Suppr超能文献

结节部骨脂肪瘤:在一名精神分裂症患者中的偶然发现。

Osteolipoma of tubercinerium: An incidental finding in a patient with schizophrenia.

作者信息

Maravi Poornima, Kaushal Lovely, Uikey Anita, Sarker Malay, Sachdeva Kunika

机构信息

Department of Radiology, Gandhi Medical College and Hamidia hospital, Bhopal, Madhya Pradesh, India.

出版信息

Radiol Case Rep. 2023 Nov 28;19(2):695-699. doi: 10.1016/j.radcr.2023.09.054. eCollection 2024 Feb.

Abstract

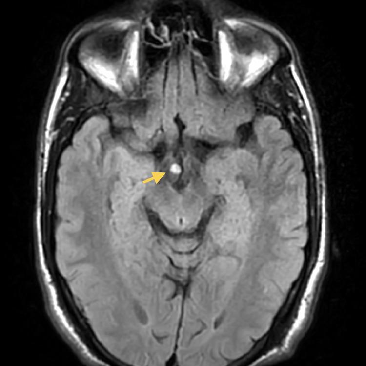
A 45-year-old male patient with clinically suspected schizophrenia was referred for an MRI brain to look for organicity. An incidental lesion was noted on the right side of the tubercinerium with suspicious findings of osteolipoma. T1 and T2 weighted sequences showed a hyper-intense lesion suggestive of fatty intensity or hemorrhage. A homogenous blooming artefact was seen on gradient imaging suggestive of a calcific/hemorrhagic element. The referring clinician was conveyed the findings asking about the need for further imaging by CT. The patient was started on antipsychotics for schizophrenia. One week later, a CT head was obtained, which showed a fatty density lesion with a smooth, peripheral rim of hyperdensity. The HU value matched rim calcification suggesting radiological diagnosis of osteolipoma. The patient was kept under close observation and no specific therapy was guided to this lesion. The patient was responding well to pharmacotherapy (in terms of control of symptoms) confirming osteolipoma as an incidental finding. This case report establishes the role of adequate imaging in subtle brain lesions which may mimic primary lesion-producing neurological symptoms. The importance of clinical judgment and follow-up in guiding suitable therapy is also highlighted.

摘要

一名45岁男性患者,临床怀疑患有精神分裂症,因排查器质性病变接受脑部MRI检查。在松果体右侧发现一个意外病变,怀疑为骨脂瘤。T1加权序列和T2加权序列显示一个高强度病变,提示为脂肪密度或出血。梯度成像上可见均匀的磁敏感伪影,提示存在钙化/出血成分。已将检查结果告知转诊的临床医生,并询问是否需要进一步进行CT成像检查。该患者开始使用抗精神病药物治疗精神分裂症。一周后,进行了头颅CT检查,结果显示一个脂肪密度病变,周边有光滑的高密度边缘。HU值与边缘钙化相符,提示骨脂瘤的影像学诊断。该患者接受密切观察,未针对此病变进行特殊治疗。患者对药物治疗反应良好(症状得到控制),证实骨脂瘤为偶然发现。本病例报告确立了充分成像在可能模拟原发性病变所致神经症状的细微脑部病变中的作用。同时也强调了临床判断和随访在指导合适治疗方面的重要性。

https://cdn.ncbi.nlm.nih.gov/pmc/blobs/c7b0/10698249/192dc8714f4c/gr1.jpg

相似文献

1
Osteolipoma of tubercinerium: An incidental finding in a patient with schizophrenia.
Radiol Case Rep. 2023 Nov 28;19(2):695-699. doi: 10.1016/j.radcr.2023.09.054. eCollection 2024 Feb.
2
Osteolipoma in the Forearm.
J Clin Imaging Sci. 2018 May 3;8:20. doi: 10.4103/jcis.JCIS_80_17. eCollection 2018.
3
A rare intramuscular osteolipoma: A case report.
Int J Surg Case Rep. 2020;67:258-261. doi: 10.1016/j.ijscr.2020.01.023. Epub 2020 Jan 25.
4
Isolated dorsal column dysfunction due to an intraspinal Osteolipoma - Case report and review of literature.
J Clin Orthop Trauma. 2016 Oct-Dec;7(Suppl 1):2-4. doi: 10.1016/j.jcot.2016.11.007. Epub 2016 Nov 29.
5
Osteolipoma of the knee.
Radiol Case Rep. 2016 Nov 23;12(1):124-129. doi: 10.1016/j.radcr.2016.10.015. eCollection 2017 Mar.
6
Lumbar Intraspinal Osteolipoma Presenting as Cauda Equina Syndrome: A Case Report and Review of Literature.
Case Rep Orthop. 2018 Oct 22;2018:1945149. doi: 10.1155/2018/1945149. eCollection 2018.
7
Interhemispheric osteolipoma with agenesis of the corpus callosum.
J Korean Neurosurg Soc. 2010 Feb;47(2):148-50. doi: 10.3340/jkns.2010.47.2.148. Epub 2010 Feb 28.
8
An Intramedullary Osteolipoma of the Upper Thoracic Spinal Cord: A Case Report.
JBJS Case Connect. 2016 Jul-Sep;6(3):e80. doi: 10.2106/JBJS.CC.16.00025.
10
Osteolipoma independent of bone tissue: a case report.
Cases J. 2009 Sep 1;2:8711. doi: 10.4076/1757-1626-2-8711.

引用本文的文献

1
Giant Ossifying Lipoma of the Hand: A Case Report and Review of Literature.
Cureus. 2024 Apr 7;16(4):e57760. doi: 10.7759/cureus.57760. eCollection 2024 Apr.

本文引用的文献

1
Symptomatic osteolipoma of the tuber cinereum masquerading as calcified retroclival mass.
J Clin Neurosci. 2015 Jun;22(6):1045-51. doi: 10.1016/j.jocn.2014.11.038. Epub 2015 Mar 29.
2
Scapular osteochondrolipoma: Imaging features with pathological correlation.
Oncol Lett. 2013 Sep;6(3):817-820. doi: 10.3892/ol.2013.1455. Epub 2013 Jul 11.
3
Osteolipoma of the nasopharynx.
J Craniofac Surg. 2007 Sep;18(5):1176-9. doi: 10.1097/scs.0b013e31814b2b61.
4
Intracranial lipomas--a clinical study.
Clin Neurol Neurosurg. 2006 Jun;108(4):363-8. doi: 10.1016/j.clineuro.2005.04.003.
5
Hypothalamic osteolipoma: a case report.
Gen Diagn Pathol. 1997 Jun;142(5-6):361-4.
6
Osteolipomas of the tuber cinereum.
Arch Pathol Lab Med. 1977 Jul;101(7):369-72.

文献AI研究员

20分钟写一篇综述,助力文献阅读效率提升50倍。

立即体验

用中文搜PubMed

大模型驱动的PubMed中文搜索引擎

马上搜索

文档翻译

学术文献翻译模型,支持多种主流文档格式。

立即体验