Department of Medicine and Medical Specialities, Faculty of Medicine and Health Sciences, University of Alcalá, 28801 Alcalá de Henares, Spain.
Ramón y Cajal Institute of Sanitary Research (IRYCIS), 28034 Madrid, Spain.
Biomolecules. 2023 Nov 13;13(11):1644. doi: 10.3390/biom13111644.
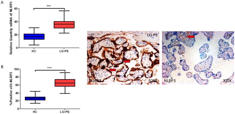
Pre-eclampsia is a harmful and potentially lethal medical condition during pregnancy clinically diagnosed by hypertension and commonly accompanied by proteinuria and multiorgan affections. According to the time of diagnosis, it is differentiated between early-onset (EO-PE) and late-onset preeclampsia (LO-PE). Despite being less dangerous and presenting distinct pathophysiological signatures, LO-PE has a greater prevalence than EO-PE, both having significant consequences on the placenta. Previous works have evidenced that exacerbated inflammation in this organ might play a potential pathogenic role in the development of pre-eclampsia, and there is some preliminary evidence that the hyperactivation of inflammasomes can be related to the altered immunoinflammatory responses observed in the placentas of these patients. However, the precise role of inflammasomes in the placentas of women with LO-PE remains to be fully understood. In this work, we have studied the gene and protein expression of the main components related to the canonical and non-canonical pathways of the inflammasome NLRP3 (NLRP3, ASC, caspase 1, caspase 5, caspase 8, interleukin 1β, and interleukin 18) in the placental tissue of women with LO-PE. Our results show a marked increase in all these components in the placentas of women who have undergone LO-PE, suggesting that NLRP3 inflammasome plays a potentially pathophysiological role in the development of this entity. Future works should aim to evaluate possible translational approaches to this dysregulation in these patients.
子痫前期是一种在怀孕期间发生的有害且潜在致命的医学病症,临床上通过高血压来诊断,通常伴有蛋白尿和多器官损伤。根据诊断时间的不同,子痫前期可分为早发型(EO-PE)和晚发型子痫前期(LO-PE)。尽管 LO-PE 危险性较低,且具有不同的病理生理特征,但它的发病率高于 EO-PE,这两种病症都会对胎盘造成严重后果。先前的研究表明,该器官炎症加剧可能在子痫前期的发展中发挥潜在的致病作用,并且有一些初步证据表明,炎症小体的过度激活可能与这些患者胎盘内观察到的免疫炎症反应改变有关。然而,炎症小体在 LO-PE 妇女胎盘中的确切作用仍有待充分了解。在这项工作中,我们研究了 LO-PE 妇女胎盘组织中与炎症小体 NLRP3(NLRP3、ASC、半胱天冬酶 1、半胱天冬酶 5、半胱天冬酶 8、白细胞介素 1β和白细胞介素 18)的经典和非经典途径相关的主要成分的基因和蛋白表达。我们的结果表明,所有这些成分在 LO-PE 妇女的胎盘组织中都有明显增加,这表明 NLRP3 炎症小体在该病症的发展中可能具有潜在的病理生理作用。未来的研究应该旨在评估针对这些患者这种失调的可能转化方法。