Department of Pulmonary and Critical Care Medicine, the First Affiliated Hospital of Zhengzhou University, Zhengzhou, China.
Front Cell Infect Microbiol. 2023 Oct 25;13:1258021. doi: 10.3389/fcimb.2023.1258021. eCollection 2023.
The aim of this study is to report an isolated pleural cryptococcosis with pleural effusion as the only manifestation, confirmed by pleural biopsy in a patient with thymoma combined with myasthenia gravis, who developed pleural effusion of unknown origin after long-term glucocorticoids and tacrolimus therapy.
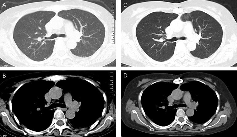
Pathological examination of the right pleural biopsy tissue from a patient with unexplained recurrent pleural effusion was implemented. Morphological analysis of the fungal component and metagenomic next-generation sequencing (mNGS) on the pleural tissue were performed.
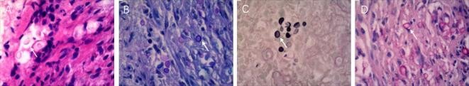
A biopsy specimen of the right pleura revealed numerous yeast-like organisms surrounded by mucous capsules and neoformans was detected by mNGS with a species-specific read number (SSRN) of 4, confirming the diagnosis of pleural cryptococcosis. Pleural effusion was eliminated with amphotericin B and fluconazole, and healthy status was maintained at the time of review 1 year later.
Cryptococcosis, manifested by simple pleural effusion, is extremely rare, but when repeated pleural effusion occurs in immunocompromised patients or in patients with malignant tumors, the possibility of cryptococcosis should be treated with high vigilance and pleural biopsy is recommended if necessary in order to confirm the diagnosis.
本研究旨在报告一例以胸腔积液为唯一表现的孤立性胸膜隐球菌病,该患者患有胸腺瘤合并重症肌无力,在长期接受糖皮质激素和他克莫司治疗后出现不明原因的胸腔积液,经胸膜活检证实。
对不明原因复发性胸腔积液患者的右侧胸膜活检组织进行病理学检查,对胸膜组织进行真菌成分的形态学分析和宏基因组下一代测序(mNGS)。
右侧胸膜活检标本显示许多酵母样生物体,周围有黏液囊,mNGS 检测到 neoformans,具有物种特异性读数值(SSRN)为 4,确诊为胸膜隐球菌病。胸腔积液经两性霉素 B 和氟康唑消除,1 年后复查时仍保持健康状态。
以单纯胸腔积液为表现的隐球菌病极为罕见,但当免疫功能低下的患者或恶性肿瘤患者反复出现胸腔积液时,应高度警惕隐球菌病的可能性,必要时行胸膜活检以明确诊断。