• 文献检索
  • 文档翻译
  • 深度研究
  • 学术资讯
  • Suppr Zotero 插件Zotero 插件
  • 邀请有礼
  • 套餐&价格
  • 历史记录
应用&插件
Suppr Zotero 插件Zotero 插件浏览器插件Mac 客户端Windows 客户端微信小程序
定价
高级版会员购买积分包购买API积分包
服务
文献检索文档翻译深度研究API 文档MCP 服务
关于我们
关于 Suppr公司介绍联系我们用户协议隐私条款
关注我们

Suppr 超能文献

核心技术专利:CN118964589B侵权必究
粤ICP备2023148730 号-1Suppr @ 2026

文献检索

告别复杂PubMed语法,用中文像聊天一样搜索,搜遍4000万医学文献。AI智能推荐,让科研检索更轻松。

立即免费搜索

文件翻译

保留排版,准确专业,支持PDF/Word/PPT等文件格式,支持 12+语言互译。

免费翻译文档

深度研究

AI帮你快速写综述,25分钟生成高质量综述,智能提取关键信息,辅助科研写作。

立即免费体验

表现为肿块样影像学特征的急性纤维素性及机化性肺炎:一例报告

Acute fibrinous and organising pneumonia presenting with mass-like imaging: a case report.

作者信息

Zhou Wei, Zhang Longyun, Xu Bin, Wang Chuanhai

机构信息

Department of Ultrasound, Shengli Oilfield Central Hospital, Dongying, 257034, Shandong, China.

Department of Pathology, Shengli Oilfield Central Hospital, Dongying, 257034, Shandong, China.

出版信息

Diagn Pathol. 2025 Apr 26;20(1):53. doi: 10.1186/s13000-025-01654-x.

DOI:10.1186/s13000-025-01654-x
PMID:40287744
原文链接:https://pmc.ncbi.nlm.nih.gov/articles/PMC12034166/
Abstract

OBJECTIVE

This case report describes a patient with acute fibrinous and organising pneumonia (AFOP) presenting with mass-like imaging on chest computed tomography (CT), aiming to enhance clinical awareness of this rare disease.

CASE PRESENTATION

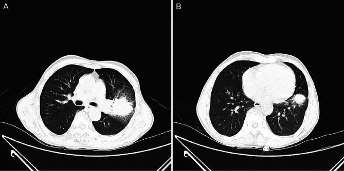
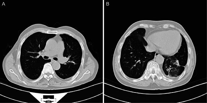
A 66-year-old man presented with cough, sputum, chest tightness and weight loss persisting for 1 month. Chest X-ray revealed a space-occupying lesion in the left lung. Further CT imaging demonstrated irregular soft tissue masses in both the upper and lower lobes of the left lung. Although the imaging findings suggested lung cancer, the final pathological diagnosis confirmed AFOP. The patient was treated with methylprednisolone, resulting in substantial improvement of the upper lobe lesion, whereas the lower lobe lesion showed minimal response. Following the addition of mycophenolate mofetil, the lower lobe lesion decreased substantially. Multiple lung biopsies confirmed the diagnosis of AFOP, with no evidence of a malignant tumour.

CONCLUSIONS

Acute fibrinous and organising pneumonia presents with non-specific imaging findings, and when manifesting as a mass-like lesion, it may be misdiagnosed as lung cancer. Pathological examination remains essential for diagnosis. Close monitoring of the clinical response is crucial during treatment, and the treatment plan should be tailored to individual patient needs.

摘要

目的

本病例报告描述了一名患有急性纤维素性机化性肺炎(AFOP)的患者,其胸部计算机断层扫描(CT)显示有肿块样影像,旨在提高对这种罕见疾病的临床认识。

病例介绍

一名66岁男性,出现咳嗽、咳痰、胸闷和体重减轻症状持续1个月。胸部X线显示左肺有占位性病变。进一步的CT成像显示左肺上叶和下叶均有不规则软组织肿块。尽管影像学表现提示肺癌,但最终病理诊断确诊为AFOP。患者接受甲泼尼龙治疗后,上叶病变有显著改善,而下叶病变反应极小。加用霉酚酸酯后,下叶病变明显缩小。多次肺活检确诊为AFOP,无恶性肿瘤证据。

