• 文献检索
  • 文档翻译
  • 深度研究
  • 学术资讯
  • Suppr Zotero 插件Zotero 插件
  • 邀请有礼
  • 套餐&价格
  • 历史记录
应用&插件
Suppr Zotero 插件Zotero 插件浏览器插件Mac 客户端Windows 客户端微信小程序
定价
高级版会员购买积分包购买API积分包
服务
文献检索文档翻译深度研究API 文档MCP 服务
关于我们
关于 Suppr公司介绍联系我们用户协议隐私条款
关注我们

Suppr 超能文献

核心技术专利:CN118964589B侵权必究
粤ICP备2023148730 号-1Suppr @ 2026

文献检索

告别复杂PubMed语法,用中文像聊天一样搜索,搜遍4000万医学文献。AI智能推荐,让科研检索更轻松。

立即免费搜索

文件翻译

保留排版,准确专业,支持PDF/Word/PPT等文件格式,支持 12+语言互译。

免费翻译文档

深度研究

AI帮你快速写综述,25分钟生成高质量综述,智能提取关键信息,辅助科研写作。

立即免费体验

观察尸体并用 2 毫米长的针进行皮内注射的超声检查。

Observation on cadavers and through ultrasonography using a 2 mm needle length for intradermal injections.

机构信息

Division in Anatomy and Developmental Biology, Department of Oral Biology, Human Identification Research Institute, BK21 FOUR Project, Yonsei University College of Dentistry, 50-1 Yonsei-ro, Seodaemun-gu, Seoul, South Korea.

Maylin Clinic (Apgujeong), Seoul, South Korea.

出版信息

Skin Res Technol. 2023 Nov;29(11):e13529. doi: 10.1111/srt.13529.

DOI:10.1111/srt.13529
PMID:38009043
原文链接:https://pmc.ncbi.nlm.nih.gov/articles/PMC10661215/
Abstract

BACKGROUND

An intradermal injection is a medical procedure that involves administering a small amount of medication or substance into the dermal layer of the skin. This research focused on identifying the most suitable injection needle for precise intradermal administration of skin boosters.

METHODS

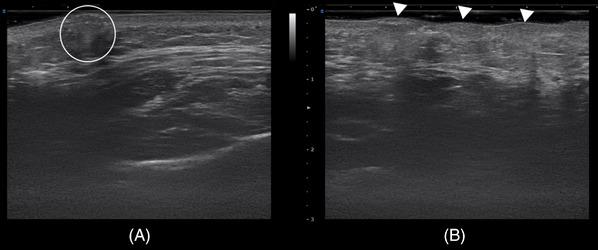
The study involved conducting intradermal injections on four cadavers and participants using a 2 mm length, 34-gauge needle (N-Finders, Inc., South Korea). During the cadaveric study, the polynucleotide prefilled syringe was dyed green, and an anatomist performed dissections, removing only the skin layer. Ultrasonographic observations were carried out to ensure accurate intradermal injection placement.

RESULTS

In all four cadavers, the facial injections at the anterior cheek region were precisely administered intradermally at a 30-degree injection angle. However, the 90-degree injection was found just below the dermal layer upon skin layer removal.

DISCUSSION

The findings suggest that using a 2 mm needle length allows for easy and convenient intradermal injections.

摘要

背景

皮内注射是一种医疗程序,涉及将少量药物或物质注入皮肤的真皮层。本研究专注于确定最适合的注射针,以实现皮肤增强剂的精确皮内给药。

方法

本研究使用 2 毫米长、34 号针(N-Finders,Inc.,韩国)对四名尸体和参与者进行皮内注射。在尸体研究中,多核苷酸预装注射器被染成绿色,解剖学家进行解剖,仅去除皮肤层。进行超声观察以确保准确的皮内注射位置。

