Suppr超能文献

以胸腔积液为唯一临床表现的肝硬化患者隐球菌性胸膜炎:一例报告及文献复习

Cryptococcal pleuritis with pleural effusion as the only clinical presentation in a patient with hepatic cirrhosis: A case report and literature review.

作者信息

Wang Jie, Hong Jin-Jing, Zhang Piao-Piao, Yang Mei-Fang, Yang Qing, Qu Ting-Ting

机构信息

Respiratory Department, The First Affiliated Hospital, Zhejiang University School of Medicine, Hangzhou.

State Key Laboratory for Diagnosis and treatment of Infectious Disease, The First Affiliated Hospital, Zhejiang University School of Medicine, Hangzhou, and Infectious disease Department, The First People's Hospital of Wenling, Wenling.

出版信息

Medicine (Baltimore). 2019 Jul;98(28):e16354. doi: 10.1097/MD.0000000000016354.

Abstract

RATIONALE

Cryptococcosis is a significant life-threatening fungal infection in worldwide, mainly reported in immunocompromised patients. Pleural effusion presentation of cryptococcal infection as the only clinical presentation is rarely seen in pulmonary cryptococcosis, which may lead to be misdiagnosed, and the study on this subject will provide further insights.

PATIENT CONCERNS

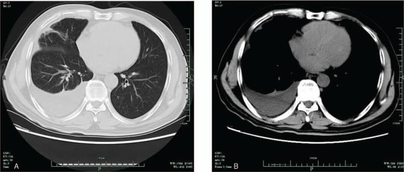
A 64-year-old man was hospitalized in our department and diagnosed as hepatic B cirrhosis. A computed tomography (CT) of the thorax showed a massive right pleural effusion without pulmonary parenchymal abnormalities. He was started on empirical treatment for pleural tuberculosis (TB). However, during his hospitalization, a right pleural effusion developed and fever was not controlled.

DIAGNOSES

On day 14 admission, pleural fluid cultured positive for Cryptococcus neoformans. The C neoformans isolate belonged to ST5 and molecular type VNI (var. grubii).

INTERVENTIONS

The patient was diagnosed with cryptococcal pleuritis, then amphotericin B and fluconazole were administrated.

OUTCOMES

Finally, the patient was improved and discharged from our hospital.

LESSONS

Similar cases in cryptococcal pleuritis patients with pleural effusion as the only clinical presentation in the literature are also reviewed. Through literature review, we recommend that pleural effusion cryptococcal antigen test should be used to diagnose cryptococcal pleuritis to reduce misdiagnosis. The early administration of antifungal drug with activity to Cryptococcus seemed beneficial in preventing dissemination of cryptococcosis.

摘要

原理

隐球菌病是一种在全球范围内严重威胁生命的真菌感染,主要见于免疫功能低下的患者。隐球菌感染以胸腔积液为唯一临床表现的情况在肺隐球菌病中很少见,这可能导致误诊,对此类病例的研究将提供更多见解。

患者情况

一名64岁男性因乙型肝炎肝硬化入住我科。胸部计算机断层扫描(CT)显示右侧大量胸腔积液,无肺实质异常。他开始接受结核性胸膜炎的经验性治疗。然而,住院期间,右侧胸腔积液仍持续存在,发热也未得到控制。

诊断

入院第14天,胸腔积液培养新型隐球菌呈阳性。分离出的新型隐球菌属于ST5和分子型VNI(格鲁比变种)。

干预措施

患者被诊断为隐球菌性胸膜炎,随后给予两性霉素B和氟康唑治疗。

结果

最终,患者病情好转并出院。

经验教训

本文还回顾了文献中以胸腔积液为唯一临床表现的隐球菌性胸膜炎患者的类似病例。通过文献回顾,我们建议使用胸腔积液隐球菌抗原检测来诊断隐球菌性胸膜炎,以减少误诊。早期给予对隐球菌有活性的抗真菌药物似乎有利于预防隐球菌病的播散。

https://cdn.ncbi.nlm.nih.gov/pmc/blobs/d531/6641672/f7d8af418263/medi-98-e16354-g002.jpg

文献AI研究员

20分钟写一篇综述,助力文献阅读效率提升50倍。

立即体验

用中文搜PubMed

大模型驱动的PubMed中文搜索引擎

马上搜索

文档翻译

学术文献翻译模型,支持多种主流文档格式。

立即体验