Suppr超能文献

激活转录因子 5 通过诱导凋亡抵抗促进神经母细胞瘤转移。

Activating Transcription Factor 5 Promotes Neuroblastoma Metastasis by Inducing Anoikis Resistance.

机构信息

Department of Pediatrics, Columbia University Irving Medical Center, New York, New York.

Department of Radiation Oncology, Columbia University Irving Medical Center, New York, New York.

出版信息

Cancer Res Commun. 2023 Dec 12;3(12):2518-2530. doi: 10.1158/2767-9764.CRC-23-0154.

Abstract

UNLABELLED

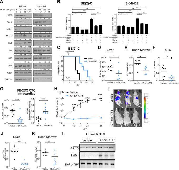
MYCN-amplified neuroblastoma often presents as a highly aggressive metastatic disease with a poor prognosis. Activating transcription factor 5 (ATF5) is implicated in neural cell differentiation and cancer cell survival. Here, we show that ATF5 is highly expressed in patients with stage 4 high-risk neuroblastoma, with increased expression correlating with a poorer prognosis. We demonstrated that ATF5 promotes the metastasis of neuroblastoma cell lines in vivo. Functionally, ATF5 depletion significantly reduced xenograft tumor growth and metastasis of neuroblastoma cells to the bone marrow and liver. Mechanistically, ATF5 endows tumor cells with resistance to anoikis, thereby increasing their survival in systemic circulation and facilitating metastasis. We identified the proapoptotic BCL-2 modifying factor (BMF) as a critical player in ATF5-regulated neuroblastoma anoikis. ATF5 suppresses BMF under suspension conditions at the transcriptional level, promoting anoikis resistance, whereas BMF knockdown significantly prevents ATF5 depletion-induced anoikis. Therapeutically, we showed that a cell-penetrating dominant-negative ATF5 peptide, CP-d/n-ATF5, inhibits neuroblastoma metastasis to the bone marrow and liver by inducing anoikis sensitivity in circulating tumor cells. Our study identified ATF5 as a metastasis promoter and CP-d/n-ATF5 as a potential antimetastatic therapeutic agent for neuroblastoma.

SIGNIFICANCE

This study shows that resistance to anoikis in neuroblastoma is mediated by ATF5 and offers a rationale for targeting ATF5 to treat metastatic neuroblastoma.

摘要

未标记

MYCN 扩增的神经母细胞瘤常表现为高度侵袭性转移性疾病,预后不良。激活转录因子 5(ATF5)参与神经细胞分化和癌细胞存活。在这里,我们表明 ATF5 在 4 期高危神经母细胞瘤患者中高度表达,表达增加与预后不良相关。我们证明 ATF5 促进神经母细胞瘤细胞系在体内的转移。功能上,ATF5 耗竭显著降低了神经母细胞瘤细胞异种移植肿瘤的生长和转移到骨髓和肝脏。从机制上讲,ATF5 赋予肿瘤细胞对失巢凋亡的抗性,从而增加其在全身循环中的存活并促进转移。我们确定了促凋亡 BCL-2 修饰因子(BMF)作为 ATF5 调节的神经母细胞瘤失巢凋亡的关键因子。ATF5 在悬浮条件下在转录水平上抑制 BMF,从而促进失巢凋亡抗性,而 BMF 敲低则显著阻止 ATF5 耗竭诱导的失巢凋亡。在治疗上,我们表明,一种穿透细胞的显性负 ATF5 肽 CP-d/n-ATF5 通过诱导循环肿瘤细胞对失巢凋亡的敏感性来抑制神经母细胞瘤向骨髓和肝脏的转移。我们的研究确定了 ATF5 作为转移促进剂和 CP-d/n-ATF5 作为神经母细胞瘤潜在的抗转移治疗剂。

意义

本研究表明神经母细胞瘤中的失巢凋亡抗性是由 ATF5 介导的,并为靶向 ATF5 治疗转移性神经母细胞瘤提供了依据。

https://cdn.ncbi.nlm.nih.gov/pmc/blobs/efe8/10714915/9053dc0058f4/crc-23-0154_fig1.jpg

文献检索

告别复杂PubMed语法,用中文像聊天一样搜索,搜遍4000万医学文献。AI智能推荐,让科研检索更轻松。

立即免费搜索

文件翻译

保留排版,准确专业,支持PDF/Word/PPT等文件格式,支持 12+语言互译。

免费翻译文档

深度研究

AI帮你快速写综述,25分钟生成高质量综述,智能提取关键信息,辅助科研写作。

立即免费体验