Section of Neuropathology, Department of Pathology and Laboratory Medicine, Ronald Reagan UCLA Medical Center and David Geffen School of Medicine, University of California, Los Angeles, California, USA.
Department of Biomedical, Surgical and Dental Sciences, University of Milan, Milan, Italy.
J Neuropathol Exp Neurol. 2024 Jan 19;83(2):72-78. doi: 10.1093/jnen/nlad107.
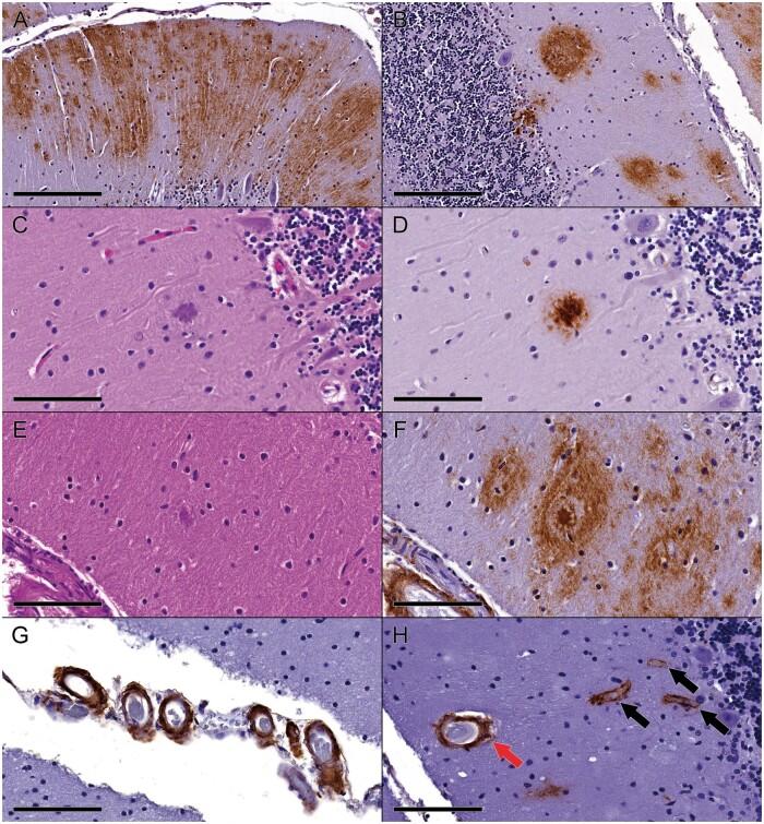
Cerebellar amyloid-β (Aβ) plaques are a component of the diagnostic criteria used in Thal staging and ABC scoring for Alzheimer disease (AD) neuropathologic change. However, Aβ deposits in this anatomic compartment are unique and under-characterized; and their relationship with other pathological findings are largely undefined. In 73 cases of pure or mixed AD with an A3 score in the ABC criteria, parenchymal (plaques) and vascular (cerebral amyloid angiopathy [CAA]) cerebellar Aβ-42 deposits were characterized with respect to localization, morphology, density, and intensity. Over 85% of cases demonstrated cerebellar Aβ-42 parenchymal staining that correlated with a Braak stage V-VI/B3 score (p < 0.01). Among the 63 with cerebellar Aβ-42 deposits, a diffuse morphology was observed in 75% of cases, compact without a central dense core in 32%, and compact with a central dense core in 16% (all corresponding to plaques evident on hematoxylin and eosin staining). Cases with Purkinje cell (PC) loss showed higher proportions of PC layer Aβ-42 staining than cases without PC loss (88% vs 44%, p = 0.02), suggesting a link between Aβ-42 deposition and PC damage. Among all 73 cases, CAA was observed in the parenchymal vessels of 19% of cases and in leptomeningeal vessels in 44% of cases.
小脑淀粉样-β (Aβ) 斑块是 Thal 分期和 ABC 评分用于阿尔茨海默病 (AD) 神经病理改变的诊断标准的组成部分。然而,该解剖部位的 Aβ 沉积是独特且特征不明显的;它们与其他病理发现的关系在很大程度上尚未确定。在 73 例 ABC 标准中 A3 评分的纯或混合 AD 病例中,对实质(斑块)和血管(脑淀粉样血管病 [CAA])小脑 Aβ-42 沉积进行了定位、形态、密度和强度特征分析。超过 85%的病例表现出与 Braak 阶段 V-VI/B3 评分相关的小脑 Aβ-42 实质染色(p<0.01)。在 63 例有小脑 Aβ-42 沉积的病例中,75%的病例观察到弥漫性形态,32%的病例无中央致密核心的致密形态,16%的病例有中央致密核心的致密形态(所有这些都对应于苏木精和伊红染色上可见的斑块)。出现浦肯野细胞(PC)丢失的病例比没有 PC 丢失的病例具有更高比例的 PC 层 Aβ-42 染色(88%对 44%,p=0.02),提示 Aβ-42 沉积与 PC 损伤之间存在联系。在所有 73 例病例中,19%的病例实质血管中观察到 CAA,44%的病例软脑膜血管中观察到 CAA。