结果

在所有四名尸体中,在前侧脸颊区域的面部注射以 30 度的注射角度精确地进行皮内注射。然而,在去除皮肤层后,发现 90 度注射仅位于真皮层下方。

讨论

研究结果表明,使用 2 毫米长的针可方便地进行皮内注射。

https://cdn.ncbi.nlm.nih.gov/pmc/blobs/213e/10661215/e3ba6d816bf6/SRT-29-e13529-g006.jpg
https://cdn.ncbi.nlm.nih.gov/pmc/blobs/213e/10661215/53ed76275475/SRT-29-e13529-g004.jpg
https://cdn.ncbi.nlm.nih.gov/pmc/blobs/213e/10661215/eaef11759667/SRT-29-e13529-g001.jpg
https://cdn.ncbi.nlm.nih.gov/pmc/blobs/213e/10661215/3e84b208581f/SRT-29-e13529-g003.jpg
https://cdn.ncbi.nlm.nih.gov/pmc/blobs/213e/10661215/cc81e53ee7b3/SRT-29-e13529-g005.jpg
https://cdn.ncbi.nlm.nih.gov/pmc/blobs/213e/10661215/003f86c01042/SRT-29-e13529-g002.jpg
https://cdn.ncbi.nlm.nih.gov/pmc/blobs/213e/10661215/e3ba6d816bf6/SRT-29-e13529-g006.jpg
https://cdn.ncbi.nlm.nih.gov/pmc/blobs/213e/10661215/53ed76275475/SRT-29-e13529-g004.jpg
https://cdn.ncbi.nlm.nih.gov/pmc/blobs/213e/10661215/eaef11759667/SRT-29-e13529-g001.jpg
https://cdn.ncbi.nlm.nih.gov/pmc/blobs/213e/10661215/3e84b208581f/SRT-29-e13529-g003.jpg
https://cdn.ncbi.nlm.nih.gov/pmc/blobs/213e/10661215/cc81e53ee7b3/SRT-29-e13529-g005.jpg
https://cdn.ncbi.nlm.nih.gov/pmc/blobs/213e/10661215/003f86c01042/SRT-29-e13529-g002.jpg
https://cdn.ncbi.nlm.nih.gov/pmc/blobs/213e/10661215/e3ba6d816bf6/SRT-29-e13529-g006.jpg

相似文献

1
Observation on cadavers and through ultrasonography using a 2 mm needle length for intradermal injections.观察尸体并用 2 毫米长的针进行皮内注射的超声检查。
Skin Res Technol. 2023 Nov;29(11):e13529. doi: 10.1111/srt.13529.
2
The effect of needle gauge and lidocaine pH on pain during intradermal injection.注射针规格和利多卡因pH值对皮内注射时疼痛的影响。
Anesth Analg. 1998 Feb;86(2):379-81. doi: 10.1097/00000539-199802000-00030.
3
Skin thickness measurements for optimal intradermal injections in children.儿童皮内注射最佳进针深度的皮肤厚度测量。
Vaccine. 2020 Jan 22;38(4):763-768. doi: 10.1016/j.vaccine.2019.11.002. Epub 2019 Nov 22.
4
Investigating the Mechanisms of Intradermal Injection for Easier "Skin Booster" Treatment: A Fluid Mechanics Approach to Determine Optimal Delivery Method.探究皮内注射实现更简便“皮肤增强剂”治疗的机制:一种确定最佳给药方法的流体力学方法
Plast Reconstr Surg Glob Open. 2024 Apr 8;12(4):e5723. doi: 10.1097/GOX.0000000000005723. eCollection 2024 Apr.
5
Jet injection devices for the needle-free administration of compounds, vaccines, and other agents.用于无针注射化合物、疫苗和其他制剂的喷射注射装置。
Int J Pharm Compd. 2013 Jul-Aug;17(4):270-80.
6
Hollow microneedle-mediated micro-injections of a liposomal HPV E7 synthetic long peptide vaccine for efficient induction of cytotoxic and T-helper responses.中空微针介导的脂质体 HPV E7 合成长肽疫苗微注射,可有效诱导细胞毒性和 T 辅助应答。
J Control Release. 2018 Jan 10;269:347-354. doi: 10.1016/j.jconrel.2017.11.035. Epub 2017 Nov 22.
7
Skin and subcutaneous adipose layer thickness in adults with diabetes at sites used for insulin injections: implications for needle length recommendations.糖尿病患者用于胰岛素注射部位的皮肤和皮下脂肪层厚度:对针头长度推荐的影响。
Curr Med Res Opin. 2010 Jun;26(6):1519-30. doi: 10.1185/03007995.2010.481203.
8
Usability evaluation of intradermal adapters (IDA).皮内适配器(IDA)的可用性评估。
Vaccine. 2017 Mar 27;35(14):1797-1801. doi: 10.1016/j.vaccine.2016.07.036. Epub 2016 Aug 3.
9
A Hollow Microneedle Equipped with a Micropillar for Improved Needle Insertion and Injection of Drug Solution.一种带有微柱的空心微针,可改善针的插入和药物溶液的注射。
Pharm Res. 2024 Apr;41(4):819-831. doi: 10.1007/s11095-024-03681-7. Epub 2024 Mar 5.
10
Two- and three-dimensional ultrasound in the development of a needle-free injection system.二维和三维超声在无针注射系统研发中的应用
Br J Radiol. 2004 Mar;77(915):236-42. doi: 10.1259/bjr/13096559.

