Suppr超能文献

病例报告:急性纤维蛋白性和机化性肺炎。

A case report: Acute fibrinous and organizing pneumonia.

机构信息

Department of Respiratory and Critical Care Medicine, Zhongshan City People Hospital, Zhongshan, Guangdong Province, China.

出版信息

Medicine (Baltimore). 2023 Nov 24;102(47):e36093. doi: 10.1097/MD.0000000000036093.

Abstract

RATIONALE

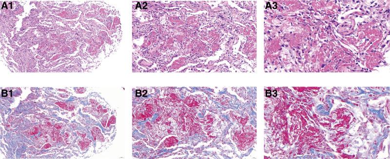
Acute fibrinous and organizing pneumonia (AFOP) is a rare acute or subacute interstitial lung disorder characterized by the deposition of fibrin within the alveoli and organizing pneumonia with a patchy distribution. The clinical features of AFOP are nonspecific, and it is often misdiagnosed as pneumonia, cancer, tuberculosis, or other lung disorders.

PATIENT CONCERNS

In this case report, a 58-year-old woman presented with chest tightness, shortness of breath, cough and sputum. A chest CT scan showed multiple patchy shadows in both lungs. She was initially diagnosed with community-acquired pneumonia. Her purified protein derivative skin test was positive, but sputum was negative for acid-fast bacilli.

DIAGNOSES

AFOP was diagnosed by bronchoscopic lung biopsy and histopathology.

INTERVENTIONS

Following AFOP diagnosis, all anti-infective drugs were discontinued, and replaced by methylprednisolone and prednisone.

OUTCOMES

After 1 week of treatment with methylprednisolone 40 mg daily, the patient chest CT and clinical symptoms improved. After 1 month, the patient symptoms had demonstrated dramatic improvement and CT scan revealed complete absorption of lesions in both lungs. After 5 months of follow-up, the patient symptoms completely disappeared.

LESSONS

Acute AFOP is an uncommon lung condition with poor prognosis; hence, early diagnosis and identification are particularly important. Definitive diagnosis requires histopathological findings. Currently, there is no unified treatment guideline for AFOP, and treatment must be tailored based on the etiology and severity of each individual patient disease. Subacute AFOP shows a good response to corticosteroid treatment.

摘要

背景

急性纤维蛋白性和机化性肺炎(AFOP)是一种罕见的急性或亚急性间质性肺疾病,其特征是肺泡内纤维蛋白沉积和机化性肺炎呈斑片状分布。AFOP 的临床特征是非特异性的,常被误诊为肺炎、癌症、肺结核或其他肺部疾病。

病例介绍

本病例报告中,一名 58 岁女性因胸闷、呼吸急促、咳嗽和咳痰就诊。胸部 CT 扫描显示双肺多个斑片状阴影。她最初被诊断为社区获得性肺炎。她的结核菌素纯蛋白衍生物皮肤试验阳性,但痰抗酸杆菌阴性。

诊断

通过支气管镜肺活检和组织病理学诊断为 AFOP。

干预措施

AFOP 诊断后,停用所有抗感染药物,改用甲泼尼龙和泼尼松。

结果

甲泼尼龙 40mg 每日治疗 1 周后,患者胸部 CT 和临床症状改善。1 个月后,患者症状明显改善,CT 扫描显示双肺病变完全吸收。随访 5 个月后,患者症状完全消失。

结论

急性 AFOP 是一种罕见的肺部疾病,预后不良;因此,早期诊断和识别尤为重要。明确诊断需要组织病理学发现。目前,AFOP 尚无统一的治疗指南,必须根据每个患者疾病的病因和严重程度制定个体化治疗方案。亚急性 AFOP 对皮质类固醇治疗反应良好。

https://cdn.ncbi.nlm.nih.gov/pmc/blobs/18ea/10681495/ab73a6999f68/medi-102-e36093-g001.jpg

文献AI研究员

20分钟写一篇综述,助力文献阅读效率提升50倍。

立即体验

用中文搜PubMed

大模型驱动的PubMed中文搜索引擎

马上搜索

文档翻译

学术文献翻译模型,支持多种主流文档格式。

立即体验