• 文献检索
  • 文档翻译
  • 深度研究
  • 学术资讯
  • Suppr Zotero 插件Zotero 插件
  • 邀请有礼
  • 套餐&价格
  • 历史记录
应用&插件
Suppr Zotero 插件Zotero 插件浏览器插件Mac 客户端Windows 客户端微信小程序
定价
高级版会员购买积分包购买API积分包
服务
文献检索文档翻译深度研究API 文档MCP 服务
关于我们
关于 Suppr公司介绍联系我们用户协议隐私条款
关注我们

Suppr 超能文献

核心技术专利:CN118964589B侵权必究
粤ICP备2023148730 号-1Suppr @ 2026

文献检索

告别复杂PubMed语法,用中文像聊天一样搜索,搜遍4000万医学文献。AI智能推荐,让科研检索更轻松。

立即免费搜索

文件翻译

保留排版,准确专业,支持PDF/Word/PPT等文件格式,支持 12+语言互译。

免费翻译文档

深度研究

AI帮你快速写综述,25分钟生成高质量综述,智能提取关键信息,辅助科研写作。

立即免费体验

马蹄肾患者的巨大肾淋巴瘤:一例报告

Large renal lymphoma in a patient with horseshoe kidney: A case report.

作者信息

Iovino Francesco, Mongardini Federico Maria, Balestrucci Giovanni, Regginelli Alfonso, Ronchi Andrea, Ferrara Maria Giovanna, Parisi Simona, Gambardella Claudio, Lucido Francesco Saverio, Tolone Salvatore, Ruggiero Roberto, Docimo Ludovico

机构信息

Department of Translational Medical Sciences, School of Medicine, University of Campania Luigi Vanvitelli, I-80131 Naples, Italy.

Department of Precision Medicine, School of Medicine, University of Campania Luigi Vanvitelli, I-80131 Naples, Italy.

出版信息

Oncol Lett. 2023 Dec 7;27(2):46. doi: 10.3892/ol.2023.14180. eCollection 2024 Feb.

DOI:10.3892/ol.2023.14180
PMID:38115986
原文链接:https://pmc.ncbi.nlm.nih.gov/articles/PMC10728691/
Abstract

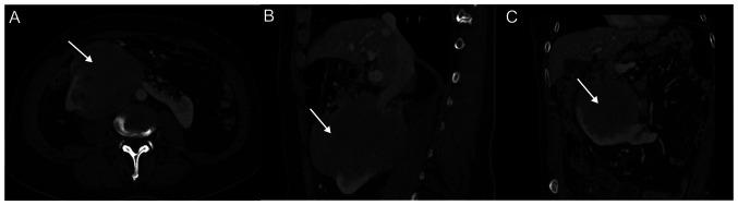
Horseshoe kidney (HSK) is the most common renal fusion anomaly. It frequently consists of kidney fusion in the lower pole across the midline and occurs during embryogenesis. The incidence of malignancies in HSKs can be 3-4 times higher than that in normal kidneys. A 69-year-old man with a voluminous right kidney neoplasm in HSK and a single omolateral axillary lymphadenopathy underwent complete excision of right axillary lymphadenopathy and ultrasound-guided percutaneous biopsy of the right kidney expansive lesion. The diagnosis of non-Hodgkin's B cell lymphoma both in HSK and right axilla was made. We report this case to raise awareness among physicians regarding the importance of a correct clinical evaluation and diagnostic workup so as to avoid surgery, which is not easy and without complications, in patients with this kidney anomaly. Primary renal lymphoma should also be included among possible neoplasms of HSK. Renal biopsy should always be recommended in cases where atypical findings are obtained from imaging techniques and when its outcome can impact clinical decision-making. In the present case, biopsy was performed, and thus, nephrectomy was avoided and specific medical therapy was quickly started.

摘要

马蹄肾(HSK)是最常见的肾脏融合异常。它通常由下极跨越中线的肾脏融合组成,发生于胚胎发育过程中。马蹄肾发生恶性肿瘤的几率可能比正常肾脏高3至4倍。一名69岁男性,患有马蹄肾伴巨大右肾肿瘤及单个同侧腋窝淋巴结病,接受了右腋窝淋巴结病的完整切除及超声引导下右肾扩张性病变的经皮活检。最终诊断为马蹄肾及右腋窝均为非霍奇金B细胞淋巴瘤。我们报告该病例,以提高医生对正确临床评估和诊断检查重要性的认识,从而避免对患有这种肾脏异常的患者进行不易且有并发症的手术。原发性肾淋巴瘤也应被纳入马蹄肾可能的肿瘤之中。当影像学检查获得非典型结果且其结果会影响临床决策时,应始终建议进行肾活检。在本病例中,进行了活检,从而避免了肾切除术并迅速开始了特定的药物治疗。

