Bou-Samra Patrick, Chang Austin, Singhal Sunil, Itkin Maxim
Department of Thoracic Surgery, Perelman School of Medicine, University of Pennsylvania, Philadelphia, PA, USA.
Department of Radiology, University of Pennsylvania, Philadelphia, PA, USA.
AME Case Rep. 2023 Sep 25;7:41. doi: 10.21037/acr-23-53. eCollection 2023.
Chylothorax is the leakage of chyle into the pleural space and is associated with up to 50% morbidity. Although, the identification of traumatic chylothoraces is well described, non-traumatic chylothoraxes, mostly idiopathic, present therapeutic challenges as they are difficult to localize. We describe an attempt at localizing and treating an idiopathic chylothorax refractory to conservative and minimally invasive techniques. This was done using indocyanine green (ICG) and was a joint case between a thoracic surgeon and an interventional radiologist.
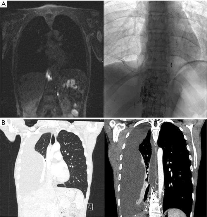
A 50-year-old female with a recent history of coronavirus disease (COVID)-19 presented with shortness of breath. She was found to have a right pleural effusion and was admitted to the hospital, where a chest tube was inserted and pleural fluid analysis confirmed the diagnosis of a chylothorax. Conservative management was attempted but with little success. Initial magnetic resonance lymphangiogram (MRL) revealed abnormal enhancing lymphatic masses in the right paraspinal thoracic space as well as lympho-venous junction obstruction with large neck collaterals. She then underwent percutaneous lympho-venous junction angioplasty followed by multiple rounds of glue embolization without clinical improvement. The decision was then made to proceed with a thoracotomy, identification of the site of thoracic duct (TD) leakage, and a mechanical pleurodesis assisted by intraoperative imaging. Ten mg of ICG was injected into the inguinal lymph nodes. Using a camera capable of detection of near-infrared (NIR) light, we were able to visualize the site from which the ICG was extravasating in the chest. Glue was then injected in that area to further help in reducing the leak. After keeping her nil per os (NPO) and requiring one more ligation, a repeat MRL showed a markedly decreased leak into the right pleural space. Two weeks later, she was seen in clinic and reported significant improvement in her symptoms.
This is the case of a 50-year-old female who was found to have a significant right chylothorax. She underwent conservative management, followed by tube thoracostomy, and TD ligation but was refractory to treatment. Fluorescence-guided surgery was pivotal to localize the leakage site and help seal it intraoperatively.
乳糜胸是乳糜漏入胸腔,发病率高达50%。虽然创伤性乳糜胸的识别已有详细描述,但非创伤性乳糜胸(大多为特发性)因其难以定位而带来治疗挑战。我们描述了一次对保守及微创技术均难治的特发性乳糜胸进行定位和治疗的尝试。这是由胸外科医生和介入放射科医生联合进行的病例,使用了吲哚菁绿(ICG)。
一名近期有冠状病毒病(COVID)-19病史的50岁女性出现呼吸急促。她被发现有右侧胸腔积液,入院后插入胸腔引流管,胸腔积液分析确诊为乳糜胸。尝试了保守治疗但效果不佳。最初的磁共振淋巴管造影(MRL)显示右侧胸段脊柱旁间隙有异常强化的淋巴肿块,以及淋巴静脉交界处梗阻伴颈部粗大侧支循环。随后她接受了经皮淋巴静脉交界处血管成形术,接着进行了多轮胶水栓塞,但临床症状无改善。于是决定进行开胸手术,识别胸导管(TD)漏出部位,并在术中成像辅助下进行机械性胸膜固定术。将10毫克ICG注入腹股沟淋巴结。使用能够检测近红外(NIR)光的摄像头,我们能够在胸部可视化ICG外渗的部位。然后在该区域注入胶水以进一步帮助减少漏出。在她禁食禁水(NPO)并进行了一次结扎后,重复MRL显示右侧胸腔的漏出明显减少。两周后,她到诊所就诊,报告症状有显著改善。
这是一例50岁女性被发现患有严重右侧乳糜胸的病例。她接受了保守治疗,随后进行了胸腔闭式引流和TD结扎,但治疗效果不佳。荧光引导手术对于定位漏出部位并在术中帮助封闭漏出部位起到了关键作用。