Suppr超能文献

单纯由黏液性管腔细胞构成的细支气管腺瘤的临床病理分析

Clinicopathological Analysis of Bronchiolar Adenoma Lined Purely by Mucinous Luminal Cells.

作者信息

Liao Guangjie, Zhang Xinke

机构信息

Department of Pathology, Red Cross Hospital of Yulin, Yulin, China.

Department of Pathology, State Key Laboratory of Oncology in South China, Collaborative Innovation Center of Cancer Medicine, Sun Yat-sen University Cancer Center, Guangzhou, China.

出版信息

Case Rep Pathol. 2023 Oct 31;2023:5566499. doi: 10.1155/2023/5566499. eCollection 2023.

Abstract

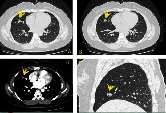
Bronchiolar adenoma (BA) is a rare lung tumor that has recently been clearly named, including the previous ciliated muconodular papillary tumor (CMPT) and the so-called nonclassical CMPT. The most prominent histological feature of BA is a double-layer cell structure composed of a continuous basal cell layer and a luminal cell layer. BA lined purely by mucinous luminal cells is very rare, and only one case has been reported in the English literature. This type of BA can easily be misdiagnosed as early mucinous adenocarcinoma. This article analyzes the clinicopathological characteristics of a newly discovered case of BA lined purely by mucinous luminal cells and fully integrated with the literatures.

摘要

细支气管腺瘤(BA)是一种罕见的肺肿瘤,最近才被明确命名,包括之前的纤毛黏液结节状乳头状瘤(CMPT)和所谓的非典型CMPT。BA最显著的组织学特征是由连续的基底细胞层和管腔细胞层组成的双层细胞结构。纯由黏液性管腔细胞内衬的BA非常罕见,英文文献中仅报道过1例。这种类型的BA很容易被误诊为早期黏液腺癌。本文分析了1例新发现的纯由黏液性管腔细胞内衬的BA的临床病理特征,并结合文献进行全面分析。

https://cdn.ncbi.nlm.nih.gov/pmc/blobs/94b6/10630002/5d6eb2adb9a7/CRIPA2023-5566499.001.jpg

文献AI研究员

20分钟写一篇综述,助力文献阅读效率提升50倍。

立即体验

用中文搜PubMed

大模型驱动的PubMed中文搜索引擎

马上搜索

文档翻译

学术文献翻译模型,支持多种主流文档格式。

立即体验