Suppr超能文献

隐形眼镜佩戴者因[具体病因未给出]引起的角膜炎。

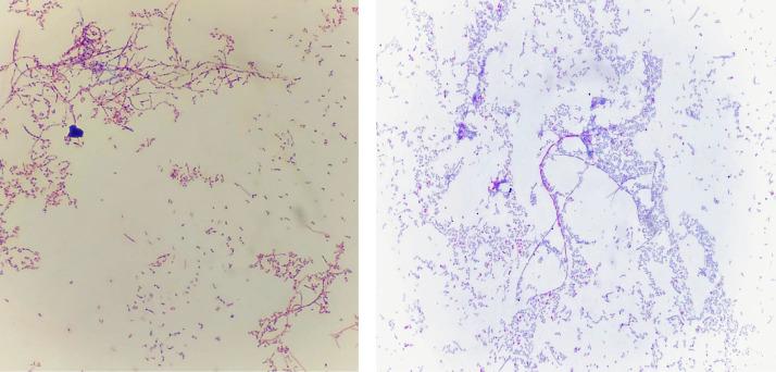
Keratitis caused by in a contact lens wearer.

作者信息

Hegazy Shaymaa, Phan Tung

机构信息

Department of Pathology, University of Pittsburgh, Pittsburgh, PA, USA.

出版信息

Infect Med (Beijing). 2022 Apr 28;1(2):143-145. doi: 10.1016/j.imj.2022.04.001. eCollection 2022 Jun.

Abstract

Bacterial keratitis is an infection of the cornea. This kind of infection can progress quickly and if left untreated, it can eventually cause complete blindness. While and are most commonly responsible for this type of infection in the United States, spp. is rarely encountered. Here we describe an interesting case of keratitis in a 31-year-old male patient having an extended wear of contact lenses. The patient presented at the emergency department with irritation, foreign body sensation, redness, and pain of his left eye. was isolated from a corneal scraping specimen, and determined by sequencing a region of 16S rRNA gene. The patient had antimicrobial therapy with good improvement. We highlight the important role of in causing keratitis, and its accurate and timely diagnosis is needed to avoid poor visual outcomes.

摘要

细菌性角膜炎是角膜的一种感染。这种感染进展迅速,如果不治疗,最终可能导致完全失明。在美国,[具体细菌名称1]和[具体细菌名称2]是这类感染最常见的病因,而[具体细菌名称3]属很少见。在此,我们描述一例31岁长期佩戴隐形眼镜的男性患者发生[具体细菌名称3]角膜炎的有趣病例。该患者因左眼刺激感、异物感、发红和疼痛就诊于急诊科。从角膜刮片标本中分离出[具体细菌名称3],并通过对16S rRNA基因的一个区域进行测序来确定。患者接受抗菌治疗后病情明显改善。我们强调了[具体细菌名称3]在引起角膜炎中的重要作用,需要准确及时的诊断以避免不良视觉预后。

https://cdn.ncbi.nlm.nih.gov/pmc/blobs/d51a/10699687/27893386e130/gr1.jpg

文献AI研究员

20分钟写一篇综述,助力文献阅读效率提升50倍。

立即体验

用中文搜PubMed

大模型驱动的PubMed中文搜索引擎

马上搜索

文档翻译

学术文献翻译模型,支持多种主流文档格式。

立即体验