https://cdn.ncbi.nlm.nih.gov/pmc/blobs/cfc1/10728691/8263d0de59b5/ol-27-02-14180-g08.jpg
https://cdn.ncbi.nlm.nih.gov/pmc/blobs/cfc1/10728691/d57816a4471c/ol-27-02-14180-g00.jpg
https://cdn.ncbi.nlm.nih.gov/pmc/blobs/cfc1/10728691/da8bebb8f4e7/ol-27-02-14180-g01.jpg
https://cdn.ncbi.nlm.nih.gov/pmc/blobs/cfc1/10728691/896556e7706c/ol-27-02-14180-g02.jpg
https://cdn.ncbi.nlm.nih.gov/pmc/blobs/cfc1/10728691/f67633c0dbd2/ol-27-02-14180-g03.jpg
https://cdn.ncbi.nlm.nih.gov/pmc/blobs/cfc1/10728691/9c31a205d5af/ol-27-02-14180-g04.jpg
https://cdn.ncbi.nlm.nih.gov/pmc/blobs/cfc1/10728691/7975a94a5b7e/ol-27-02-14180-g05.jpg
https://cdn.ncbi.nlm.nih.gov/pmc/blobs/cfc1/10728691/6363b2c547dd/ol-27-02-14180-g06.jpg
https://cdn.ncbi.nlm.nih.gov/pmc/blobs/cfc1/10728691/90c69f6e5132/ol-27-02-14180-g07.jpg
https://cdn.ncbi.nlm.nih.gov/pmc/blobs/cfc1/10728691/8263d0de59b5/ol-27-02-14180-g08.jpg
https://cdn.ncbi.nlm.nih.gov/pmc/blobs/cfc1/10728691/d57816a4471c/ol-27-02-14180-g00.jpg
https://cdn.ncbi.nlm.nih.gov/pmc/blobs/cfc1/10728691/da8bebb8f4e7/ol-27-02-14180-g01.jpg
https://cdn.ncbi.nlm.nih.gov/pmc/blobs/cfc1/10728691/896556e7706c/ol-27-02-14180-g02.jpg
https://cdn.ncbi.nlm.nih.gov/pmc/blobs/cfc1/10728691/f67633c0dbd2/ol-27-02-14180-g03.jpg
https://cdn.ncbi.nlm.nih.gov/pmc/blobs/cfc1/10728691/9c31a205d5af/ol-27-02-14180-g04.jpg
https://cdn.ncbi.nlm.nih.gov/pmc/blobs/cfc1/10728691/7975a94a5b7e/ol-27-02-14180-g05.jpg
https://cdn.ncbi.nlm.nih.gov/pmc/blobs/cfc1/10728691/6363b2c547dd/ol-27-02-14180-g06.jpg
https://cdn.ncbi.nlm.nih.gov/pmc/blobs/cfc1/10728691/90c69f6e5132/ol-27-02-14180-g07.jpg
https://cdn.ncbi.nlm.nih.gov/pmc/blobs/cfc1/10728691/8263d0de59b5/ol-27-02-14180-g08.jpg

