spectrometry were performed to identify RP11-367G18.1 variant 2-binding partner. The molecular events were examined utilizing western blot analysis, real-time PCR, luciferase reporter assay, chromatin immunoprecipitation, and chromatin isolation by RNA purification assays. The migration, invasion, soft agar colony formation, and in vivo xenograft experiments were conducted to evaluate the impact of RP11-367G18.1 variant 2-YY1 complex on tumor progression.
In this study, RNA sequencing data revealed that hypoxia and RP11-367G18.1 variant 2 co-regulated genes were enriched in tumor-related pathways. YY1 was identified as an RP11-367G18.1 variant 2-binding partner that activates the H4K16Ac mark. YY1 was upregulated under hypoxic conditions and served as a target gene for hypoxia-inducible factor-1α. RP11-367G18.1 variant 2 colocalized with YY1 and H4K16Ac in the nucleus under hypoxic conditions. Head and neck cancer tissues had higher levels of RP11-367G18.1 and YY1 which were associated with poor patient outcomes. RP11-367G18.1 variant 2-YY1 complex contributes to hypoxia-induced epithelial-mesenchymal transition, cell migration, invasion, and tumorigenicity. YY1 regulated hypoxia-induced genes dependent on RP11-367G18.1 variant 2.
RP11-367G18.1 variant 2-YY1 complex mediates the tumor-promoting effects of hypoxia, suggesting that this complex can be targeted as a novel therapeutic strategy for cancer treatment.
缺氧反应性长链非编码RNA,RP11 - 367G18.1,最近有报道称其通过变体2诱导组蛋白4赖氨酸16乙酰化(H4K16Ac);然而,其潜在的分子机制仍知之甚少。
进行RNA下拉试验和液相色谱 - 串联质谱分析以鉴定RP11 - 367G18.1变体2结合伴侣。利用蛋白质印迹分析、实时定量PCR、荧光素酶报告基因检测、染色质免疫沉淀和RNA纯化法进行染色质分离试验来检测分子事件。进行迁移、侵袭、软琼脂集落形成和体内异种移植实验以评估RP11 - 367G18.1变体2 - YY1复合物对肿瘤进展的影响。
在本研究中,RNA测序数据显示缺氧和RP11 - 367G18.1变体2共同调控的基因在肿瘤相关途径中富集。YY1被鉴定为激活H4K16Ac标记的RP11 - 367G18.1变体2结合伴侣。YY1在缺氧条件下上调,并作为缺氧诱导因子-1α的靶基因。在缺氧条件下,RP11 - 367G18.1变体2与YY1和H4K16Ac在细胞核中共定位。头颈癌组织中RP11 - 367G18.1和YY1水平较高,这与患者预后不良相关。RP11 - 367G18.1变体2 - YY1复合物促进缺氧诱导的上皮 - 间质转化、细胞迁移、侵袭和致瘤性。YY1依赖于RP11 - 367G18.1变体2调控缺氧诱导的基因。
RP11 - 367G18.1变体2 - YY1复合物介导缺氧的促肿瘤作用,表明该复合物可作为癌症治疗的一种新的治疗策略靶点。