Suppr超能文献

口腔诱导调节性 T 细胞群体中的独特功能和转录特征。

Distinct functions and transcriptional signatures in orally induced regulatory T cell populations.

机构信息

Herman B Wells Center for Pediatric Research, Indiana University School of Medicine, Indianapolis, IN, United States.

Department of Biostatistics and Health Data Science and Center for Computational Biology and Bioinformatics, Indiana University School of Medicine, Indianapolis, IN, United States.

出版信息

Front Immunol. 2023 Oct 26;14:1278184. doi: 10.3389/fimmu.2023.1278184. eCollection 2023.

Abstract

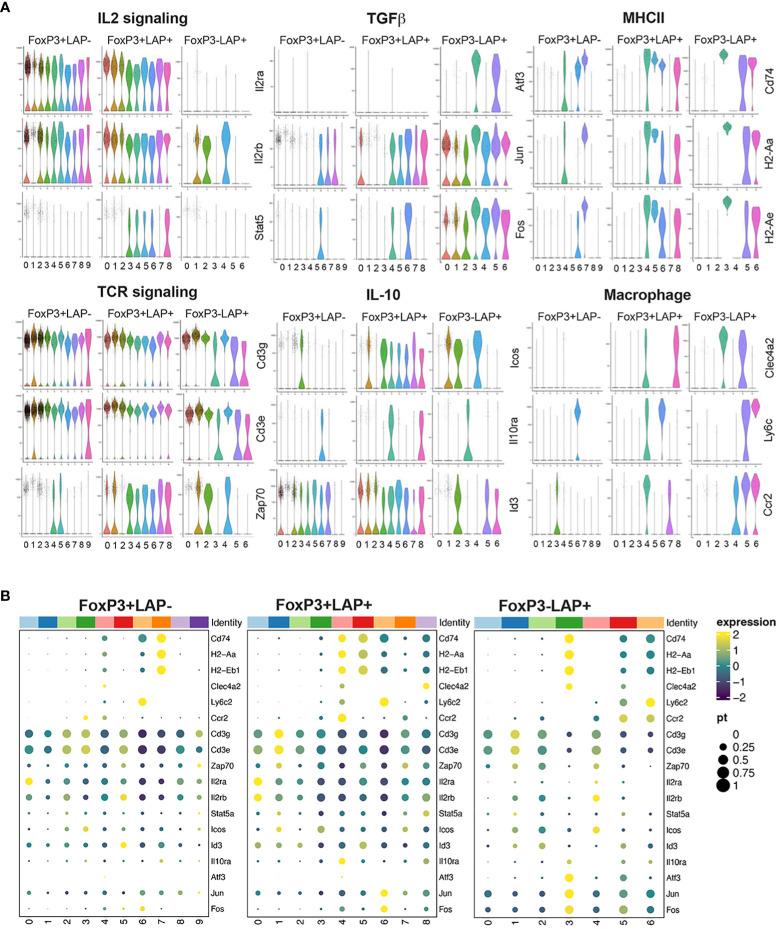
Oral administration of antigen induces regulatory T cells (Treg) that can not only control local immune responses in the small intestine, but also traffic to the central immune system to deliver systemic suppression. Employing murine models of the inherited bleeding disorder hemophilia, we find that oral antigen administration induces three CD4+ Treg subsets, namely FoxP3+LAP-, FoxP3+LAP+, and FoxP3-LAP+. These T cells act in concert to suppress systemic antibody production induced by therapeutic protein administration. Whilst both FoxP3+LAP+ and FoxP3-LAP+ CD4+ T cells express membrane-bound TGF-β (latency associated peptide, LAP), phenotypic, functional, and single cell transcriptomic analyses reveal distinct characteristics in the two subsets. As judged by an increase in IL-2Rα and TCR signaling, elevated expression of co-inhibitory receptor molecules and upregulation of the TGFβ and IL-10 signaling pathways, FoxP3+LAP+ cells are an activated form of FoxP3+LAP- Treg. Whereas FoxP3-LAP+ cells express low levels of genes involved in TCR signaling or co-stimulation, engagement of the AP-1 complex members Jun/Fos and Atf3 is most prominent, consistent with potent IL-10 production. Single cell transcriptomic analysis further reveals that engagement of the Jun/Fos transcription factors is requisite for mediating TGFβ expression. This can occur via an Il2ra dependent or independent process in FoxP3+LAP+ or FoxP3-LAP+ cells respectively. Surprisingly, both FoxP3+LAP+ and FoxP3-LAP+ cells potently suppress and induce FoxP3 expression in CD4+ conventional T cells. In this process, FoxP3-LAP+ cells may themselves convert to FoxP3+ Treg. We conclude that orally induced suppression is dependent on multiple regulatory cell types with complementary and interconnected roles.

摘要

口服抗原可诱导调节性 T 细胞(Treg),不仅可以控制小肠中的局部免疫反应,还可以迁移到中枢免疫系统以发挥全身抑制作用。我们利用遗传性出血性疾病血友病的小鼠模型发现,口服抗原给药可诱导三种 CD4+Treg 亚群,即 FoxP3+LAP-、FoxP3+LAP+和 FoxP3-LAP+。这些 T 细胞协同作用,抑制治疗性蛋白给药引起的全身性抗体产生。虽然 FoxP3+LAP+和 FoxP3-LAP+CD4+T 细胞均表达膜结合 TGF-β(潜伏相关肽,LAP),但表型、功能和单细胞转录组学分析揭示了这两个亚群的不同特征。通过增加 IL-2Rα 和 TCR 信号、上调共抑制受体分子的表达以及上调 TGFβ 和 IL-10 信号通路,可以判断 FoxP3+LAP+细胞是 FoxP3+LAP-Treg 的激活形式。而 FoxP3-LAP+细胞表达参与 TCR 信号或共刺激的基因水平较低,但 AP-1 复合物成员 Jun/Fos 和 Atf3 的参与最为明显,与强烈的 IL-10 产生一致。单细胞转录组学分析进一步表明,Jun/Fos 转录因子的参与是介导 TGFβ 表达所必需的。这可以通过 FoxP3+LAP+或 FoxP3-LAP+细胞中分别依赖或不依赖 Il2ra 的过程发生。令人惊讶的是,FoxP3+LAP+和 FoxP3-LAP+细胞均能有效抑制和诱导 CD4+常规 T 细胞中 FoxP3 的表达。在此过程中,FoxP3-LAP+细胞本身可能转化为 FoxP3+Treg。我们的结论是,口服诱导的抑制作用依赖于具有互补和相互关联作用的多种调节性细胞类型。

https://cdn.ncbi.nlm.nih.gov/pmc/blobs/e138/10637621/e87f985985d4/fimmu-14-1278184-g001.jpg

文献AI研究员

20分钟写一篇综述,助力文献阅读效率提升50倍。

立即体验

用中文搜PubMed

大模型驱动的PubMed中文搜索引擎

马上搜索

文档翻译

学术文献翻译模型,支持多种主流文档格式。

立即体验