Roberts G P, Brunt J
Biochem J. 1986 Jul 15;237(2):519-25. doi: 10.1042/bj2370519.
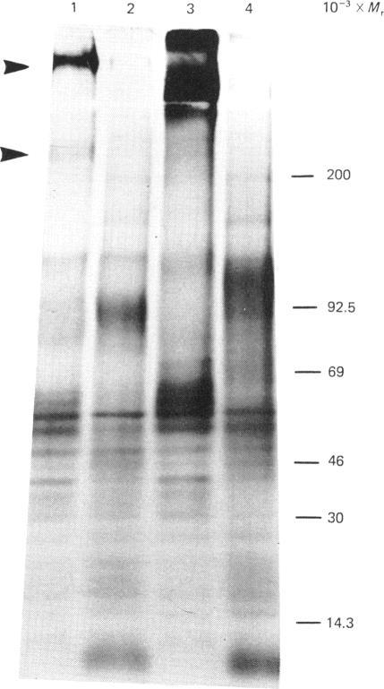
Human keratinocytes were cultured in media in which the Ca2+ concentration controlled the stage of differentiation. In media containing less than 0.1 mM-Ca2+ keratinocytes grew as a monolayer, but in the presence of 2mM-Ca2+ the cells differentiated and formed stratified colonies. Glycoproteins of both stratified and unstratified cells were radiolabelled by metabolic incorporation of radioactive precursors and by cell-surface labelling using galactose oxidase/NaB3H4. The radiolabelled keratinocytes were extracted with 0.5% Triton X-100, and the glycoproteins in both the Triton X-100-soluble and Triton X-100-insoluble fractions were analysed by polyacrylamide-gel electrophoresis in the presence of SDS. Two Triton X-100-soluble glycoproteins with high Mr values (greater than 200,000) were major glycoproteins in stratified keratinocytes, but were present in only trace amounts in unstratified keratinocytes. Characterization of these glycoproteins by examination of the effect of tunicamycin on their synthesis and the effect of neuraminidase on their migration characteristics showed that they were cell-surface sialoglycoproteins containing O-glycosidically linked oligosaccharides. Analysis of the adherent cytoskeletons left after Triton X-100 extraction of stratified and unstratified keratinocytes revealed that a glycoprotein of Mr 184,000 was decreased in stratified keratinocytes. Incubation of unstratified keratinocytes in high-Ca2+ medium resulted in a rapid modification of the glycoprotein of Mr 184,000, and it is suggested that this event may be related to desmosome formation and stratification.
人角质形成细胞在钙离子浓度可控制分化阶段的培养基中培养。在钙离子浓度低于0.1 mM的培养基中,角质形成细胞呈单层生长,但在2 mM钙离子存在的情况下,细胞发生分化并形成分层菌落。通过放射性前体的代谢掺入以及使用半乳糖氧化酶/硼氢化钠进行细胞表面标记,对分层和未分层细胞的糖蛋白进行放射性标记。用0.5% Triton X-100提取放射性标记的角质形成细胞,在SDS存在的情况下,通过聚丙烯酰胺凝胶电泳分析Triton X-100可溶性和Triton X-100不溶性部分中的糖蛋白。两种Mr值较高(大于200,000)的Triton X-100可溶性糖蛋白是分层角质形成细胞中的主要糖蛋白,但在未分层角质形成细胞中仅微量存在。通过检查衣霉素对其合成的影响以及神经氨酸酶对其迁移特性的影响来表征这些糖蛋白,结果表明它们是含有O-糖苷键连接寡糖的细胞表面唾液酸糖蛋白。对分层和未分层角质形成细胞进行Triton X-100提取后留下的附着细胞骨架分析显示,Mr为184,000的糖蛋白在分层角质形成细胞中减少。将未分层角质形成细胞在高钙培养基中孵育会导致Mr为184,000的糖蛋白迅速发生改变,提示该事件可能与桥粒形成和分层有关。