结论

急性纤维素性机化性肺炎表现为非特异性影像学表现,当表现为肿块样病变时,可能被误诊为肺癌。病理检查对于诊断仍然至关重要。治疗期间密切监测临床反应至关重要,治疗方案应根据患者个体需求制定。

https://cdn.ncbi.nlm.nih.gov/pmc/blobs/161b/12034166/36e62f41f088/13000_2025_1654_Fig6_HTML.jpg
https://cdn.ncbi.nlm.nih.gov/pmc/blobs/161b/12034166/68ab0609ec54/13000_2025_1654_Fig1_HTML.jpg
https://cdn.ncbi.nlm.nih.gov/pmc/blobs/161b/12034166/a7f9e44465e4/13000_2025_1654_Fig2_HTML.jpg
https://cdn.ncbi.nlm.nih.gov/pmc/blobs/161b/12034166/2a6d8ac29f0f/13000_2025_1654_Fig3_HTML.jpg
https://cdn.ncbi.nlm.nih.gov/pmc/blobs/161b/12034166/d3ae6db92935/13000_2025_1654_Fig4_HTML.jpg
https://cdn.ncbi.nlm.nih.gov/pmc/blobs/161b/12034166/9b7605fd5e3e/13000_2025_1654_Fig5_HTML.jpg
https://cdn.ncbi.nlm.nih.gov/pmc/blobs/161b/12034166/36e62f41f088/13000_2025_1654_Fig6_HTML.jpg
https://cdn.ncbi.nlm.nih.gov/pmc/blobs/161b/12034166/68ab0609ec54/13000_2025_1654_Fig1_HTML.jpg
https://cdn.ncbi.nlm.nih.gov/pmc/blobs/161b/12034166/a7f9e44465e4/13000_2025_1654_Fig2_HTML.jpg
https://cdn.ncbi.nlm.nih.gov/pmc/blobs/161b/12034166/2a6d8ac29f0f/13000_2025_1654_Fig3_HTML.jpg
https://cdn.ncbi.nlm.nih.gov/pmc/blobs/161b/12034166/d3ae6db92935/13000_2025_1654_Fig4_HTML.jpg
https://cdn.ncbi.nlm.nih.gov/pmc/blobs/161b/12034166/9b7605fd5e3e/13000_2025_1654_Fig5_HTML.jpg
https://cdn.ncbi.nlm.nih.gov/pmc/blobs/161b/12034166/36e62f41f088/13000_2025_1654_Fig6_HTML.jpg

相似文献

1
Acute fibrinous and organising pneumonia presenting with mass-like imaging: a case report.表现为肿块样影像学特征的急性纤维素性及机化性肺炎:一例报告
Diagn Pathol. 2025 Apr 26;20(1):53. doi: 10.1186/s13000-025-01654-x.
2
Acute fibrinous and organizing pfneumonia: two case reports and literature review.急性纤维蛋白性和机化性肺炎:两例病例报告及文献复习。
Diagn Pathol. 2021 Oct 10;16(1):90. doi: 10.1186/s13000-021-01155-7.
3
A case report: Acute fibrinous and organizing pneumonia.病例报告:急性纤维蛋白性和机化性肺炎。
Medicine (Baltimore). 2023 Nov 24;102(47):e36093. doi: 10.1097/MD.0000000000036093.
4
Acute fibrinous organising pneumonia presenting as a cavitary lung lesion and treatment response to azithromycin.表现为肺空洞性病变的急性纤维蛋白性机化性肺炎及对阿奇霉素的治疗反应
BMJ Case Rep. 2019 Aug 21;12(8):e230868. doi: 10.1136/bcr-2019-230868.
5
Acute fibrinous and organising pneumonia.急性纤维素性机化性肺炎
BMJ Case Rep. 2017 Sep 7;2017:bcr-2016-218802. doi: 10.1136/bcr-2016-218802.
6
A comparison of the pathological, clinical and radiographical, features of cryptogenic organising pneumonia, acute fibrinous and organising pneumonia and granulomatous organising pneumonia.隐源性机化性肺炎、急性纤维素性机化性肺炎和肉芽肿性机化性肺炎的病理、临床及影像学特征比较
J Clin Pathol. 2015 Jun;68(6):441-7. doi: 10.1136/jclinpath-2014-202626. Epub 2015 Mar 5.
7
Severe acute fibrinous and organizing pneumonia (AFOP) causing ventilatory failure: successful treatment with mycophenolate mofetil and corticosteroids.严重急性纤维蛋白性和机化性肺炎(AFOP)导致呼吸衰竭:霉酚酸酯和皮质类固醇治疗成功。
Respir Med. 2009 Nov;103(11):1764-7. doi: 10.1016/j.rmed.2009.07.009. Epub 2009 Aug 8.
8
A case of herbicide-induced acute fibrinous and organizing pneumonia?除草剂诱导性急性纤维蛋白性和机化性肺炎 1 例?
BMC Pulm Med. 2017 Dec 13;17(1):203. doi: 10.1186/s12890-017-0547-7.
9
[The clinicopathological features of acute fibrinous and organizing pneumonia].[急性纤维素性及机化性肺炎的临床病理特征]
Zhonghua Jie He He Hu Xi Za Zhi. 2013 Jun;36(6):425-30.
10
Acute fibrinous and organising pneumonia: a rare histopathological variant of chemotherapy-induced lung injury.急性纤维素性及机化性肺炎:化疗所致肺损伤的一种罕见组织病理学变异型。
BMJ Case Rep. 2016 Apr 6;2016:bcr2016214721. doi: 10.1136/bcr-2016-214721.

