Suppr超能文献

一种基于超声图像定量纹理分析的恶性大唾液腺肿瘤新型预测模型

A Novel Prediction Model Based on Quantitative Texture Analysis of Sonographic Images for Malignant Major Salivary Glandular Tumors.

作者信息

Lo Wu-Chia, Cheng Ping-Chia, Hsu Wan-Lun, Cheng Po-Wen, Liao Li-Jen

机构信息

Department of Otolaryngology Head and Neck Surgery, Far Eastern Memorial Hospital, New Taipei, Taiwan.

Head and Neck Cancer Surveillance and Research Study Group, Far Eastern Memorial Hospital, New Taipei City, Taiwan.

出版信息

J Med Ultrasound. 2023 Jan 24;31(3):218-222. doi: 10.4103/jmu.jmu_65_22. eCollection 2023 Jul-Sep.

Abstract

BACKGROUND

The aim of this study was to compare multiple objective ultrasound (US) texture features and develop an objective predictive model for predicting malignant major salivary glandular tumors.

METHODS

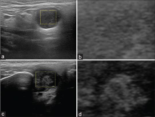
From August 2007 to May 2018, 144 adult patients who had major salivary gland tumors and subsequently underwent surgery were recruited for this study. Representative brightness mode US pictures were selected for texture analysis and used to develop a prediction model.

RESULTS

We found that the grayscale intensity and standard deviation of the intensity were significantly different between malignant and pleomorphic adenomas. The contrast, inverse difference (INV) movement, entropy, dissimilarity, and INV also differed significantly between benign and malignant tumors. We used stepwise selection of predictors to develop an objective predictive model, as follows: Score = 1.138 × Age - 1.814 × Intensity + 1.416 × Entropy + 1.714 × Contrast. With an optimal cutoff of 0.58, the diagnostic performance of this model had a sensitivity, specificity, overall accuracy, and area under the curve of 83% (95% confidence interval [CI]: 74%-92%), 74% (65%-84%), 78% (72%-85%), and 0.86 (0.80-0.92), respectively.

CONCLUSION

We have developed a novel computerized diagnostic model based on objective US features to predict malignant major salivary gland tumor. Further improving the computer-aided diagnosis model might change the US examination for major salivary gland tumors in the future.

摘要

背景

本研究旨在比较多种客观超声(US)纹理特征,并开发一种用于预测恶性大唾液腺肿瘤的客观预测模型。

方法

从2007年8月至2018年5月,招募了144例患有大唾液腺肿瘤并随后接受手术的成年患者进行本研究。选择代表性的亮度模式超声图像进行纹理分析,并用于开发预测模型。

结果

我们发现恶性肿瘤和多形性腺瘤之间的灰度强度和强度标准差存在显著差异。良性和恶性肿瘤之间的对比度、逆差(INV)移动、熵、差异度和INV也有显著差异。我们使用逐步选择预测因子的方法开发了一种客观预测模型,如下所示:评分=1.138×年龄-1.814×强度+1.416×熵+1.714×对比度。在最佳临界值为0.58时,该模型的诊断性能的灵敏度、特异度、总体准确率和曲线下面积分别为83%(95%置信区间[CI]:74%-92%)、74%(65%-84%)、78%(72%-85%)和0.86(0.80-0.92)。

结论

我们基于客观超声特征开发了一种新型计算机诊断模型,以预测恶性大唾液腺肿瘤。进一步改进计算机辅助诊断模型可能会在未来改变大唾液腺肿瘤的超声检查方式。

https://cdn.ncbi.nlm.nih.gov/pmc/blobs/707b/10668912/43acc2ad1fb2/JMU-31-218-g001.jpg

文献AI研究员

20分钟写一篇综述,助力文献阅读效率提升50倍。

立即体验

用中文搜PubMed

大模型驱动的PubMed中文搜索引擎

马上搜索

文档翻译

学术文献翻译模型,支持多种主流文档格式。

立即体验