Suppr超能文献

结缔组织病相关间质性肺疾病的放射学方法及逐步探索:满足风湿病学家的好奇心

Radiologic approach and progressive exploration of connective tissue disease-related interstitial lung disease: meeting the curiosity of rheumatologists.

作者信息

Jeon Hyeji, Nam Bo Da, Yoon Chong-Hyeon, Kim Hyun-Sook

机构信息

Division of Rheumatology, Department of Internal Medicine, Soonchunhyang University Seoul Hospital, Soonchunhyang University College of Medicine, Seoul, Korea.

Department of Radiology, Soonchunhyang University Seoul Hospital, Soonchunhyang University College of Medicine, Seoul, Korea.

出版信息

J Rheum Dis. 2024 Jan 1;31(1):3-14. doi: 10.4078/jrd.2023.0042. Epub 2023 Oct 18.

Abstract

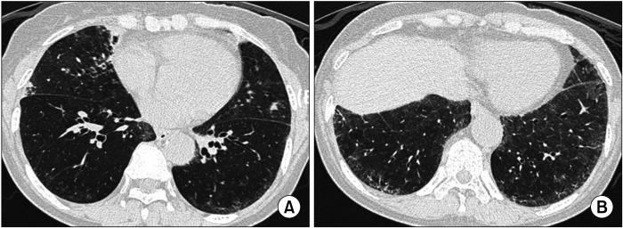
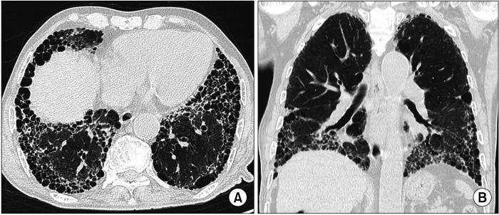
Interstitial lung disease (ILD) is often observed in connective tissue diseases (CTDs), frequently in rheumatoid arthritis, systemic sclerosis, primary Sjögren's syndrome, and inflammatory myositis. Early detection of ILDs secondary to rheumatic diseases is important as timely initiation of proper management affects the prognosis. Among many imaging modalities, high-resuloution computed tomography (HRCT) serves the gold standard for finding early lung inflammatory and fibrotic changes as well as monitoring afterwards because of its superior spatial resolution. Additionally, lung ultrasound (LUS) and magnetic resonance imaging (MRI) are the rising free-radiation imaging tools that can get images of lungs of CTD-ILD. In this review article, we present the subtypes of ILD images found in each CTD acquired by HRCT as well as some images taken by LUS and MRI with comparative HRCT scans. It is expected that this discussion would be helpful in discussing recent advances in imaging modalities for CTD-ILD and raising critical points for diagnosis and tracing of the images from the perspective of rheumatologists.

摘要

间质性肺疾病(ILD)常在结缔组织病(CTD)中出现,常见于类风湿关节炎、系统性硬化症、原发性干燥综合征和炎性肌病。早期发现风湿性疾病继发的ILD很重要,因为及时开始适当治疗会影响预后。在众多成像方式中,高分辨率计算机断层扫描(HRCT)因其卓越的空间分辨率,是发现早期肺部炎症和纤维化改变以及后续监测的金标准。此外,肺部超声(LUS)和磁共振成像(MRI)是新兴的无辐射成像工具,能够获取CTD-ILD患者肺部的图像。在这篇综述文章中,我们展示了通过HRCT在每种CTD中发现的ILD图像亚型,以及一些LUS和MRI拍摄的图像,并与HRCT扫描进行对比。期望这一讨论有助于探讨CTD-ILD成像方式的最新进展,并从风湿病学家的角度提出图像诊断和追踪的关键点。

https://cdn.ncbi.nlm.nih.gov/pmc/blobs/3ea6/10730800/9879a695ab96/jrd-31-1-3-f1.jpg

文献AI研究员

20分钟写一篇综述,助力文献阅读效率提升50倍。

立即体验

用中文搜PubMed

大模型驱动的PubMed中文搜索引擎

马上搜索

文档翻译

学术文献翻译模型,支持多种主流文档格式。

立即体验