Suppr超能文献

分期经血管内三联入路修复腹主动脉瘤破裂继发的主动脉腔静脉瘘。

Staged triple endovascular approach for repair of aortocaval fistula secondary to ruptured abdominal aortic aneurysm.

作者信息

McDonald Molly, Robinson Eric, Singh Harmandeep

机构信息

Division of Vascular Surgery, Department of Surgery, Mount Sinai South Nassau, Mount Sinai Health System, New York, NY.

出版信息

J Vasc Surg Cases Innov Tech. 2023 Sep 27;9(4):101335. doi: 10.1016/j.jvscit.2023.101335. eCollection 2023 Dec.

Abstract

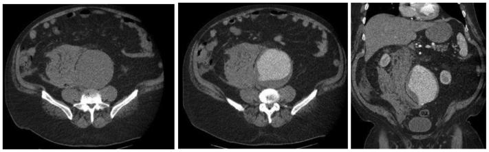
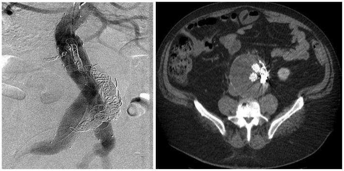
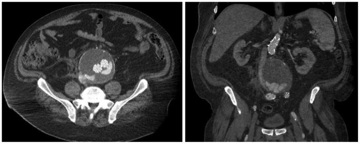
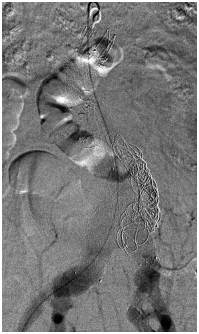
A primary aortocaval fistula (ACF) is a rare complication of abdominal aortic aneurysms caused by erosion of the aortic wall into the vena cava. It is more frequently observed in the setting of ruptured abdominal aortic aneurysms and presents a unique challenge for vascular surgeons. Both open and endovascular techniques exist, with the main differences being perioperative mortality and recurrence rates. We present a case of an ACF diagnosed intraoperatively, which persisted after endovascular aneurysm repair in conjunction with a type II endoleak. We applied a unique staged, triple endovascular approach to close the ACF via caval and aortic exclusion of inflow and outflow vessels.

摘要

原发性主动脉腔静脉瘘(ACF)是腹主动脉瘤的一种罕见并发症,由主动脉壁侵蚀进入腔静脉所致。在破裂性腹主动脉瘤中更常观察到,对血管外科医生构成独特挑战。开放手术和血管内技术都存在,主要区别在于围手术期死亡率和复发率。我们报告一例术中诊断为ACF的病例,该病例在血管内动脉瘤修复术后伴有II型内漏持续存在。我们采用了一种独特的分期、三重血管内方法,通过腔静脉和主动脉对流入和流出血管的封堵来闭合ACF。

https://cdn.ncbi.nlm.nih.gov/pmc/blobs/697c/10654583/da4e7417aa1f/gr1.jpg

文献AI研究员

20分钟写一篇综述,助力文献阅读效率提升50倍。

立即体验

用中文搜PubMed

大模型驱动的PubMed中文搜索引擎

马上搜索

文档翻译

学术文献翻译模型,支持多种主流文档格式。

立即体验