本文引用的文献

1
Acute fibrinous and organizing pneumonia associated with Candida: A case report.与念珠菌相关的急性纤维素性机化性肺炎:一例报告
Respir Med Case Rep. 2024 Sep 29;52:102120. doi: 10.1016/j.rmcr.2024.102120. eCollection 2024.
2
Acute fibrinous and organizing pneumonia (AFOP): A case series.急性纤维素性机化性肺炎(AFOP):病例系列
Qatar Med J. 2024 Mar 24;2024(2):11. doi: 10.5339/qmj.2024.qitc.11. eCollection 2024.
3
A case report: Acute fibrinous and organizing pneumonia.病例报告:急性纤维蛋白性和机化性肺炎。
Medicine (Baltimore). 2023 Nov 24;102(47):e36093. doi: 10.1097/MD.0000000000036093.
4
Clinical features of acute fibrinous and organizing pneumonia: An early histologic pattern of various acute inflammatory lung diseases.急性纤维蛋白性和机化性肺炎的临床特征:各种急性炎症性肺疾病的早期组织学模式。
PLoS One. 2021 Apr 1;16(4):e0249300. doi: 10.1371/journal.pone.0249300. eCollection 2021.
5
Acute fibrinous and organizing pneumonia: Imaging features, pathologic correlation, and brief literature review.急性纤维素性机化性肺炎:影像学特征、病理相关性及文献简要综述
Radiol Case Rep. 2018 Jun 30;13(4):867-870. doi: 10.1016/j.radcr.2018.04.028. eCollection 2018 Aug.
6
Acute fibrinous and organizing pneumonia as initial presentation of primary Sjögren's syndrome: a case report and literature review.急性纤维蛋白性和机化性肺炎作为原发性干燥综合征的首发表现:病例报告及文献复习。
Clin Rheumatol. 2018 Jul;37(7):2001-2005. doi: 10.1007/s10067-018-4128-9. Epub 2018 May 2.
7
Acute fibrinous and organizing pneumonia: A case report and literature review.急性纤维素性机化性肺炎:一例病例报告及文献综述
Exp Ther Med. 2016 Dec;12(6):3958-3962. doi: 10.3892/etm.2016.3865. Epub 2016 Nov 3.
8
A case report of acute fibrinous and organizing pneumonia with pneumothorax and avian exposure history.一例伴有气胸且有禽类接触史的急性纤维素性机化性肺炎病例报告。
Clin Respir J. 2018 Feb;12(2):811-815. doi: 10.1111/crj.12553. Epub 2016 Sep 23.
9
Acute fibrinous and organizing pneumonia: A report of 13 cases in a tertiary university hospital.急性纤维素性机化性肺炎:一所三级大学医院13例报告
Medicine (Baltimore). 2016 Jul;95(27):e4073. doi: 10.1097/MD.0000000000004073.
10
A comparison of the pathological, clinical and radiographical, features of cryptogenic organising pneumonia, acute fibrinous and organising pneumonia and granulomatous organising pneumonia.隐源性机化性肺炎、急性纤维素性机化性肺炎和肉芽肿性机化性肺炎的病理、临床及影像学特征比较
J Clin Pathol. 2015 Jun;68(6):441-7. doi: 10.1136/jclinpath-2014-202626. Epub 2015 Mar 5.