相似文献

1
Large renal lymphoma in a patient with horseshoe kidney: A case report.马蹄肾患者的巨大肾淋巴瘤:一例报告
Oncol Lett. 2023 Dec 7;27(2):46. doi: 10.3892/ol.2023.14180. eCollection 2024 Feb.
2
Laparoscopic Nephrolithotomy in a Horseshoe Kidney.马蹄肾的腹腔镜肾切开取石术
Cureus. 2020 Feb 25;12(2):e7099. doi: 10.7759/cureus.7099.
3
Surgical Planning for Carcinoma in Horseshoe Kidneys Treated with Retroperitoneoscopic Partial Nephrectomy.后腹腔镜下部分肾切除术治疗马蹄肾癌的手术规划
J Endourol Case Rep. 2019 Aug 30;5(3):102-106. doi: 10.1089/cren.2018.0091. eCollection 2019.
4
Renal cell carcinoma in a horseshoe kidney: Report of a rare disease.马蹄肾中的肾细胞癌:罕见病例报告。
Niger Postgrad Med J. 2016 Oct-Dec;23(4):232-234. doi: 10.4103/1117-1936.196268.
5
Renal Cell Carcinoma Arising from Isthmus of Horseshoe K.马蹄肾峡部起源的肾细胞癌
J Kidney Cancer VHL. 2023 May 2;10(2):1-7. doi: 10.15586/jkcvhl.v10i2.267. eCollection 2023.
6
Implications of Tumor Surgery in Horseshoe Kidneys: A Comparative Study of Outcomes and Surgical Practices.马蹄肾肿瘤手术的意义:手术结果和操作实践的对比研究。
Urology. 2023 Sep;179:87-94. doi: 10.1016/j.urology.2023.06.002. Epub 2023 Jun 17.
7
Incidence and characteristics of kidney stones in patients with horseshoe kidney: A systematic review and meta-analysis.马蹄肾患者肾结石的发病率及特征:一项系统评价和荟萃分析。
Urol Ann. 2018 Jan-Mar;10(1):87-93. doi: 10.4103/UA.UA_76_17.
8
CT findings of the main pathological conditions associated with horseshoe kidneys.马蹄肾相关主要病理状况的CT表现。
Br J Radiol. 2015 Jan;88(1045):20140456. doi: 10.1259/bjr.20140456.
9
An Unusual Case of Flank Pain Late in Life: A Case Report.一例老年晚期侧腹痛的罕见病例:病例报告
Cureus. 2024 Jan 23;16(1):e52790. doi: 10.7759/cureus.52790. eCollection 2024 Jan.
10
Surgical Management and Outcomes of Renal Tumors Arising from Horseshoe Kidneys: Results from an International Multicenter Collaboration.马蹄肾相关肾肿瘤的外科治疗及预后:一项国际多中心合作研究结果。
Eur Urol. 2021 Jan;79(1):133-140. doi: 10.1016/j.eururo.2020.09.012. Epub 2020 Sep 16.

本文引用的文献

1
Horseshoe kidney: Morphologic features, embryologic and genetic etiologies, and surgical implications.马蹄肾:形态学特征、胚胎发生和遗传学病因以及手术意义。
Clin Anat. 2023 Nov;36(8):1081-1088. doi: 10.1002/ca.24018. Epub 2023 Feb 8.
2
Imaging Characterization of Renal Masses.肾脏肿块的影像学特征。
Medicina (Kaunas). 2021 Jan 8;57(1):51. doi: 10.3390/medicina57010051.
3
Surgical Management and Outcomes of Renal Tumors Arising from Horseshoe Kidneys: Results from an International Multicenter Collaboration.马蹄肾相关肾肿瘤的外科治疗及预后:一项国际多中心合作研究结果。
Eur Urol. 2021 Jan;79(1):133-140. doi: 10.1016/j.eururo.2020.09.012. Epub 2020 Sep 16.
4
Primary renal lymphoma: a comprehensive review of the pathophysiology, clinical presentation, imaging features, management and prognosis.原发性肾淋巴瘤:病理生理学、临床表现、影像学特征、治疗和预后的全面综述。
BMJ Case Rep. 2020 Jun 17;13(6):e235076. doi: 10.1136/bcr-2020-235076.
5
Renal outcomes in adult patients with horseshoe kidney.马蹄肾成人患者的肾脏结局。
Nephrol Dial Transplant. 2021 Feb 20;36(3):498-503. doi: 10.1093/ndt/gfz217.
6
European Association of Urology Guidelines on Renal Cell Carcinoma: The 2019 Update.欧洲泌尿外科学会肾癌指南:2019 年更新版。
Eur Urol. 2019 May;75(5):799-810. doi: 10.1016/j.eururo.2019.02.011. Epub 2019 Feb 23.
7
Management of Renal Masses and Localized Renal Cancer: Systematic Review and Meta-Analysis.肾脏肿块和局限性肾癌的治疗:系统评价和荟萃分析。
J Urol. 2016 Oct;196(4):989-99. doi: 10.1016/j.juro.2016.04.081. Epub 2016 May 6.
8
CT findings of the main pathological conditions associated with horseshoe kidneys.马蹄肾相关主要病理状况的CT表现。
Br J Radiol. 2015 Jan;88(1045):20140456. doi: 10.1259/bjr.20140456.
9
Assessment of renal shape of horseshoe kidney with multidetector row CT in adult patients: relationship between urolithiasis and renal isthmus.成人马蹄肾肾脏形态的多排螺旋CT评估:尿路结石与肾峡部的关系
Tokai J Exp Clin Med. 2013 Dec 20;38(4):159-66.
10
["Horseshoe kidney", renal adenocarcinoma and nephrotic syndrome].["马蹄肾", 肾腺癌和肾病综合征]
Nefrologia. 2010;30(5):596-8. doi: 10.3265/Nefrologia.pre2010.Jul.10550.