Suppr超能文献

腮腺基底细胞腺瘤复发癌的罕见病例。

A Rare Case of Recurrent Carcinoma Ex Basal Cell Adenoma of the Parotid Gland.

作者信息

Alzahrani Rajab A

机构信息

Division of Otolaryngology, Department of Surgery, College of Medicine, Al-Baha University, Al-Baha, SAU.

出版信息

Cureus. 2023 Oct 12;15(10):e46891. doi: 10.7759/cureus.46891. eCollection 2023 Oct.

Abstract

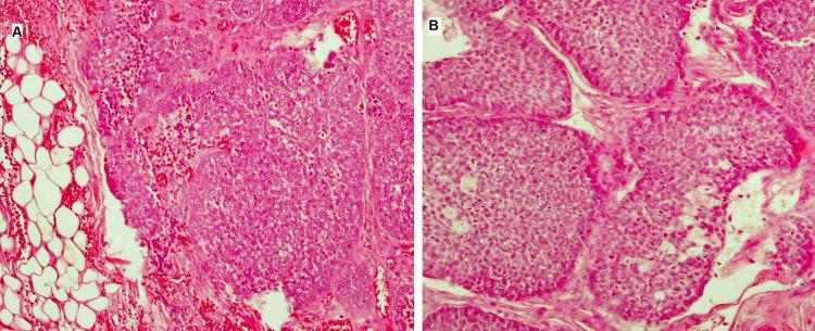
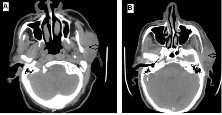
Basal cell adenoma is encountered in the salivary glands, particularly the parotid gland; however, malignant transformation is rare, and recurrence is much rarer. We report the case of a 60-year-old man who had experienced a slow-growing mass in the parotid gland, which was suspected to be pleomorphic adenoma. Radiological and cytological examination suggested an atypical lesion in the left parotid. The final diagnosis reached on the excised specimen was that of a basal cell adenocarcinoma ex adenoma with close margins. The patient presented with a recurrence after two years. Routine histopathological examination with careful examination by the pathologist is essential for proper management of such rare malignant lesions, and recurrence is a possibility. A complete excision of the tumor with tumor-free margins from the beginning is suggested.

摘要

基底细胞腺瘤多见于唾液腺,尤其是腮腺;然而,恶变罕见,复发则更为罕见。我们报告一例60岁男性病例,其腮腺出现缓慢生长的肿块,怀疑为多形性腺瘤。影像学和细胞学检查提示左腮腺有非典型病变。切除标本的最终诊断为腺瘤恶变的基底细胞腺癌,切缘紧密。该患者两年后复发。病理学家仔细检查的常规组织病理学检查对于此类罕见恶性病变的恰当处理至关重要,且存在复发的可能性。建议从一开始就完整切除肿瘤,确保切缘无肿瘤。

https://cdn.ncbi.nlm.nih.gov/pmc/blobs/ae79/10638669/3c4f585448c1/cureus-0015-00000046891-i01.jpg

文献AI研究员

20分钟写一篇综述,助力文献阅读效率提升50倍。

立即体验

用中文搜PubMed

大模型驱动的PubMed中文搜索引擎

马上搜索

文档翻译

学术文献翻译模型,支持多种主流文档格式。

立即体验