Department of Medicine and Medical Specialities, Faculty of Medicine and Health Sciences, University of Alcalá, 28801 Alcalá de Henares, Spain.
Ramón y Cajal Institute of Sanitary Research (IRYCIS), 28034 Madrid, Spain.
Biomolecules. 2023 Jan 6;13(1):120. doi: 10.3390/biom13010120.
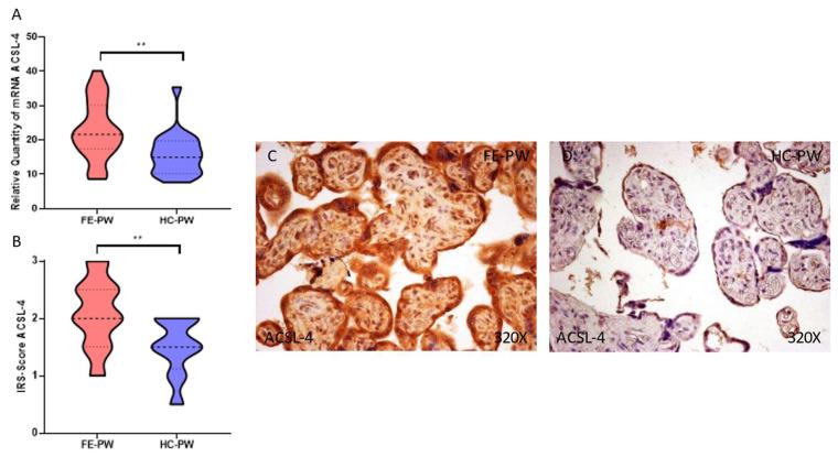
Psychosis is a complex entity characterized by psychological, behavioral, and motor alterations resulting in a loss of contact with reality. Although it is not common, pregnancy can be a period in which a first episode of psychosis can manifest, entailing detrimental consequences for both the fetus and the mother. The pathophysiological basis and study of maternofetal wellbeing need to be further elucidated. Lipid peroxidation and ferroptosis are two phenomena that are tightly linked to the placental dysfunction commonly observed in different complications of pregnancy. In the present study, we aim to explore the histopathological and gene expression of different markers of lipid peroxidation and ferroptosis in the placentas of women who underwent a first episode of psychosis during their pregnancy ( = 22). The aim is to then compare them with healthy pregnant women ( = 20). In order to achieve this goal, iron deposits were studied using Prussian Blue staining. In addition, the protein/gene expression of a transferrin receptor (TFRC), as well as an acyl-CoA synthetase long-chain family member 4 (ACSL-4), arachidonate lipoxygenase-5 (ALOX-5), malondialdehyde (MDA), and glutathione peroxidase 4 (GPX4) were all analyzed through gene expression (RT-qPCR) and immunohistochemical procedures. Our results demonstrate an increased presence of iron deposits that are accompanied by a further expression of TFRC, ACSL-4, ALOX-5, MDA, and GPX4-all of which are observed in the placenta tissue of women who have suffered from a first episode of psychosis. Therefore, in our study, a histopathological increase in lipid peroxidation and ferroptosis markers in the affected women is suggested. However, further studies are needed in order to validate our results and to establish possible consequences for the reported alterations.
精神病是一种复杂的实体,其特征为心理、行为和运动改变,导致与现实失去联系。尽管不常见,但怀孕可能是首次精神病发作的时期,这对胎儿和母亲都有不利影响。病理生理学基础和母婴健康的研究需要进一步阐明。脂质过氧化和铁死亡是与妊娠不同并发症中常见的胎盘功能障碍密切相关的两种现象。在本研究中,我们旨在探索在经历首次精神病发作的孕妇(n=22)的胎盘组织中不同脂质过氧化和铁死亡标志物的组织病理学和基因表达,并与健康孕妇(n=20)进行比较。为了实现这一目标,使用普鲁士蓝染色研究铁沉积。此外,还通过基因表达(RT-qPCR)和免疫组织化学程序分析了转铁蛋白受体(TFRC)以及酰基辅酶 A 合成酶长链家族成员 4(ACSL-4)、花生四烯酸脂加氧酶-5(ALOX-5)、丙二醛(MDA)和谷胱甘肽过氧化物酶 4(GPX4)的蛋白/基因表达。我们的结果表明,在患有首次精神病发作的女性的胎盘组织中,铁沉积增加,并伴随着 TFRC、ACSL-4、ALOX-5、MDA 和 GPX4 的进一步表达。因此,在我们的研究中,提示患有精神疾病的女性的脂质过氧化和铁死亡标志物的组织病理学增加。然而,需要进一步的研究来验证我们的结果,并确定所报道的改变可能带来的后果。