引用本文的文献

1
A Pilot Study of Differences in Antibody Responses of Intradermal and Intramuscular Injections of Botulinum Toxin Type A.A型肉毒杆菌毒素皮内注射与肌肉注射抗体反应差异的初步研究。
Dermatol Ther (Heidelb). 2025 Sep 5. doi: 10.1007/s13555-025-01530-y.
2
Targeted self-assembled anti-NFκB AuNCs-aptamer nanoplatform for precise theranostics via tailored follicle regeneration.通过定制卵泡再生实现精准诊疗的靶向自组装抗核因子κB金纳米团簇-适配体纳米平台。
Mater Today Bio. 2025 Apr 17;32:101774. doi: 10.1016/j.mtbio.2025.101774. eCollection 2025 Jun.
3
Polynucleotides in Aesthetic Medicine: A Review of Current Practices and Perceived Effectiveness.

本文引用的文献

1
Depth control in follicular unit excision: A new classification from a detailed analysis of 30 patients undergoing FUE technique for hair restoration.毛囊单位提取术中的深度控制:对 30 例行毛发修复 FUE 技术的患者进行详细分析后的新分类。
J Cosmet Dermatol. 2022 Nov;21(11):5977-5983. doi: 10.1111/jocd.15306. Epub 2022 Sep 2.
2
Application of high-frequency ultrasound to assess facial skin thickness in association with gender, age, and BMI in healthy adults.应用高频超声评估健康成年人面部皮肤厚度与性别、年龄和 BMI 的关系。
BMC Med Imaging. 2022 Jun 16;22(1):113. doi: 10.1186/s12880-022-00839-w.
3
A Novel Technique to Reduce Pain from Intradermal Injection of Botulinum Toxin Type A.
美容医学中的多核苷酸:当前实践及感知效果综述。
Int J Mol Sci. 2024 Jul 27;25(15):8224. doi: 10.3390/ijms25158224.
4
Adverse Effects Associated with Dermal Filler Treatments: Part II Vascular Complication.与真皮填充剂治疗相关的不良反应:第二部分 血管并发症
Diagnostics (Basel). 2024 Jul 18;14(14):1555. doi: 10.3390/diagnostics14141555.
5
Consideration of the diameter of superficial temporal arteries related to filler injections in the temporal region.考虑颞区填充物注射与颞浅动脉直径的关系。
Skin Res Technol. 2024 Apr;30(4):e13674. doi: 10.1111/srt.13674.
一种减轻皮内注射A型肉毒杆菌毒素所致疼痛的新技术。
Plast Reconstr Surg Glob Open. 2021 Feb 17;9(2):e3417. doi: 10.1097/GOX.0000000000003417. eCollection 2021 Feb.
4
Biorevitalization of the skin with skin boosters: Concepts, variables, and limitations.皮肤焕活剂的皮肤生物再生:概念、变量和局限性。
J Cosmet Dermatol. 2021 Aug;20(8):2458-2462. doi: 10.1111/jocd.13871. Epub 2020 Dec 8.
5
Are There Differences Between Intradermal and Intramuscular Injections of Botulinum Toxin on the Forehead?额头部位皮内注射和肌内注射肉毒毒素是否存在差异?
Dermatol Surg. 2020 Dec;46(12):e126-e131. doi: 10.1097/DSS.0000000000002379.
6
Regional thickness of facial skin and superficial fat: Application to the minimally invasive procedures.面部皮肤和浅层脂肪的区域性厚度:在微创程序中的应用。
Clin Anat. 2019 Nov;32(8):1008-1018. doi: 10.1002/ca.23331. Epub 2019 Mar 12.
7
A comprehensive examination of topographic thickness of skin in the human face.对面部皮肤地形图厚度的全面检查。
Aesthet Surg J. 2015 Nov;35(8):1007-13. doi: 10.1093/asj/sjv079.
8
Science of Hyaluronic Acid Beyond Filling: Fibroblasts and Their Response to the Extracellular Matrix.透明质酸填充之外的科学:成纤维细胞及其对细胞外基质的反应
Plast Reconstr Surg. 2015 Nov;136(5 Suppl):188S-195S. doi: 10.1097/PRS.0000000000001823.
9
Rejuvenating Effects of Facial Hydrofilling using Restylane Vital.瑞蓝唯瑅面部水光填充的回春效果
Arch Plast Surg. 2015 May;42(3):282-7. doi: 10.5999/aps.2015.42.3.282. Epub 2015 May 14.
10
Morphometric analysis of the human scalp hair follicle: practical implications for the hair transplant surgeon and hair regeneration studies.头皮毛囊的形态计量学分析:对毛发移植医师和毛发再生研究的实际意义。
Dermatol Surg. 2011 Jan;37(1):58-64. doi: 10.1111/j.1524-4725.2010.01809.x. Epub 2010 Nov 11.