Suppr超能文献

一种表皮细胞黏附糖蛋白的鉴定。

Identification of an epidermal cell-adhesion glycoprotein.

作者信息

Roberts G P, Brunt J

出版信息

Biochem J. 1985 Nov 15;232(1):67-70. doi: 10.1042/bj2320067.

Abstract

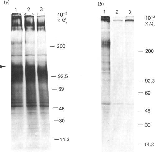
Glycoproteins which mediate intercellular adhesion were studied by comparing the effects of trypsin and the neutral proteinase, Dispase, on human keratinocytes metabolically labelled with D-[1-14C]glucosamine or L-[1-3H]fucose. Whereas digestion of keratinocytes with trypsin/EDTA resulted in loss of both cell-substratum and intercellular adhesion, only cell-substratum adhesion was disrupted by incubation with Dispase. Analysis of the radiolabelled glycoproteins by polyacrylamide-gel electrophoresis revealed that a glycoprotein of Mr 126 000 was cleaved by trypsin/EDTA, but not by Dispase. Surface labelling of keratinocytes with galactose oxidase/NaB3H4 confirmed that this glycoprotein was exposed on the cell surface. Addition of lmM-Ca2+ prevented dispersion of keratinocytes by trypsin and concomitantly protected the glycoprotein of Mr 126 000 from digestion. These results indicate that this glycoprotein has an important role in mediating intercellular adhesion of keratinocytes.

摘要

通过比较胰蛋白酶和中性蛋白酶Dispase对用D-[1-¹⁴C]葡萄糖胺或L-[1-³H]岩藻糖进行代谢标记的人角质形成细胞的作用,研究了介导细胞间粘附的糖蛋白。用胰蛋白酶/EDTA消化角质形成细胞会导致细胞与基质以及细胞间粘附丧失,而用Dispase孵育仅会破坏细胞与基质的粘附。通过聚丙烯酰胺凝胶电泳分析放射性标记的糖蛋白发现,一种分子量为126000的糖蛋白被胰蛋白酶/EDTA切割,但未被Dispase切割。用半乳糖氧化酶/NaB³H₄对角质形成细胞进行表面标记证实该糖蛋白暴露于细胞表面。添加1mM Ca²⁺可防止胰蛋白酶使角质形成细胞分散,并同时保护分子量为126000的糖蛋白不被消化。这些结果表明该糖蛋白在介导角质形成细胞的细胞间粘附中起重要作用。

https://cdn.ncbi.nlm.nih.gov/pmc/blobs/f8da/1152840/867c1c683015/biochemj00291-0070-a.jpg

文献检索

告别复杂PubMed语法,用中文像聊天一样搜索,搜遍4000万医学文献。AI智能推荐,让科研检索更轻松。

立即免费搜索

文件翻译

保留排版,准确专业,支持PDF/Word/PPT等文件格式,支持 12+语言互译。

免费翻译文档

深度研究

AI帮你快速写综述,25分钟生成高质量综述,智能提取关键信息,辅助科研写作。

立即免费体验